相关产品推荐更多 >
万千商家帮你免费找货
0 人在求购买到急需产品
- 详细信息
- 文献和实验
- 技术资料
- 免疫原:
Recombinant fragment (126 Amino acid residues between aa 1-200) of human TRIM29 protein
- 亚型:
IgG2a
- 形态:
Liquid
- 保存条件:
Store as concentrated solution. Centrifuge briefly prior to opening vial. For short-term storage (1-2 weeks), store at 4ºC. For long-term storage, aliquot and store at -20ºC or below. Avoid multiple freeze-thaw cycles.
- 克隆性:
Monoclonal
- 标记物:
Unconjugated
- 适应物种:
Human
- 保质期:
12 months from the shipping date of the product.
- 抗原来源:
Human
- 目录编号:
GTX35147
- 级别:
Primary Antibodies
- 库存:
Available
- 供应商:
GeneTex
- 宿主:
Mouse
- 应用范围:
IHC-P, ELISA
- 浓度:
0.2 mg/ml (Please refer to the vial label for the specific concentration.)
- 靶点:
TRIM29
- 抗体英文名:
TRIM29 antibody [TRIM29/1041]
- 抗体名:
TRIM29 抗体 [TRIM29/1041]
- 规格:
100 μg
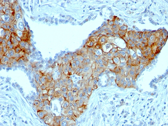
IHC-P analysis of human lung sqcc tissue using GTX35147 TRIM29 antibody [TRIM29/1041].
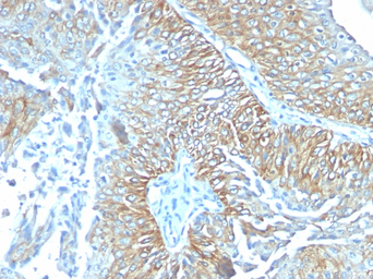
IHC-P analysis of human esophageal carcinoma tissue using GTX35147 TRIM29 antibody [TRIM29/1041].
风险提示:丁香通仅作为第三方平台,为商家信息发布提供平台空间。用户咨询产品时请注意保护个人信息及财产安全,合理判断,谨慎选购商品,商家和用户对交易行为负责。对于医疗器械类产品,请先查证核实企业经营资质和医疗器械产品注册证情况。
文献和实验, RPH3AL, CYB5B, ARL3, MYRIP, MAP3K15, ZNF691, TAF15, ERN2, CA4, CLCNKA, ZNF367, FHL2, EGLN2, ZNF177, BEST4, ZNF169, CYB561D1, TCEA3, CALML3, MMACHC, PRRG2, RASGRP2, DTNB, ENO2, MT1E, GATAD2B, GALNT11, ZNF701, CHD3, MT1M, NOS1, ZNF565, TRIM29, TRIM
a subset of genomic DNA sequences of type 5'-(NNN )3 -3', whereas the 6ZF library would recognize a subset of genomic sequences of type 5'-(NNN )6 -3'. Given the zinc-finger domains used, both libraries were more likely to recognize (RNN)x -type sequences
Phage‐Based Expression Cloning to Identify Interacting Proteins
the interacting protein. This technique leads directly to the isolation of a cDNA encoding the interacting protein, bypassing the need for labor?intensive protein purification, microsequencing, or antibody production.
技术资料暂无技术资料 索取技术资料





![KCNMB1 antibody [N1C3]](https://img1.dxycdn.com/2023/0516/045/6925717576889828561-14.jpg!wh200)




