万千商家帮你免费找货
0 人在求购买到急需产品
- 详细信息
- 技术资料
- 服务名称:
阿利新蓝染色
- 提供商:
XSL
阿利新蓝染色简介:
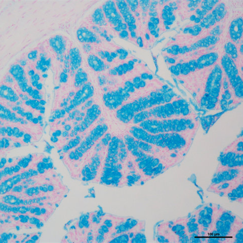
阿利新蓝(Alcian)又称爱先蓝或阿尔辛蓝等,是一种类铜钛花青共轭染料,该染料分子中带正电荷的盐键和酸性黏液物质 中带负电荷的酸性基团结合呈蓝色。常用于软骨组织或早幼粒细胞、巨核细胞染色。
阿利新蓝染色实验意义:
颗粒增多的早幼粒细胞和Auer小体呈强阳性反应,有助于急性早幼粒细胞白血病的诊断。巨核细胞阳性反应对发现MDS中的小巨核细胞有一定的价值。
实验步骤:
酸性黏蛋白(硫酸黏蛋白和唾液黏蛋白)呈蓝色;蛋白多糖和透明质酸呈蓝色;细胞核呈红色。
实验技巧:
(1)固定液采用10%中性福尔马林。
(2)若要选择性鉴别硫酸黏蛋白和蛋白多糖,应使用PH值低(PH=1)的阿利新蓝,即调PH值为1.0。染色程序和孵育时间 与PH值为2.5的阿利新蓝操作相同,染色时间应相应延长。
阿利新蓝染色样片:
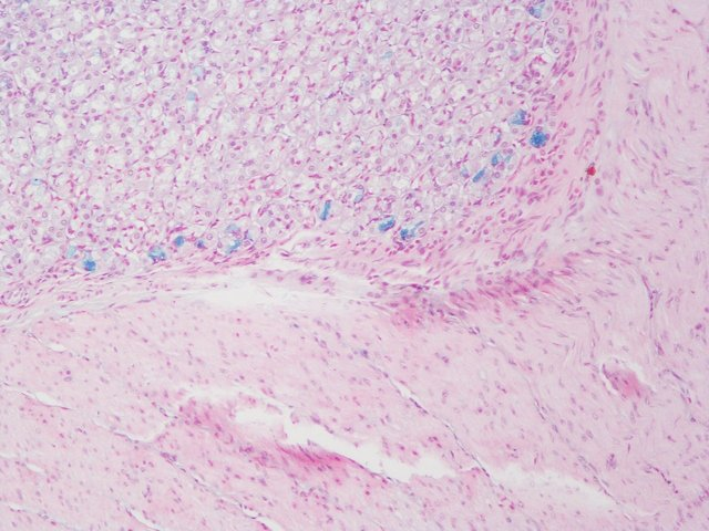
阿利新蓝(Alcian)又称爱先蓝或阿尔辛蓝等,是一种类铜钛花青共轭染料,该染料分子中带正电荷的盐键和酸性黏液物质 中带负电荷的酸性基团结合呈蓝色。常用于软骨组织或早幼粒细胞、巨核细胞染色。
阿利新蓝染色实验意义:
颗粒增多的早幼粒细胞和Auer小体呈强阳性反应,有助于急性早幼粒细胞白血病的诊断。巨核细胞阳性反应对发现MDS中的小巨核细胞有一定的价值。
实验步骤:
- 二甲苯脱蜡,通过梯度乙醇后,入蒸馏水再水化。 (2)入阿利新蓝酸化液浸泡3min。 (3)入阿利新蓝染色液染色30min。 (4)流水冲洗5min。 (5)入核固染色液复染5-10min。 (6)流水冲洗1min。
酸性黏蛋白(硫酸黏蛋白和唾液黏蛋白)呈蓝色;蛋白多糖和透明质酸呈蓝色;细胞核呈红色。
实验技巧:
(1)固定液采用10%中性福尔马林。
(2)若要选择性鉴别硫酸黏蛋白和蛋白多糖,应使用PH值低(PH=1)的阿利新蓝,即调PH值为1.0。染色程序和孵育时间 与PH值为2.5的阿利新蓝操作相同,染色时间应相应延长。
阿利新蓝染色样片:
风险提示:丁香通仅作为第三方平台,为商家信息发布提供平台空间。用户咨询产品时请注意保护个人信息及财产安全,合理判断,谨慎选购商品,商家和用户对交易行为负责。对于医疗器械类产品,请先查证核实企业经营资质和医疗器械产品注册证情况。
技术资料暂无技术资料 索取技术资料
阿利新蓝染色
询价









