相关产品推荐更多 >
万千商家帮你免费找货
0 人在求购买到急需产品
- 详细信息
- 文献和实验
- 技术资料
- 免疫原:
Recombinant extracellular fragment (around aa 94-212) of human TFRC protein (exact sequence is proprietary)
- 亚型:
IgG2b
- 形态:
Liquid
- 保存条件:
Store as concentrated solution. Centrifuge briefly prior to opening vial. For short-term storage (1-2 weeks), store at 4ºC. For long-term storage, aliquot and store at -20ºC or below. Avoid multiple freeze-thaw cycles.
- 克隆性:
Monoclonal
- 标记物:
Unconjugated
- 适应物种:
Human
- 保质期:
12 months from the shipping date of the product.
- 抗原来源:
Human
- 目录编号:
GTX34550
- 级别:
Primary Antibodies
- 库存:
Available
- 供应商:
GeneTex
- 宿主:
Mouse
- 应用范围:
IHC-P, ELISA
- 浓度:
0.2 mg/ml (Please refer to the vial label for the specific concentration.)
- 靶点:
This MAb is highly specific to CD71 and shows no cross-reaction with other related proteins.
- 抗体英文名:
CD71 antibody [TFRC/1818]
- 抗体名:
CD71 抗体 [TFRC/1818]
- 规格:
100 μg
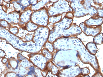
IHC-P analysis of human bone marrow tissue using GTX34550 CD71 antibody [TFRC/1818].
IHC-P analysis of human placenta tissue using GTX34550 CD71 antibody [TFRC/1818].
风险提示:丁香通仅作为第三方平台,为商家信息发布提供平台空间。用户咨询产品时请注意保护个人信息及财产安全,合理判断,谨慎选购商品,商家和用户对交易行为负责。对于医疗器械类产品,请先查证核实企业经营资质和医疗器械产品注册证情况。
文献和实验,2F12;CRIS-3 Leu LFA-1(gp180/95)的α链 与ICAM-1(CD54)和ICAM-2(CD102)结合 CD11b Mol,OKM1; (Mac-1,CR3,integrin αm G,M,NK gp165/95的α链 C3bi和FB受体,与ICAM-1结合,粘附,调理吞噬 CD11c LeuM5;(CR4,integrin αx) M,G,NK,Tsub gp150/95的α链 C3bi受体,调理吞噬
一篇 Nature = 一家 5000 万美元的初创公司!蛋白靶向降解技术新秀,LYTAC 能否经受住时间考验
靶向蛋白降解技术(Proteolysis TArgeting Chimeras, PROTAC) 乃是继小分子抑制剂(small molecule inhibitors, SMI)和单克隆抗体(monoclonal antibody, mAb)药物后的新兴热门药物研发领域。与后两者相比,PROTAC 具有独到的优势,能够靶向众多的以前认为「不可成药」的蛋白分子。迄今已有上百种 PROTAC 分子已经或者正在研制当中,众多的新兴创业公司也是顺势崛起。然而,这种 PROTACs 蛋白
Barry FP, et al. The monoclonal antibody SH-2, raised against human mesenchymal stem cells, recognizes an epitope on endoglin (CD105). Biochem.Biophys.Res
技术资料暂无技术资料 索取技术资料








![p63 antibody [TP40/3980R] (Biotin)](https://img1.dxycdn.com/2023/0711/451/6106825198874858761-14.jpg!wh200)
