相关产品推荐更多 >
万千商家帮你免费找货
0 人在求购买到急需产品
- 详细信息
- 文献和实验
- 技术资料
- 免疫原:
Recombinant protein encompassing a sequence within the center region of human KLF5. The exact sequence is proprietary.
- 亚型:
IgG
- 形态:
Liquid
- 保存条件:
Store as concentrated solution. Centrifuge briefly prior to opening vial. For short-term storage (1-2 weeks), store at 4ºC. For long-term storage, aliquot and store at -20ºC or below. Avoid multiple freeze-thaw cycles.
- 克隆性:
Polyclonal
- 标记物:
Unconjugated
- 适应物种:
Human, Mouse, Rat
- 保质期:
12 months from the shipping date of the product.
- 抗原来源:
Human
- 目录编号:
GTX103289
- 级别:
Primary Antibodies
- 库存:
Available
- 供应商:
GeneTex
- 宿主:
Rabbit
- 应用范围:
WB, ICC/IF, IHC-P, IHC-Fr, IP
- 浓度:
0.8 mg/ml (Please refer to the vial label for the specific concentration.)
- 靶点:
KLF5
- 抗体英文名:
KLF5 antibody
- 抗体名:
KLF5 抗体
- 规格:
100 μl/25 μl
| 规格: | 100 μl | 产品价格: | ¥4000.0 |
|---|---|---|---|
| 规格: | 25 μl | 产品价格: | ¥1700.0 |
Wild-type (WT) and KLF5 knockout (KO) HeLa cell extracts (30 μg) were separated by 10% SDS-PAGE, and the membrane was blotted with KLF5 antibody (GTX103289) diluted at 1:1000. The HRP-conjugated anti-rabbit IgG antibody (GTX213110-01) was used to detect the primary antibody.
Untreated (–) and treated (+) HeLa whole cell extracts (30 μg) were separated by 10% SDS-PAGE, and the membrane was blotted with KLF5 antibody (GTX103289) diluted at 1:1000. The HRP-conjugated anti-rabbit IgG antibody (GTX213110-01) was used to detect the primary antibody.
KLF5 antibody detects KLF5 protein at nucleus by immunohistochemical analysis.
Sample: Paraffin-embedded mouse testis.
KLF5 stained by KLF5 antibody (GTX103289) diluted at 1:500.
Antigen Retrieval: Citrate buffer, pH 6.0, 15 min
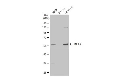
Various whole cell extracts (30 μg) were separated by 10% SDS-PAGE, and the membrane was blotted with KLF5 antibody (GTX103289) diluted at 1:1000. The HRP-conjugated anti-rabbit IgG antibody (GTX213110-01) was used to detect the primary antibody.
KLF5 antibody detects KLF5 protein at nucleus on HeLa xenograft by immunohistochemical analysis.
Sample: Paraffin-embedded HeLa xenograft.
KLF5 antibody (GTX103289) dilution: 1:500.
Antigen Retrieval: Trilogy™ (EDTA based, pH 8.0) buffer, 15min
KLF5 antibody detects KLF5 protein at nucleus by immunohistochemical analysis.
Sample: Paraffin-embedded mouse intestine.
KLF5 stained by KLF5 antibody (GTX103289) diluted at 1:500.
Antigen Retrieval: Citrate buffer, pH 6.0, 15 min
KLF5 antibody detects KLF5 protein at nucleus by immunofluorescent analysis.
Sample: HeLa cells were fixed in 4% PFA at RT for 15 min.
Green: KLF5 stained by KLF5 antibody (GTX103289) diluted at 1:500.
Red: alpha Tubulin, a cytoskeleton marker, stained by alpha Tubulin antibody [GT114] (GTX628802) diluted at 1:1000.
Blue: Fluoroshield with DAPI (GTX30920).
Non-transfected (–) and transfected (+) 293T whole cell extracts (30 μg) were separated by 10% SDS-PAGE, and the membrane was blotted with KLF5 antibody (GTX103289) diluted at 1:5000. The HRP-conjugated anti-rabbit IgG antibody (GTX213110-01) was used to detect the primary antibody.
风险提示:丁香通仅作为第三方平台,为商家信息发布提供平台空间。用户咨询产品时请注意保护个人信息及财产安全,合理判断,谨慎选购商品,商家和用户对交易行为负责。对于医疗器械类产品,请先查证核实企业经营资质和医疗器械产品注册证情况。
文献和实验Miura S et al., Cell Stem Cell 2017 (PMID:28943029)
Lv XR et al., Biochem J 2013 (PMID:23992409)
Zhang ML et al., Biochim Biophys Acta 2017 (PMID:28711598)
Zhao T et al., PLoS One 2015 (PMID:26372456)
Jiang W et al., Am J Transl Res 2016 (PMID:27904679)
Ma D et al., Biochem Biophys Res Commun 2016 (PMID:27856242)
Lappas M et al., Reproduction 2015 (PMID:25687411)
Hu Z et al., Nat Genet 2015 (PMID:25581428)
Zhang J et al., Biosci Rep 2014 (PMID:25205373)
Chen HL et al., Mediators Inflamm. 2014 (PMID:25197166)
Marrero-Rodriguez D et al., Tumour Biol. 2014 (PMID:25119587)
Dong Ma et al., Front Cardiovasc Med 2020 (PMID:33330653)
Dong Ma et al., BMC Cancer 2021 (PMID:33827480)
Annam?ria Nagy et al., Int J Mol Sci 2021 (PMID:34502172)
Ma D et al., PLoS Biol 2020 (PMID:32817651)
Sun Y et al., Cell Death Dis 2020 (PMID:32514012)
Dong Ma et al., bioRxiv 2019 (Epub)
Xue-shan Zhao et al., Phytomedicine 2018 (Epub)
Marrero-Rodriguez D et al., Arch Med Res 2017 (PMID:29157672)
Ma D et al., Sci Rep 2017 (PMID:29146991)
Generation of Antibody Molecules Through Antibody Engineering
been overcome to a large extent using genetic-engineering techniques to produce chimeric mouse/human and completely human antibodies. Such an approach is particularly suitable because of the domain structure of the antibody molecule ( 2 ), where functional
The importance of antibody molecules was first recognized in the 1890s, when it was shown that immunity to tetanus and diphtheria was caused by antibodies against the bacterial exotoxins (1 ). Around the same time, it was shown that antisera
General comments: Antibodies, like most proteins, do not like to be freeze-thawed. Avoid repetitive freezing of your solution. The best way to store your antibody is to keep a high protein concentration (>1 mg/ml), add some protease
技术资料暂无技术资料 索取技术资料





![ARHGEF15 antibody [C1C3]](https://custom.dxycdn.com/trademd/upload/pic/2011/12/14/1323695851.jpg!small.t.1)




