相关产品推荐更多 >
万千商家帮你免费找货
0 人在求购买到急需产品
- 详细信息
- 文献和实验
- 技术资料
- 免疫原:
The clone J2E1 is derived from hybridization of mouse F0 myeloma cells with spleen cells from BALB/c mice immunized with a recombinant human HMGB3 protein.
- 亚型:
IgG2b
- 形态:
Liquid
- 保存条件:
Store as concentrated solution. Centrifuge briefly prior to opening vial. For short-term storage (1-2 weeks), store at 4ºC. For long-term storage, aliquot and store at -20ºC or below. Avoid multiple freeze-thaw cycles.
- 克隆性:
Monoclonal
- 标记物:
Unconjugated
- 适应物种:
Human
- 保质期:
12 months from the shipping date of the product.
- 抗原来源:
Human
- 目录编号:
GTX57549
- 级别:
Primary Antibodies
- 库存:
Available
- 供应商:
GeneTex
- 宿主:
Mouse
- 应用范围:
WB, IHC-P
- 浓度:
1 mg/ml (Please refer to the vial label for the specific concentration.)
- 靶点:
HMGB1
- 抗体英文名:
HMGB1 antibody [J2E1]
- 抗体名:
HMGB1 抗体 [J2E1]
- 规格:
100 μl
WB analysis of various samples using GTX57549 HMGB1 antibody.
Lane 1 : HeLa whole cell lysate
Lane 2 : Jurkat whole cell lysate
Lane 3 : K562 whole cell lysate
Lane 4 : A549 whole cell lysate
Lane 5 : MCF-7 whole cell lysate
Loading : 40 μg
Dilution : 1:1000
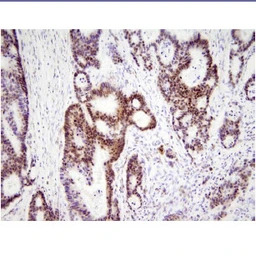
IHC-P analysis of human colon cancer using GTX57549 HMGB1 antibody.
Antigen retrieval: 0.1M sodium citrate buffer
Dilution: 1:200
风险提示:丁香通仅作为第三方平台,为商家信息发布提供平台空间。用户咨询产品时请注意保护个人信息及财产安全,合理判断,谨慎选购商品,商家和用户对交易行为负责。对于医疗器械类产品,请先查证核实企业经营资质和医疗器械产品注册证情况。
文献和实验上海西唐生物科技有限公司 021-55229872, 65333639 www.westang.com 人高迁移率族蛋白-1 ( HMGB1 )ELISA 试剂盒 ( 用于血清、血浆、细胞培养上清液和其它生物体液内 ) 原理 本实验采用双抗体夹心 ABC-ELISA 法。用抗人 HMGB1 单抗包被于酶标板上,标准品和样品中的 HMGB1与单抗结合,加入生物
上海西唐生物科技有限公司 021-55229872, 65333639 www.westang.com 猪高迁移率族蛋白-1 ( HMGB1 )ELISA 试剂盒 ( 用于血清、血浆、细胞培养上清液和其它生物体液内 ) 原理 本实验采用双抗体夹心 ABC-ELISA 法。用抗猪 HMGB1 单抗包被于酶标板上,标准品和样品中的 HMGB1与单抗结合,加入生物
【摘要】 目的:探讨高迁移率族蛋白B1(HMGB1)对肝星状细胞(hepatic stellate cell HSC)合成细胞外基质(extracellular matrix ECM)的影响。 方法:剂量效应组分别用含HMGB1 0 mg/L,0.1 mg/L,1.0 mg/L,10 mg/L,20 mg/L和40 mg/L的HMGB1培养液培养HSC-T6 6 h;时间效应组以含有10 mg/L HMGB1的培养液培养0 h、6 h、12 h、18 h和24 h,对照组以不含HMGB1
技术资料暂无技术资料 索取技术资料





![O-GlcNAc transferase antibody [GT678]](https://img1.dxycdn.com/2023/0711/451/6106825198874858761-14.jpg!wh200)
![Musashi 1 antibody [N3C3]](https://img1.dxycdn.com/2023/0711/255/2344116916935858761-14.jpg!wh200)

