相关产品推荐更多 >
万千商家帮你免费找货
0 人在求购买到急需产品
- 详细信息
- 文献和实验
- 技术资料
- 形态:
Liquid
- 保存条件:
Store at room temperature.
- 标记物:
Unconjugated
- 保质期:
12 months from the shipping date of the product.
- 目录编号:
GTX03613
- 级别:
Reagents
- 库存:
Available
- 供应商:
GeneTex
- 应用范围:
IHC-P
- 抗体英文名:
Purple Hematoxylin
- 抗体名:
Purple Hematoxylin
- 规格:
100 ml
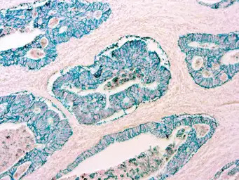
IHC-P analysis of human colon tissue using GTX73737 Epithelial antigen antibody [Ber-EP4] with GTX03613 Purple Hematoxylin.
风险提示:丁香通仅作为第三方平台,为商家信息发布提供平台空间。用户咨询产品时请注意保护个人信息及财产安全,合理判断,谨慎选购商品,商家和用户对交易行为负责。对于医疗器械类产品,请先查证核实企业经营资质和医疗器械产品注册证情况。
文献和实验Hematoxylin and Eosin (HE) Staining
Reagents Stains (change after every 3rd use) Harris hematoxylin: 1X stock. Anatech Lmtd. Cat #842. (616) 964-6450 Gill's Hematoxylin: See recipe. Eosin: 1x stock. Anatech Cat #837. Solutions (make fresh
Hematoxylin and Eosin Staining
Reagents Stains (change after every 3rd use) Harris hematoxylin: 1X stock. Anatech Lmtd. Cat #842. (616) 964-6450 Gill's Hematoxylin: See recipe. Eosin: 1x stock. Anatech Cat #837. Solutions
Hematoxylin Stain Solutions Hematoxylin Hematoxylin 6.4g Ammonium alum 60g Ethanol 200ml Glycerol 160ml
技术资料暂无技术资料 索取技术资料







