相关产品推荐更多 >
万千商家帮你免费找货
0 人在求购买到急需产品
- 详细信息
- 技术资料
- 免疫原:
A synthetic peptide corresponding to a sequence at the C-terminus of human Rab11A (171-211aa EIYRIVSQKQMSDRRENDMSPSNNVVPIHVPPTTENKPKVQ), identical to the related mouse and rat sequences.
- 亚型:
IgG2b
- 形态:
Liquid
- 保存条件:
Store as concentrated solution. Centrifuge briefly prior to opening vial. For short-term storage (1-2 weeks), store at 4ºC. For long-term storage, aliquot and store at -20ºC or below. Avoid multiple freeze-thaw cycles.
- 克隆性:
Monoclonal
- 标记物:
Unconjugated
- 适应物种:
Human, Mouse, Rat
- 保质期:
12 months from the shipping date of the product.
- 抗原来源:
Human
- 目录编号:
GTX03669
- 级别:
Primary Antibodies
- 库存:
Available
- 供应商:
GeneTex
- 宿主:
Mouse
- 应用范围:
WB, ICC/IF, IHC-P, FACS
- 浓度:
0.5 mg/ml (Please refer to the vial label for the specific concentration.)
- 靶点:
Rab11A
- 抗体英文名:
Rab11A antibody [4H9]
- 抗体名:
Rab11A 抗体 [4H9]
- 规格:
100 μg
IHC-P analysis of human placenta tissue using GTX03669 Rab11A antibody [4H9].
Antigen retrieval : Heat mediated antigen retrieval was performed in EDTA buffer (pH 8.0, epitope retrieval solution)
Dilution : 2 μg/ml
FACS analysis of ANA-1 cells using GTX03669 Rab11A antibody [4H9].
Antibody amount : 1 μg / 1x10⁶ cells
Blue : Primary antibody
Green : Isotype control
Red : Unlabelled sample
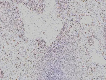
IHC-P analysis of human spleen tissue using GTX03669 Rab11A antibody [4H9].
Antigen retrieval : Heat mediated antigen retrieval was performed in EDTA buffer (pH 8.0, epitope retrieval solution)
Dilution : 2 μg/ml
IHC-P analysis of human gastric carcinoma tissue using GTX03669 Rab11A antibody [4H9].
Antigen retrieval : Heat mediated antigen retrieval was performed in EDTA buffer (pH 8.0, epitope retrieval solution)
Dilution : 2 μg/ml
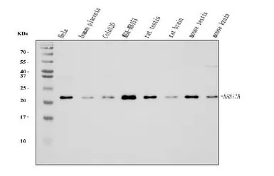
WB analysis of various sample lysates using GTX03669 Rab11A antibody [4H9].
Lane 1 : HeLa whole cell lysates
Lane 2 : human placenta tissue lysates
Lane 3 : human Colo320 lysates
Lane 4 : human MDA-MB453 whole cell lysates
Lane 5 : rat testis tissue lysates
Lane 6 : rat brain tissue lysates
Lane 7 : mouse testis tissue lysates
Lane 8 : mouse brain tissue lysates
Dilution : 0.5 μg/ml
Loading : 30μg per lane
FACS analysis of U937 cells using GTX03669 Rab11A antibody [4H9].
Antibody amount : 1 μg / 1x10⁶ cells
Blue : Primary antibody
Green : Isotype control
Red : Unlabelled sample
FACS analysis of RH35 cells using GTX03669 Rab11A antibody [4H9].
Antibody amount : 1 μg / 1x10⁶ cells
Blue : Primary antibody
Green : Isotype control
Red : Unlabelled sample
ICC/IF analysis of T-47D cells using GTX03669 Rab11A antibody [4H9]. Enzyme antigen retrieval was performed using IHC enzyme antigen retrieval reagent for 15 mins.
Dilution : 5 μg/mL
风险提示:丁香通仅作为第三方平台,为商家信息发布提供平台空间。用户咨询产品时请注意保护个人信息及财产安全,合理判断,谨慎选购商品,商家和用户对交易行为负责。对于医疗器械类产品,请先查证核实企业经营资质和医疗器械产品注册证情况。
技术资料暂无技术资料 索取技术资料






![Flotillin 1 antibody [C3], C-term](https://img1.dxycdn.com/2023/0516/895/8887749495766728561-14.jpg!wh200)
![GAPDH antibody [1A10]](https://img1.dxycdn.com/2023/0711/451/6106825198874858761-14.jpg!wh200)

