相关产品推荐更多 >
万千商家帮你免费找货
0 人在求购买到急需产品
- 详细信息
- 文献和实验
- 技术资料
- 免疫原:
Full length human GADD153 recombinant protein.
- 亚型:
IgG
- 形态:
Liquid
- 保存条件:
Store as concentrated solution. Centrifuge briefly prior to opening vial. For short-term storage (1-2 weeks), store at 4ºC. For long-term storage, aliquot and store at -20ºC or below. Avoid multiple freeze-thaw cycles.
- 克隆性:
Monoclonal
- 标记物:
Unconjugated
- 适应物种:
Human
- 保质期:
12 months from the shipping date of the product.
- 抗原来源:
Human
- 目录编号:
GTX638314
- 级别:
Primary Antibodies
- 库存:
Available
- 供应商:
GeneTex
- 宿主:
Rabbit
- 应用范围:
WB, ICC/IF, IHC-P
- 浓度:
1 mg/ml (Please refer to the vial label for the specific concentration.)
- 靶点:
GADD153
- 抗体英文名:
GADD153 antibody [HL2262]
- 抗体名:
GADD153 抗体 [HL2262]
- 规格:
100 μl/25 μl
| 规格: | 100 μl | 产品价格: | ¥4000.0 |
|---|---|---|---|
| 规格: | 25 μl | 产品价格: | ¥1700.0 |
GADD153 antibody [HL2262] detects GADD153 protein at cytoplasm and nucleus by immunofluorescent analysis.
Sample: Mock and treated HeLa cells were fixed in 4% PFA at RT for 15 min.
Green: GADD153 stained by GADD153 antibody [HL2262] (GTX638314) diluted at 1:500.
Blue: Fluoroshield with DAPI (GTX30920).
Untreated (–) and treated (+) HepG2 whole cell extract (30 μg) were separated by 15% SDS-PAGE, and the membrane was blotted with GADD153 antibody [HL2262] (GTX638314) diluted at 1:1000. The HRP-conjugated anti-rabbit IgG antibody (GTX213110-01) was used to detect the primary antibody.
GADD153 antibody [HL2262] detects GADD153 protein at cytoplasm and nucleus by immunohistochemical analysis.
Sample: Paraffin-embedded human colon cancer.
GADD153 stained by GADD153 antibody [HL2262] (GTX638314) diluted at 1:200.
Antigen Retrieval: Citrate buffer, pH 6.0, 15 min
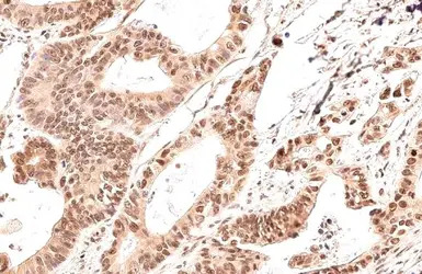
GADD153 antibody [HL2262] detects GADD153 protein at cytoplasm and nucleus by immunohistochemical analysis.
Sample: Paraffin-embedded human breast carcinoma.
GADD153 stained by GADD153 antibody [HL2262] (GTX638314) diluted at 1:200.
Antigen Retrieval: Citrate buffer, pH 6.0, 15 min
风险提示:丁香通仅作为第三方平台,为商家信息发布提供平台空间。用户咨询产品时请注意保护个人信息及财产安全,合理判断,谨慎选购商品,商家和用户对交易行为负责。对于医疗器械类产品,请先查证核实企业经营资质和医疗器械产品注册证情况。
文献和实验Protein A Purification of Antibody
1. Reagents(1) Affi-gel Protein-A Agarose (BioRad #153-6153)(2) MAPS II Binding Buffer (BioRad # 153-6161)(3) 0.314 g/ml diH2O(4) MAPS II Elution Buffer (BioRad #153-6162)(5) 0.023 g/ml diH2O(6) MAPS II Regeneration Buffer (BioRad #153-6166(7) 1M
Protein A Purification of Antibody
Reagents Affi-gel Protein-A Agarose (BioRad #153-6153) MAPS II Binding Buffer (BioRad # 153-6161) 0.314 g/ml diH2 O MAPS II Elution Buffer (BioRad #153-6162)
Lightning-Link 30 seconds hands on Very Easy to use 100% Antibody Recovery No separation steps Little antibody needed Easy to Scale Up Over 40 available labels http://www.youtube.com/v/w0XmU
技术资料暂无技术资料 索取技术资料







![Lamin B2 antibody [N3C2], Internal](https://img1.dxycdn.com/2022/0328/119/3719381841118200453-14.jpg!wh200)



