相关产品推荐更多 >
万千商家帮你免费找货
0 人在求购买到急需产品
- 详细信息
- 文献和实验
- 技术资料
- 免疫原:
Recombinant human ODC-1 protein
- 亚型:
IgG2a
- 形态:
Liquid
- 保存条件:
Store as concentrated solution. Centrifuge briefly prior to opening vial. For short-term storage (1-2 weeks), store at 4ºC. For long-term storage, aliquot and store at -20ºC or below. Avoid multiple freeze-thaw cycles.
- 克隆性:
Monoclonal
- 标记物:
Unconjugated
- 适应物种:
Human, Mouse, Rat
- 保质期:
12 months from the shipping date of the product.
- 抗原来源:
Human
- 目录编号:
GTX34922
- 级别:
Primary Antibodies
- 库存:
Available
- 供应商:
GeneTex
- 宿主:
Mouse
- 应用范围:
WB, ICC/IF, IHC-P, FACS
- 浓度:
0.2 mg/ml (Please refer to the vial label for the specific concentration.)
- 靶点:
ODC
- 抗体英文名:
ODC antibody [ODC1/487]
- 抗体名:
ODC 抗体 [ODC1/487]
- 规格:
100 μg
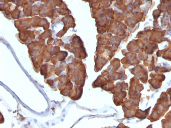
IHC-P analysis of rat pancreas tissue using GTX34922 ODC antibody [ODC1/487].
IHC-P analysis of mouse pancreas tissue using GTX34922 ODC antibody [ODC1/487].
ICC/IF analysis of LNCap cells using GTX34922 ODC antibody [ODC1/487].
Green : Primary antibody
Blue : nucleus
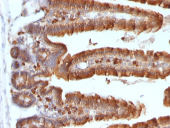
IHC-P analysis of mouse small intestine tissue using GTX34922 ODC antibody [ODC1/487].
风险提示:丁香通仅作为第三方平台,为商家信息发布提供平台空间。用户咨询产品时请注意保护个人信息及财产安全,合理判断,谨慎选购商品,商家和用户对交易行为负责。对于医疗器械类产品,请先查证核实企业经营资质和医疗器械产品注册证情况。
文献和实验v468. chapter 4 WNT 细胞通路 检测细胞GSK3活性与表达水平
consists of 5% (w/v) dried skim milk in Trisbufferedsaline/Tween-20 (TBS-T) buffer (50 mM Tris-HCl,pH 7.5, 150 mM NaCl, and 0.05% (v/v) Tween-20). 4. All antibodies are diluted 1:1,000 in 1% (w/v) dried skim milkin TBS-T, except the CRMP2 antibody (1:250
a subset of genomic DNA sequences of type 5'-(NNN )3 -3', whereas the 6ZF library would recognize a subset of genomic sequences of type 5'-(NNN )6 -3'. Given the zinc-finger domains used, both libraries were more likely to recognize (RNN)x -type sequences
Array‐Based High‐Throughput Screening in Mouse Embryonic Stem Cells with shRNAs
0.1% (v/v) Triton X‐100 in PBS Primary antibody Bovine serum albumin or serum corresponding to the species
技术资料暂无技术资料 索取技术资料





![ARFGAP3 antibody [N1N2], N-term](https://img1.dxycdn.com/2023/0516/045/6925717576889828561-14.jpg!wh200)

![CD20 antibody [2H7]](https://custom.dxycdn.com/trademd/upload/pic/2011/12/14/1323695845.jpg!small.t.1)

