万千商家帮你免费找货
0 人在求购买到急需产品
- 详细信息
- 询价记录
- 文献和实验
- 技术资料
- 提供商:
北京永欣康泰科技发展有限公司
- 服务名称:
小鼠急性胰腺炎模型
小鼠急性胰腺炎模型:
急性胰腺炎(Acute pancreatitis, AP)是临床上常见的急腹症,病因复杂,病死率达5%~10%,重症AP死亡率高达20%~30%,目前发病机制尚未阐述,无特殊治疗方式。目前活体AP动物模型制作常用方法大致有胰管结扎法、十二指肠闭袢法、胰胆管穿刺注射法、胰腺被膜下注射法、胰胆管注射法结合静脉输注法、蛙皮素联用脂多糖腹腔内注射法等。
雨蛙素(Caerulein)是一种功能和组成上类似于胆囊收缩素(cholecystokinin,CCK)的胃调节分子,刺激胰腺腺泡细胞过度分泌,使细胞内的胰蛋白酶原和溶酶体水解酶分离障碍,经组织蛋白酶 B依赖性的方式激活,胰酶的活性又能够进一步导致酶原激活,引起一系列蛋白酶活性导致的细胞损害。胰腺组织自我消化引起的炎症反应募集炎症细胞,释放炎症因子,进一步引起局部甚至全身性的严重炎症反应。
雨蛙素诱导的AP模型已经成功运用于大鼠、小鼠、狗和叙利亚仓鼠等动物AP模型的建立,该模型有助于描述自噬受损、病理性钙信号传导和内质网应激的过程,这些是AP发病机制的核心。可以通过调整雨蛙素的给药方案来增加急性胰腺炎的严重程度。
小鼠急性胰腺炎模型:
1.实验动物:
雨蛙素可以诱导大多数动物发生AP,但是此类模型主要应用于啮齿类动物(如大鼠和小鼠)。本实验采用SPF级C57BL/6小鼠,雄性,周龄为8w-10w,体重为20g-25g。
2.雨蛙素的配制:
取1 mg的雨蛙素溶于1 mL生理盐水中,配制成1 mg/mL母液,0.22 μm滤膜过滤除菌,冻存。使用前解冻,用生理盐水稀释成5 μg/mL或10 μg/mL的工作液。
3.给药方式:
雨蛙素诱导的AP多为水肿型,多用于轻症AP以及轻症AP转变为SAP研究。雨蛙素诱导重症AP时,往往联合LPS(lipopolysaccharide,LPS),LPS破坏炎症介质的正常反应,进而发展局部的胰腺炎为全身性的严重性炎症反应,加重在雨蛙素诱发基础上的胰腺炎。以1小时间隔腹腔注射7次雨蛙素(20-100 μg/kg,常用浓度50 μg/kg),并在最后一次同时注LPS (10 mg/kg)。
在建模成功后,处死各组动物,取新鲜胰腺组织。固定于4%甲醛24h以上。将组织从固定液取出在通风橱内用手术刀将目的部位组织修平整,将修切好的组织和对应的标签放于脱水盒内,随后进行脱水,固定,包埋和切片。进行HE和masson染色,判断胰腺纤维化程度。
模型评价:
1、血清淀粉酶和脂肪酶活性上升;
2、血清中NO浓度升高;
3、胰腺病理学检测:胰腺组织水肿有空泡、炎性细胞浸润,同时伴有少量腺细胞坏死,可能有出血;
4、血清和胰腺组织中炎症因子表达水平增高;
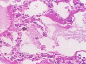
5.组织病理学:
HE染色结果:模型组跟对照组组相比胰岛细胞脂肪样空泡变性,部分腺泡细胞疏松水肿,部分腺泡细胞鹰眼样巨细胞病变。
Masson染色结果:模型组与对照组相比胰腺血管周边和胰岛纤维化,胰岛细胞脂肪样空泡变性,腺泡细胞也发生淀粉样变性。

模型优点:
方法操作简便,容易复制,重复性好,无创。
实验室可构建的动物模型 :
| 构建动物模型名称 | 适用范围 |
| 1、裸鼠肿瘤(皮下、原位)动物实验 | 胰腺、肝、胃原位接种、皮下接种 |
| 2、兔 腹主动脉、颈动脉硬化(球囊法)模型 | 稳定制备 颈动脉、腹主动脉硬化模型 |
| 3、心肌缺血、大、小鼠、兔、小型猪心电图、心脏超声、病理评价 | 心肌缺血及再灌注、心梗、血压测定(麻醉及清醒状态下)等 |
| 4、Ⅰ、Ⅱ型糖尿病大小鼠、兔动物模型 | 高脂诱导+STZ制备糖尿病模型及糖尿病并发症研究,药效评价 |
| 5、骨质疏松大鼠、小鼠实验(去势) | 老年性骨质疏松相关疾病临床前药效评价 |
| 6、股骨头坏死、骨缺损、鼠、兔模型 | 镇静、镇痛动物模型,行为学模型制作及药物筛选 |
| 7、Apoe小鼠动脉粥样硬化整体实验 | 高脂饲养、取材、病理实验、大体染色等 |
| 8、急性粒细胞白血病动物实验 | |
| 9、肾结石快速成模大鼠模型 | 乙二醇致大鼠肾脏草酸钙结石模型 |
| 10、眼科大小鼠模型、视网膜铺片、 玻璃体腔内注射 |
眼科疾病模型及相关检测方法 |
| 11、脑缺血、帕金森、脑出血动物模型 | 脑病实验、颅内注射、技术成熟稳定 |
| 12、肾脏缺血、肾移植、肾衰动物模型 | 肾脏缺血、肾移植、肾衰竭实验及检测平台 |
检测平台
| 服务项目 | 服务承诺 | 服务周期 | 样本种类 |
| 病理切片、免疫组化 | 染色结果照片 | 2-3周 | 组织 |
| Western blotting | 胶片 | 1-2周 | 蛋白样本或组织 |
| 流式细胞服务 | 散点图、分析数据、设备信息等 | 1-2周 | 血样、骨髓等 |
| 细胞凋亡检测 | 凋亡图、数据分析 | 细胞 | |
| RT-PCR | 扩增图 | 1-2周 | RNA或组织 |
| 血压监测(无创式) | 实时血压数据 | 大、小鼠 |
备注:以上只是常规制备的动物模型种类,如果有其他动物模型制备的需求,也可以按照方案进行定制
永欣康泰坚持:
上门取样、客服专人跟进项目进度、随时汇报实验进展、为您有效降低科研成本、缩短实验周期。
<-----扫码关注我们
秉承工匠精神 保持严谨态度、专业技术
拓宽思路和眼界 积极探索新的模型构建方法
不断积累经验 完成客户的每一项托付
风险提示:丁香通仅作为第三方平台,为商家信息发布提供平台空间。用户咨询产品时请注意保护个人信息及财产安全,合理判断,谨慎选购商品,商家和用户对交易行为负责。对于医疗器械类产品,请先查证核实企业经营资质和医疗器械产品注册证情况。
- 作者
- 内容
- 询问日期
文献和实验2.金畅,李继承. 雨蛙素联合脂多糖致小鼠重症急性胰腺炎模型[J]. 中国医学科学院学报,2002,24(4):393-396.
3.杨飞云,朱秀英,张建新,等. 黑色素瘤缺乏因子2在小鼠急性胰腺炎模型中的表达[J]. 中国临床药理学与治疗学,2018,23(1):51-54. DOI:10.12092/j.issn.1009-2501.2018.01.010.










