万千商家帮你免费找货
0 人在求购买到急需产品
- 详细信息
- 文献和实验
- 技术资料
- 英文名:
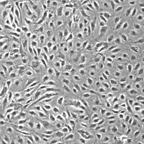
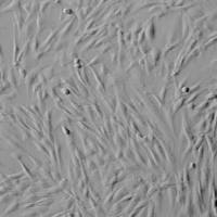
Human Intestinal Microvascular Endothelial Cells
- 库存:
999
- 品系:
原代细胞
- 组织来源:
人
- 物种来源:
人
- 器官来源:
肠
- 运输方式:
干冰
- 年限:
咨询销售
- 规格:
5 x 10^5 cells/vial
人肠微血管内皮细胞说明:
微血管内皮细胞通过招募循环免疫细胞进入组织和炎症灶的能力,在炎症过程中起着关键的“看门人”作用。研究表明,肠道微血管内皮细胞(IMEC)对LPS的挑战表现出强烈的免疫反应,并在肠道炎症中发挥重要的调节作用。在活化的HIMEC中,NOS的药理抑制导致白细胞结合显著增加。基因表达谱研究表明,肠内皮细胞表达生物素酶,参与生物素循环。HIMEC培养使科学家能够对细胞因子谱进行关于mRNA表达和蛋白质分泌的系统分析,并将这些数据与其他内皮细胞的细胞因子谱进行比较。来自ScienCell研究实验室的HIMEC是从人类肠道组织中分离出来的。HIMEC在传代一时冷冻保存并冷冻递送。每个小瓶含有>5 × 105个细胞,体积为1ml。HIMEC的特征是免疫荧光抗体特异性vWF/因子VIII和/或CD31 (PECAM1)。HIMEC对HIV-1、HBV、HCV、支原体、细菌、酵母和真菌呈阴性。在ScienCell研究实验室提供的条件下,HIMEC保证进一步扩大10倍增。推荐培养基: 内皮细胞培养基 (ECM, Cat. No. 1001)产品使用说明:仅供科研研究使用!
风险提示:丁香通仅作为第三方平台,为商家信息发布提供平台空间。用户咨询产品时请注意保护个人信息及财产安全,合理判断,谨慎选购商品,商家和用户对交易行为负责。对于医疗器械类产品,请先查证核实企业经营资质和医疗器械产品注册证情况。
文献和实验[1]. Ogawa, H., Rafiee, P., Heidemann, J., Fisher, P. J., Johnson, N. A., Otterson, M. F., Kalyanaraman, B., Pritchard, K. A. Jr., Binion, D. G. (2003) Mechanisms of endotoxin tolerance in human intestinal microvascular endothelial cells. J Immunol. 170(12):5956-64.
[2]. Binion, D. G., Fu, S., Ramanujam, K. S., Chai, Y. C., Dweik, R. A., Drazba, J. A., Wade, J. G., Ziats, N. P., Erzurum, S. C. and Wilson, K. T. (1998) iNOS xpression in human intestinal microvascular endothelial cells inhibits leukocyte adhesion. Am. J. Physiol. 275:G592-603.
[3]. Chi, J-T, Chang, H. Y., Haraldsen, G., Jahnsen, F. L., Troyanskaya, O. G., Chang, D. S., Wang, Z., Rockson, S. G., van de Rijn, M., Botstein, D. and Brown, P. O. (2003) Endothelial cell diversity revealed by global expression profiling. PNAS 100(19):10623-10628.
[4] Development of a primary human Small Intestine-on-a-Chip using biopsy-derived organoids,Sci Rep. 2018; 8: 2871.Published online 2018 Feb 13. doi: 10.1038/s41598-018-21201-7











