相关产品推荐更多 >
万千商家帮你免费找货
0 人在求购买到急需产品
- 详细信息
- 技术资料
- 靶点:
MOB1B
- 应用范围:
WB IHC
- 宿主:
Rabbit
- 适应物种:
Human Mouse
- 供应商:
北京索莱宝科技有限公司
- 克隆性:
Polyclonal Antibody
- 保存条件:
Store at -20°C. Avoid freeze / thaw cycles.
- 形态:
Buffer: PBS with 0.03% Proclin300, 50% glycerol, pH7.3.
- 亚型:
IgG
- 免疫原:
Full length fusion protein
产品简介
备注:
以上数据均来自公开文献, Solarbio暂未进行独立验证, 仅供参考。
These protocols are for reference only. Solarbio does not independently validate these methods.
温馨提示:
使用前请离心。如有问题请及时联系我们。
Quick spin before use. If you have any questions, please contact us.
实验图
Western blot analysis with MOB1B antibody diluted at 1:1000;Lane: K-562,293T,SH-SY5Y,HL-60
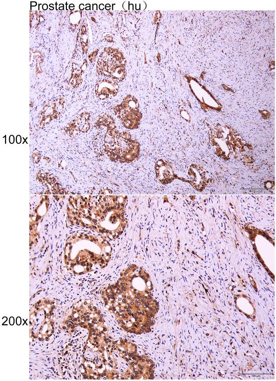
Immunohistochemistry of paraffin-embedded Human prostate cancer with MOB1B antibody diluted at 1:25
| 单位 | 支 |
| 英文名称 | Anti-MOB1B Polyclonal Antibody |
| 别名 | MOL1A;MATS2;MOB4A;MOBKL1A;MOB kinase activator 1B |
| 宿主 | Rabbit |
| 稀释比例 | WB 1:500-2000.IHC 1:25-100. |
| Gene ID | 92597 |
| 保存 | Store at -20°C. Avoid freeze / thaw cycles. |
| Swiss Prot | Q7L9L4 |
| 蛋白分子量 | 25 kDa |
| 储存液 | Buffer: PBS with 0.03% Proclin300, 50% glycerol, pH7.3. |
| 亚细胞定位 | Cytoplasm Nucleus |
| 免疫原 | Full length fusion protein |
| 亚型 | IgG |
| 纯化方法 | Affinity purification |
| 背景资料 | The protein encoded by this gene is similar to the yeast Mob1 protein. Yeast Mob1 binds Mps1p, a protein kinase essential for spindle pole body duplication and mitotic checkpoint regulation. Three transcript variants encoding different isoforms have been found for this gene. |
| 克隆类型 | Polyclonal Antibody |
| 交叉反应 | Human Mouse |
| 应用 | WB IHC |
| 规格 | 50ul 100ul |
备注:
以上数据均来自公开文献, Solarbio暂未进行独立验证, 仅供参考。
These protocols are for reference only. Solarbio does not independently validate these methods.
温馨提示:
使用前请离心。如有问题请及时联系我们。
Quick spin before use. If you have any questions, please contact us.
实验图
Western blot analysis with MOB1B antibody diluted at 1:1000;Lane: K-562,293T,SH-SY5Y,HL-60
Immunohistochemistry of paraffin-embedded Human prostate cancer with MOB1B antibody diluted at 1:25
风险提示:丁香通仅作为第三方平台,为商家信息发布提供平台空间。用户咨询产品时请注意保护个人信息及财产安全,合理判断,谨慎选购商品,商家和用户对交易行为负责。对于医疗器械类产品,请先查证核实企业经营资质和医疗器械产品注册证情况。
技术资料暂无技术资料 索取技术资料
Anti-MOB1B Polyclonal Antibody
¥960









