相关产品推荐更多 >
万千商家帮你免费找货
0 人在求购买到急需产品
- 详细信息
- 文献和实验
- 技术资料
- 免疫原:
Recombinant Human S100A8 protein
- 亚型:
IgG
- 形态:
Liquid
- 保存条件:
Store as concentrated solution. Centrifuge briefly prior to opening vial. For short-term storage (1-2 weeks), store at 4ºC. For long-term storage, aliquot and store at -20ºC or below. Avoid multiple freeze-thaw cycles.
- 克隆性:
Monoclonal
- 标记物:
Unconjugated
- 适应物种:
Human
- 保质期:
12 months from the shipping date of the product.
- 抗原来源:
Human
- 目录编号:
GTX02120
- 级别:
Primary Antibodies
- 库存:
Available
- 供应商:
GeneTex
- 宿主:
Rabbit
- 应用范围:
IHC-P
- 浓度:
Batch dependent (Please refer to the vial label for the specific concentration.)
- 靶点:
S100A8
- 抗体英文名:
S100A8 antibody [216]
- 抗体名:
S100A8 抗体 [216]
- 规格:
100 μl
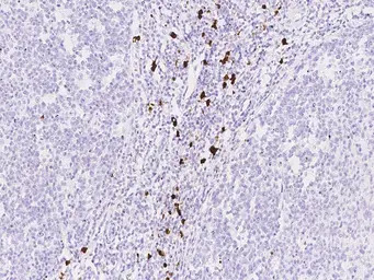
IHC-P analysis of human tonsil tissue section using GTX02120 S100A8 antibody [216].
Dilution : 1:2000
IHC-P analysis of human spleen tissue section using GTX02120 S100A8 antibody [216].
Dilution : 1:2000
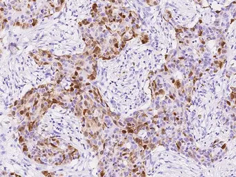
IHC-P analysis of human breast carcinoma tissue section using GTX02120 S100A8 antibody [216].
Dilution : 1:2000
风险提示:丁香通仅作为第三方平台,为商家信息发布提供平台空间。用户咨询产品时请注意保护个人信息及财产安全,合理判断,谨慎选购商品,商家和用户对交易行为负责。对于医疗器械类产品,请先查证核实企业经营资质和医疗器械产品注册证情况。
文献和实验in cross matching.Methods: Employed saline polybrene solution test to 4 216 cases applying for blood transfussion, and carried out irregular antibody screening with micro�column gel card to cases with agglutination.Results: Saline polybrene solution test
tuyuan 我马上改开题了,老板让做家蝇信号通路,就是模仿果蝇的方法做toll通路。但很难找到特异性抑制剂,想在蛋白和基因两方面看通路阻断或诱导前后蛋白等变化,希望高手指点指点。不甚感谢! xxg216 你好: 我们是做TOLL通路的 ,也是准备阻断这个受体,观察一些变化的,可以使用中和抗体将其阻断,人,小鼠的比较好找,美国eBioscienc公司就有,我们使用大鼠的,寻找了好久才找到,是ABCAM公司的TLR
Preparation and use of Zamboni’s-fixed Frozen Sections in Immunohistochemistry
buffered saline (pH7.6). 3. Cover with normal rabbit serum for 10 minutes. 4. Remove excess serum, cover with primary antibody and incubate for time indicated on data sheet at 4oC. 5. Wash in Tris buffered saline (pH7.6) for 2 x 5 minutes. 6. Cover
技术资料暂无技术资料 索取技术资料






![E2F1 antibody [16G7]](https://img1.dxycdn.com/2023/0711/451/6106825198874858761-14.jpg!wh200)

![KIF4A antibody [N1N2], N-term](https://img1.dxycdn.com/2023/0516/407/0466332107306928561-14.jpg!wh200)

