相关产品推荐更多 >
万千商家帮你免费找货
0 人在求购买到急需产品
- 详细信息
- 文献和实验
- 技术资料
- 免疫原:
Recombinant human ITGAE protein fragment
- 亚型:
IgG
- 形态:
Liquid
- 保存条件:
Store as concentrated solution. Centrifuge briefly prior to opening vial. Store at 4ºC.
- 克隆性:
Monoclonal
- 标记物:
Unconjugated
- 适应物种:
Human
- 保质期:
12 months from the shipping date of the product.
- 抗原来源:
Human
- 目录编号:
GTX02653
- 级别:
Primary Antibodies
- 库存:
Available
- 供应商:
GeneTex
- 宿主:
Rabbit
- 应用范围:
IHC-P
- 浓度:
200 μg/ml (Please refer to the vial label for the specific concentration.)
- 靶点:
Integrin alpha E
- 抗体英文名:
Integrin alpha E antibody [ITGAE/3904R]
- 抗体名:
Integrin alpha E 抗体 [ITGAE/3904R]
- 规格:
100 μg
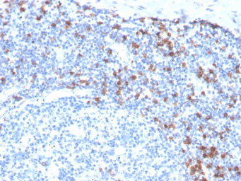
IHC-P analysis of human tonsil tissue section using GTX02653 Integrin alpha E antibody [ITGAE/3904R].
风险提示:丁香通仅作为第三方平台,为商家信息发布提供平台空间。用户咨询产品时请注意保护个人信息及财产安全,合理判断,谨慎选购商品,商家和用户对交易行为负责。对于医疗器械类产品,请先查证核实企业经营资质和医疗器械产品注册证情况。
文献和实验Strategies to Optimize Protein Expression in E. coli
on its in vivo activity. J. Biol. Chem. 260:3539‐3541. Brown, B.L., Hadley, M., and Page, R. 2008. Heterologous high‐level E. coli expression, purification and biophysical
secondary antibody review -- data from 99 publications
cytometry used as a control to detect cell responses targeted antigen 7 Alexa Fluor 488 7 Cy3 8 goat IgG Alexa Fluor 488 1:2000 detect antibody binding in human embryonic kidney 293T cells Invitrogen 9 donkey
E rosette|E(玫瑰)花结[E表示红细胞erythrocyte] E rosette test|E(玫瑰)花结试验 EA rossette|EA(玫瑰)花结[E表示红细胞erythrocyte,A表示抗体antibody] EAC rossette|EAC(玫瑰)花结[E表示红细胞erythrocyte,A表示抗体antibody,C表示补体 complement]
技术资料暂无技术资料 索取技术资料






![SIRT1 antibody [1F3]](https://img1.dxycdn.com/2023/0711/451/6106825198874858761-14.jpg!wh200)
![ARHGAP15 antibody [N1N3]](https://img1.dxycdn.com/2023/0711/255/2344116916935858761-14.jpg!wh200)


