相关产品推荐更多 >
万千商家帮你免费找货
0 人在求购买到急需产品
- 详细信息
- 文献和实验
- 技术资料
- 免疫原:
Recombinant fragment of human TPO (around aa 685-804) (Exact sequence is proprietary)
- 亚型:
IgG1
- 形态:
Liquid
- 保存条件:
Store as concentrated solution. Centrifuge briefly prior to opening vial. For short-term storage (1-2 weeks), store at 4ºC. For long-term storage, aliquot and store at -20ºC or below. Avoid multiple freeze-thaw cycles.
- 克隆性:
Monoclonal
- 标记物:
Unconjugated
- 适应物种:
Human
- 保质期:
12 months from the shipping date of the product.
- 抗原来源:
Human
- 目录编号:
GTX17821
- 级别:
Primary Antibodies
- 库存:
Available
- 供应商:
GeneTex
- 宿主:
Mouse
- 应用范围:
IHC-P
- 浓度:
0.2 mg/ml (Please refer to the vial label for the specific concentration.)
- 靶点:
TPO
- 抗体英文名:
TPO antibody [TPO/1922]
- 抗体名:
TPO 抗体 [TPO/1922]
- 规格:
100 μg
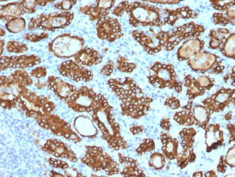
IHC-P analysis of human thyroid carcinoma tissue using GTX17821 TPO antibody [TPO/1922].
风险提示:丁香通仅作为第三方平台,为商家信息发布提供平台空间。用户咨询产品时请注意保护个人信息及财产安全,合理判断,谨慎选购商品,商家和用户对交易行为负责。对于医疗器械类产品,请先查证核实企业经营资质和医疗器械产品注册证情况。
文献和实验甲状腺过氧化物酶(thyroidperoxidase,TPO)是甲状腺微粒体(TM)的主要有效抗原活性成分,分子量为84~105kD,基因重组TPO为933个氨基酸的多肽链。鉴于以往使用的粗提TM抗原中混杂有其他抗原成分,在测定自身免疫性甲状腺炎病人血清中抗-TM时,可能出现少数假阳性,为使结果更为可靠,目前国外已将抗-TPO代替抗-TM抗体检测,而且大多数文献已将抗-TM抗体改名为抗-TPO抗体。我国徐荣桂
上海西唐生物科技有限公司 021-55229872, 65333639 www.westang.com 大鼠血小板生成素 (TPO)ELISA 试剂盒 ( 用于血清、血浆、细胞培养上清液和其它生物体液内 ) 原理 本实验采用双抗体夹心 ABC-ELISA 法。用抗大鼠 TPO ( Thrombopoietin ) 单抗包被于酶标板上,标准品和样品中的 TPO 与单抗结合,加入生物素化的抗大鼠 TPO
上海西唐生物科技有限公司 021-55229872, 65333639 www.westang.com 小鼠血小板生成素 (TPO)ELISA 试剂盒 ( 用于血清、血浆、细胞培养上清液和其它生物体液内 ) 原理 本实验采用双抗体夹心 ABC-ELISA 法。用抗小鼠 TPO( Thrombopoietin ) 单抗包被于酶标板上,标准品和样品中的 TPO与单抗
技术资料暂无技术资料 索取技术资料





![STAT5B antibody [5B3]](https://img1.dxycdn.com/2023/0711/451/6106825198874858761-14.jpg!wh200)



