相关产品推荐更多 >
万千商家帮你免费找货
0 人在求购买到急需产品
- 详细信息
- 文献和实验
- 技术资料
- 免疫原:
A phospho-peptide corresponding to Phospho-Histone H3 (Thr3)
- 亚型:
IgG
- 形态:
Liquid
- 保存条件:
Store as concentrated solution. Centrifuge briefly prior to opening vial. For short-term storage (1-2 weeks), store at 4ºC. For long-term storage, aliquot and store at -20ºC or below. Avoid multiple freeze-thaw cycles.
- 克隆性:
Monoclonal
- 标记物:
Unconjugated
- 适应物种:
Human
- 保质期:
12 months from the shipping date of the product.
- 抗原来源:
Human
- 目录编号:
GTX60897
- 级别:
Primary Antibodies
- 库存:
Available
- 供应商:
GeneTex
- 宿主:
Rabbit
- 应用范围:
WB, ICC/IF, IHC-P, ELISA
- 浓度:
Batch dependent (Please refer to the vial label for the specific concentration.)
- 靶点:
This antibody reacts to Histone H3 phosphorylated at Threonine 3. No cross reactivity with other phosphorylated histones
- 抗体英文名:
Histone H3T3ph (phospho Thr3) antibody [RM159]
- 抗体名:
Histone H3T3ph (phospho Thr3) 抗体 [RM159]
- 规格:
100 μg
ICC/IF analysis of HeLa cells using GTX60897 Histone H3T3ph (phospho Thr3) antibody [RM159].
Red : Primary antibody
Green : Actin
WB analysis of acid extracts of HeLa cells non-treated (1) or treated (2) with Nocodazole, and recombinant histone H3.3 (3) using GTX60897 Histone H3T3ph (phospho Thr3) antibody [RM159].
Dilution : 0.1μg/ml
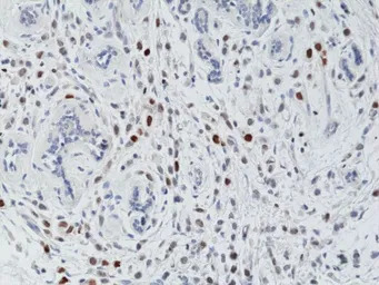
IHC-P analysis of human breast cancer tissue using GTX60897 Histone H3T3ph (phospho Thr3) antibody [RM159].
Dilution : 1μg/ml
ICC/IF analysis of HeLa cells using GTX60897 Histone H3T3ph (phospho Thr3) antibody [RM159].
Red : Primary antibody
Green : Actin
风险提示:丁香通仅作为第三方平台,为商家信息发布提供平台空间。用户咨询产品时请注意保护个人信息及财产安全,合理判断,谨慎选购商品,商家和用户对交易行为负责。对于医疗器械类产品,请先查证核实企业经营资质和医疗器械产品注册证情况。
文献和实验Using Phospho‐Motif Antibodies to Determine Kinase Substrates
comprising both the phosphorylated residue and the surrounding residues that determine kinase specificity, with degenerate residues taking up the remaining positions. Currently, several categories of phospho?motif antibody are commercially available
The optimal exposure time will depend on the amount of 32 P used and the amount of kinase activity. Generally a few hours should be fine. SOLUTIONS Histone Wash Buffer 25 mM Tris HCl, pH7.5 70 mM NaCl 10 mM MgCl2 1 mM DTT
in detail here. The first protocol is essentially a dual-pulldown assay employing Flag-tagged DNMT3A or antibody of choice for an endogenous protein and 5' biotin linked antisense RNA (Figure 1a), while the second protocol is a triple pulldown assay which essentially expands
技术资料暂无技术资料 索取技术资料







![Calcium Sensing Receptor antibody [5C10, ADD]](https://img1.dxycdn.com/2023/0711/451/6106825198874858761-14.jpg!wh200)

