
病理常规HE染色实验服务
万千商家帮你免费找货
0 人在求购买到急需产品
- 详细信息
- 询价记录
- 文献和实验
- 技术资料
- 提供商:
嘉兴硕玺生物有限公司
- 服务名称:
病理常规HE染色实验服务
病理学的所有切片,都必须通过一种以上的染料,通过各种不同的方法,将切片中各种不同的物质,在不 同染液的作用下,将其显示出来,使之在光学显微镜下,能够完全的观看各种结构。例如,HE染色,好质 量的切片可以清晰地显示出许多不同的结构,细胞核着蓝黑色,细胞浆着粉红色,软骨着蓝色等。清晰的 结构为诊断提供可靠的依据,因此,染色技术也是病理技术中的重要组成部分,必须不断地总结,方能提 高。如果染色不好,切片染色一团糟,红蓝不分,结构不清,层次不明,影响了镜下的观察,直接影响了 临床诊断,染色结果的好坏直接关系到诊断的准确性。
二、染色方法及步骤
1.人工苏木素,伊红染色法(HE法)
(1)切片浸入二甲苯中5-10min;
(2)切片浸入二甲苯中5-10min;
(3)100%酒精1min。
(4)100%酒精1min。
(5)95%酒精1min。
(6)95%酒精1min。
(7)90%酒精1min。
(8)80%酒精1min。
(9)自来水洗1min。
(10)浸入苏木素染液浸染10-15min。
(11)自来水洗30second-1min。
(12)1%盐酸酒精分化30second。
(13)流水冲洗15min以上。
(14)1%伊红酒精染3-5min。
(15)90%或95%酒精分化30sec。
(16)95%酒精30sec-1min。
(17)95%酒精30sec-1min。
(18)95%酒精30sec-1min。
(19)100%酒精1min。
(20)100%酒精1-2min。
(21)碳酸二甲苯1min。
(22)二甲苯1-2min。
(23)二甲苯1-2min
(24)二甲苯1-2min。
(25)中性树胶封固。
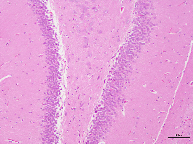
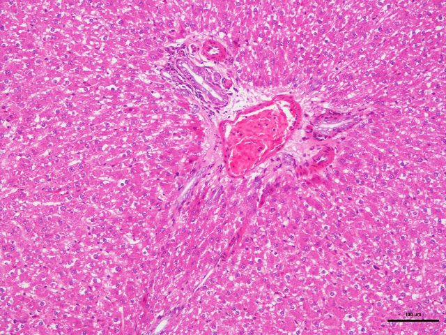
:细胞核被染成深蓝黑色;细胞浆被染成粉红色;软骨及钙盐被染成蓝色;胶原 纤维染成淡粉红色,嗜酸性细胞及嗜酸性颗粒呈鲜红色;弹力纤维呈淡粉红色;某些蛋白性物呈粉红色 等。
样片参考:
肠
鼻粘膜
肺
肝
肌肉横截面
脑
胃
细胞
心脏
收费标准/服务周期/提供结果:
欢迎咨询详谈,我们会根据您的方案及需求制定详细的服务协议。
更多实验技术服务请浏览网站其他内容,或来电咨询!
做实验,找硕玺!您的科研生涯,我们一路相伴!
风险提示:丁香通仅作为第三方平台,为商家信息发布提供平台空间。用户咨询产品时请注意保护个人信息及财产安全,合理判断,谨慎选购商品,商家和用户对交易行为负责。对于医疗器械类产品,请先查证核实企业经营资质和医疗器械产品注册证情况。
- 作者
- 内容
- 询问日期
文献和实验Starry银染色细菌被染成浅黑色,组织背景呈黄棕色,易于辨认。 3 讨论 在作胃镜检查的同时取粘膜活组织作Hp检查是目前常用的检查Hp的途径。其中尿素酶试验方法简便但不能直接观察细菌,可出现假阳性及假阴性,常被用来作初步筛选之用,或被没有病理检查条件的基层单位所采用。细菌培养结果可靠,但费时太久,亦有假阳性存在,除非对已知有Hp感染而常规治疗失败者,一般临床未作常规检查。胃粘膜活组织切片染色镜检,以其直观准确,不需在病理活检以外另取活组织而受到重视。但常规病理切片的HE染色时Hp着色浅淡
液固定兔颈总动脉,用不同HE染色方法染色,比较不同方法的效果。染色结果是细胞核与细胞浆呈蓝红相映,色泽比较鲜艳。改良Harris法染色效果最好,染色效果受组织病理变化情况影响,有个体差异。 关键词:HE染色;改良Harris法;改良Lillie-Mayer’s法;改良Mayer法; 1 引言 在病理学实验课中,要观察大体标本和镜下标本,为了能更好的掌握实验课中所学的知识和内容,尤其
案例详情 患者男,65 岁,于 2020 年 11 月 22 日来我院体检。 心电图检查:1、窦性心律,2、正常心电图。实验室检查:肝功能及肾功能正常,血糖 6.23mmoL/L,甘油三酯 2.75mmoL/L,胆固醇及高密度脂蛋白胆固醇正常,乙肝五项都阴性,血常规及尿常规都正常。所查的两项肿瘤标志物中唯独甲胎蛋白异常升高。 按照常理,这么高的甲胎蛋白应差不多是肝癌了吧! 进一步诊查 然而,该体检者的肝脏超声结果却未发现有占位性病变。 1. 彩色多普勒超声 (泌尿系统、肝胆脾 + 双肾、甲状









