相关产品推荐更多 >
万千商家帮你免费找货
0 人在求购买到急需产品
- 详细信息
- 询价记录
- 文献和实验
- 技术资料
- 提供商:
云舟生物科技(广州)股份有限公司
- 服务名称:
提供定制载体及包装服务
重组单纯疱疹病毒(Herpes simplex virus , HSV)是当今富有应用前景的基因治疗和肿瘤治疗病毒载体。重组HSV在神经系统溶瘤基因转导和疫苗开发(针对肿瘤、HSV以及多种其他疾病)方面有着广泛的应用。重组HSV具备相当多的优点,如嗜神经特性、长潜伏期、游离体形式存在于整个宿主细胞生命周期以及极大的载体容量,因此是体内和体外基因转导实验的理想病毒载体。
我们的HSV载体经过特别设计,可用于重构包括野生型、减毒型以及复制缺陷型的扩增子形式的一系列HSV活病毒。我们还可以提供科研级和GMP级别的HSV病毒包装。
服务类型
我们提供的HSV载体构建和病毒包装服务如下:
- HSV载体克隆,使用BAC骨架或者BACYAC骨架
- HSV-1病毒包装
- HSV-1扩增子载体克隆
HSV BACYAC骨架
云舟生物自主研发的“BACYAC”骨架专门为HSV载体克隆而设计。该骨架整合了细菌人工染色体(BAC)和酵母人工染色体(YAC)的关键元件。BAC相关元件允许该载体可以在大肠杆菌中以BAC形式扩增,而YAC相关元件允许该载体在酿酒酵母中复制BACYAC载体因此可灵活地在大肠杆菌系统和酵母系统中进行载体扩增和序列修饰。
BACYAC骨架可以插入LacZ或EGFP报告基因以便于转染细胞后的识别。骨架上含有一对LoxP位点,可在Cre重组酶作用下拼接出最终的病毒基因组序列。
HSV BACYAC载体的基本设计如图1所示。

图1 含有EGFP和LacZ报告基因的BACYAC骨架
TRL/IRL:长片段侧翼的末端和反向重复序列,通过“a”序列(黑色)重组连接并形成4种异构体。
TRS/IRS:短片段侧翼的末端和反向重复序列,通过“a”序列(黑色)重组连接并形成4种异构体。
UL/US:编码HSV基因的特殊长片段和短片段。
UL37/UL38:HSV UL37和UL38基因。UL37和UL38之间插入外源DNA可引起HSV毒力的微小变化。
LoxP:Cre重组酶作用的重组位点。两个LoxP之间的序列可以被Cre重组酶剪切下来。
EGFP或LacZ报告基因: CMV启动子驱动表达的EGFP和LacZ报告基因,用于识别转染成功的细胞。
BACYAC骨架:整合了细菌人工染色体(BAC)和酵母人工染色体(YAC)的载体骨架,可以在大肠杆菌种携带氯霉素抗性基因选择性扩增,也可以在酿酒酵母中使用His3自噬选择标记进行扩增。
我们可以构建多种重组HSV BAC载体。此外我们也提供基于BAC修饰原理的HSV突变服务。对HSV病毒复制相关基因进行序列删除或点突变可以制备复制缺陷型HSV;对HSV非关键基因进行序列删除或点突变可以制备减毒型HSV。
HSV扩增子载体
云舟生物的HSV-1扩增子载体包含最小病毒基因组序列:复制起点(oriS)、包装信号序列(pac)以及一个或多个目的基因。通过利用辅助质粒(携带有整个HSV-1基因组但是无包装信号序列的BACYAC载体),扩增子载体可以包装出复制缺陷型的但是具备感染能力的HSV病毒颗粒。
HSV扩增子载体的基本设计如图2所示。

图2 HSV-1扩增子载体
Promoter:启动子序列,驱动目的基因表达。
Kozak:Kozak共有序列,放置于ORF前端有助于原核细胞中的翻译起始。
ORF:目的基因的开放阅读框。
BGH pA: 牛生长激素多聚腺苷酸信号序列(Bovine growth hormone polyadenylation signal)。由启动子驱动的转录过程将在该序列处终止。
HSV-1 pac:HSV-1包装信号,在病毒DNA包装进入病毒颗粒过程中发挥作用。
Ampicillin:氨苄青霉素抗性基因。携带该基因的质粒在E. coli中可以使用氨苄青霉素选择性扩增。
pUC ori:pUC复制起点,携带该元件的质粒可以在E. coli中高拷贝复制。
oriS:HSV-1 DNA复制起点。携带该元件的质粒以多连体DNA形式包装进入HSV-1病毒颗粒。
IE4/5:HSV-1 ICP22和ICP47中早期基因启动子。该启动子的激活取决于顺式HSV-1包膜蛋白VP16。该启动子可以驱动下游标记基因表达,同时也作为激活oriS功能的转录调控序列。
Marker:标记基因(如EGFP、LacZ),用于分辨转染成功的细胞
SV40 early pA:猿猴空泡病毒40早期多聚腺苷酸信号序列(Simian vacuolating virus 40 early polyadenylation signal),有助于上游ORF序列的转录中止。
运输与存储
我们的HSV病毒保存于HBSS缓冲液,并以干冰形式运输。接收到病毒后,HSV可以在-80°C长期存储(可至少稳定存储6个月),或者在-20°C存储一周。HSV的保质期约为1年。请避免反复冻融HSV以避免显著的滴度下降。
HSV制备与质量控制
HSV包装流程如图3所示。携带目的基因的BACYAC质粒载体与Cre表达质粒共转染Vero细胞。筛选BACYAC骨架移除后的无荧光的噬斑以纯化病毒。然后用筛选后的噬斑感染新的Vero细胞进行HSV病毒扩增。对于超纯化HSV,病毒颗粒经过进一步的蔗糖密度梯度离心以获得纯化和浓缩。

图3 典型的HSV包装流程,使用BACYAC骨架并最终将其移除。
对于每一个生产的重组HSV病毒,质量控制包括滴度检测、无菌测试、支原体检测等。如果HSV病毒载体表达荧光蛋白,则我们会进行荧光转导测试。如果HSV病毒载体含有药筛标记,我们也会在转导测试后伴随进行药筛测试。此外,对于超纯化HSV,我们会进行内毒素检测。
试验验证
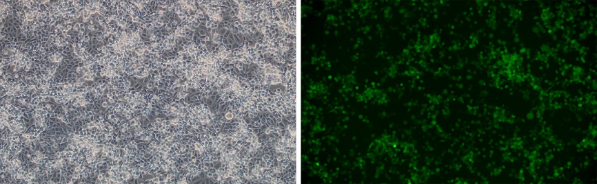
我们的HSV载体经详尽验证可以稳定用于生产活病毒。图4与图5分别显示使用我们的BACYAC载体成功包装出的野生型HSV病毒颗粒以及随后用其转导靶细胞的效果。

图4 携带野生型HSV-1(KOS毒株)全长基因组序列的BACYAC载体(含有EGFP报告基因)转染Vero细胞。转染后72小时进行拍照。细胞病变效应(Cytopathic effect,CPE)见于红色箭头处,死细胞发生团聚并且呈现出球形形态和反光率增强现象。这种现象可用于指示活病毒的存在。放大倍数:100X。左:明场。右:EGFP。

图5 使用我们生产的HSV病毒颗粒(KOS毒株)转导Vero细胞。转导后48小时进行拍摄。放大倍数:100X。左:明场。右:EGFP。
HSV在基因治疗中的优势
HSV是基因组为双链DNA的包膜病毒,且具备多项应用于基因治疗的优势:
- 广泛的组织嗜性:HSV可以转导分裂和非分裂细胞。HSV同时也是天然的嗜神经病毒,可以借助轴突逆行运输,因此通过感染注射位点的神经末梢即可进行基因递送。HSV由此也是理想的治疗特定神经疾病的理想载体。
- 潜伏感染:HSV在神经元中长期保持潜伏状态,不会产生显著副作用。这种特点让HSV可以逃避宿主免疫系统并且可以在宿主细胞的生命周期中长期留存。HSV具有在神经元中稳定表达目的基因的优势,特别是对于那些要求长期表达的研究。
- 最小化插入突变风险:当保持潜伏方式感染状态时,HSV以游离体的形式存在,不整合宿主基因组,因此最小化了插入突变的风险。
- 可以使用组织培养基扩增:HSV可以应用组织培养基扩增,方法简单且显示出在多种动物模型形成潜伏感染的能力。
- 高病毒滴度:通过包装获得的HSV病毒滴度很高,可以高效转导靶细胞。
- 载体容量大:HSV拥有巨大的病毒基因组,包含超过80个基因,其中一些对于病毒复制是非关键的。这种特点给研究者提供了高度的操作灵活性,例如可以删除掉非关键基因并利用空间插入大片段或多个目的基因。
常用的HSV载体
HSV载体大致可以划分为以下几类:
HSV BAC 载体
HSV BAC载体是通过在真核细胞中使用同源重组方式将BAC骨架插入HSV基因组的方式制备的。选择标记如EGFP有助于正确纯化出插入了BAC序列的重组病毒。疱疹病毒基因组在宿主细胞中倾向于形成环状DNA,并在细胞核内部产生复制中间产物。这些DNA将被分离出来并用以转化大肠杆菌。BAC骨架上含有抗生素抗性基因,有助于在大肠杆菌中选择性扩增HSV BAC载体。最后的步骤则是从大肠杆菌中分离出HSV BAC载体,并使用酶切和测序分析进行质检。通过质检的HSV BAC载体将被转染至容许性细胞用于生产活病毒。
HSV病毒基因组巨大,使用常规质粒载体克隆HSV基因组是不合适的。BAC载体另一方面由于可以插入大片段DNA序列和较慢的复制速率的特点,因此是HSV研究的更佳选择。使用HSV BAC在大肠杆菌中扩增,对比使用容许性细胞扩增临床分离株的方式更能保障病毒序列的稳定性。
尽管HSV BAC具备上述所示的多种优点,但是也存在一些不足之处值得考虑。使用HSV BAC需要首先检查其序列不含有由于病毒基因组重复序列天然的不稳定性造成的突变。此外,插入BAC骨架的HSV基因组造成的病毒基因组大小增加也会抑制病毒生长。因此,理想的方法是设计HSV BAC载体时在BAC两侧引入loxP或FRT位点,允许必要时分别通过Cre-或者Flp-重组系统移除BAC骨架。
HSV扩增子载体
扩增子是基于HSV-1的质粒载体,包含一个或多个目的基因以及最小病毒基因组序列。在HSV-1辅助病毒或者HSV-1基因组克隆提供的顺式元件辅助下,扩增子序列可以被包装进HSV活病毒颗粒。扩增子只含有两段病毒序列:一个是oriS复制起点,允许病毒病毒在包装细胞中复制;另一个是pac序列,即包装信号序列,在病毒的包装过程中起作用。HSV病毒颗粒组分来自于扩增子基因组。扩增子使用类似滚环复制的机制进行复制,与野生型HSV-1的头尾相连的多连体DNA相似,最终生成串联形式的含有多个扩增子的重复序列。
扩增子载体具备多种用于基因转染工具的优点,例如极大的载体容量(可达150 kb),易于克隆,以及可以转染大量类型的细胞和较高的转导效率,此外,病毒蛋白编码序列的缺失导致扩增子载体转染细胞核组织后完全无毒性和无致病性。缺少病毒基因的扩增子载体同时也可以最小化其被宿主细胞中潜伏的病毒基因组重新激活或发生序列重组的机会。
长期以来,使用扩增子进行基因治疗的主要瓶颈在于生产高滴度的扩增子病毒时易携带有辅助病毒成分。被辅助病毒污染的扩增子病毒悬液在应用于基因治疗时会导致潜在的细胞毒性和炎症反应,因此是不被接受的。开发无辅助病毒的包装系统,比如使用包含HSV-1基因组但是移除了包装信号序列的一组重叠的黏粒(Cosmid)或者一个BAC载体来代替辅助病毒用于包装,能够很好地克服这种污染问题。这种方法可以生产出无辅助病毒成分的扩增子病毒悬液,但是制备的病毒滴度并不高。另一种方法是,使用Cre-lox技术在病毒生产细胞中删除辅助病毒的包装信号序列,从而获得具备更低辅助病毒污染的高滴度扩增子病毒。然而此种方法仍然包含极低水平的辅助病毒污染,可能难以应用于某些特定的基因治疗领域。
HSV载体的主要应用
重组HSV载体在基因治疗领域应用多样,主要有以下几种研究场景:
HSV作为溶瘤病毒
HSV-1在溶瘤病毒疗法应用方面,由于以下几个因素而具有相当的潜力。首先HSV-1具有很强感染性,在10小时内即可完成其整个复制周期并释放数千个子代病毒颗粒,这比腺病毒等其它的常见病毒所需的时间要短得多。除了细胞外扩散外,HSV-1病毒颗粒还可以通过细胞连接的方式从一个细胞传导到另一个细胞,这有利于病毒在实体瘤内高效传播。此外,HSV-1已被证明可有效感染多种实验动物,因此非常适合体内临床前研究。
经过专门设计的减毒HSV溶瘤病毒可以选择性地在肿瘤细胞中复制并将其杀死,但是不能在正常细胞中生长。这样的HSV可以通过删除正常细胞中病毒复制所必需但对肿瘤细胞不是必需的基因来产生。此外,这种HSV的肿瘤杀伤效果还可以通过携带抗癌基因或者激活化疗试剂的基因来进一步增强。
2015年,FDA批准了HSV-1溶瘤病毒药物Talimogene Laherparepvec(TVEC),目前用于治疗黑色素瘤。TVEC删除了病毒基因ICP34.5和ICP47,使其在正常细胞中无法复制但是可以激活免疫系统。TVEC的溶瘤潜力还因为其过表达人粒细胞巨噬细胞刺激因子(GM-CSF)而得到额外增强。GM-CSF基因通过增强树突状细胞的迁移和成熟来进一步激活免疫系统。
除了减毒病毒载体,复制缺陷型的HSV也可以用于治疗多种癌症。该方法主要原理是利用复制缺陷型HSV来驱动细胞自杀基因(例如胸苷激酶)或者其它治疗潜力的基因(例如TNF-α)在肿瘤细胞内表达从而达到抑制肿瘤生长的目的。
HSV作为疫苗
HSV在用于抗病毒和抗细菌疫苗研制方面拥有以下几个优势:1、可用多种途径给药激活宿主免疫系统;2、病毒基因组在宿主细胞中保持游离体形式,不整合宿主基因组; 3、HSV基因组中表达TK基因可以将无细胞毒性的药物,比如Ganciclovir,可以被转变成有细胞毒性的代谢物以杀死被病毒感染的细胞,同时不造成副作用。实际上,无论是使用HSV-BAC、扩增子载体、复制缺陷型HSV还是减毒HSV,在应用于抗击多种病原体的疫苗时均具有良好的表现。
减毒HSV特别适用于开发抗HSV疫苗,这是因为它们为宿主的免疫系统提供了接触多种类型的病毒抗原的机会,从而可以激活细胞免疫和体液免疫。此外,与非活性疫苗或者仅表达病毒特定亚基的疫苗载体相比,减毒活疫苗可以提供更长期的有效保护。
此外,HSV疫苗的开发是有一定紧迫性的,这是因为全世界人口中有很大一部分有感染过HSV-1或HSV-2,但是目前尚未有FDA批准的疫苗可用于治疗这两种病毒。VC2是一种在开发时对病毒糖蛋白gk和膜蛋白UL20进行了部分删除的减毒活HSV-1病毒,当前已经在HSV-1和HSV-2感染的动物模型中测试并表现出良好的应用潜力。
包含删除突变的复制缺陷型HSV(删除了病毒复制所必需的以及表达特异性外来抗原的基因)在作为疫苗注射各种病毒或细菌感染的动物模型中,表现出持久诱导激活免疫反应的特点。
此外,在使用小鼠模型的一些临床前研究中,扩增子载体作为治疗性疫苗已广泛用于治疗癌症、微生物感染以及神经疾病。当前,还需要在其他动物模型中评估HSV疫苗的免疫原性,包括那些已经存在HSV免疫的动物模型。
HSV作为基因递送载体
HSV扩增子载体是基于HSV-1设计的,但是只包含一个或多个目的基因以及最小病毒基因组序列。HSV扩增子载体由于其天然的神经嗜性、极大的装载能力(可达150 kb)、低毒性以及在病毒基因组序列在靶细胞内以游离体存在的特点,特别适合作为针对神经元的进行基因递送。
当前HSV扩增子载体广泛用于以下领域研究:1、神经退行性疾病,例如阿尔茨海默症和帕金森疾病;2、神经精神异常,包括抑郁和上瘾;3、治疗方法中需要将治疗性基因导入神经系统的疾病,例如缺血性脑卒中。此外,由于扩增子载体能够感染多种分裂细胞系,并且与传统质粒转染相比,HSV扩增子载体更容易感染细胞,因此扩增子载体非常适合体外药理学研究。
通过删除病毒复制所必需的基因以显著降低细胞毒性,复制缺陷型的HSV也是一种基因递送载体被应用于基因治疗。这些HSV由于多个基因的缺失,其装载能力也到了提升,使得它们能够携带多个独立的基因表达盒,而这是对用于复合基因治疗的载体的典型要求。
因此,复制缺陷型HSV已广泛用于多种基因治疗研究,包括慢性疼痛、帕金森疾病、脊髓损伤以及溶酶体储存障碍等。NP2是一种表达人前脑啡肽(Preproenkephalin,PENK)的复制缺陷型HSV,在治疗疼痛的一期临床试验中显示出良好的结果。
更多技术和产品详情可微信搜索关注“载体家”公众号
风险提示:丁香通仅作为第三方平台,为商家信息发布提供平台空间。用户咨询产品时请注意保护个人信息及财产安全,合理判断,谨慎选购商品,商家和用户对交易行为负责。对于医疗器械类产品,请先查证核实企业经营资质和医疗器械产品注册证情况。
- 作者
- 内容
- 询问日期
文献和实验Herpes Simplex Virus Infection Increases Beta-Amyloid Production and Induces the Development of Alzheimer's Disease
、TCID50、PFU Page 16: 1. pShuttle-CMV图谱 2. 病毒滴度测定 3. 重组腺病毒质粒转染 4. 重组腺病毒传代 Page 17: 1. 噬斑纯化 2. Adeno-X系统腺病毒包装protocol 3. PCR鉴定重组载体的缺陷 4. Sequences of pAdTrack-CMV and pAdEasy-1 5. BJ5183中质粒提取 Page 18: 1. 重组后质粒鉴定 2. BJ5183细菌的验证 3. 腺病毒
腺病毒(adenovirus,Ad)最初由W. P. ROWE等人在人腺样体中分离得到并命名,这是一种直径为70-100nm、无包膜的双链DNA病毒。目前已知的人腺病毒血清型有50多种。其中基于人腺病毒5型(Ad5)改造的载体使用较为广泛,其特点是人为地删除了E1和E3基因,导致腺病毒失去复制能力和一定程度上降低免疫原性,使得Ad5成为一种广泛、安全、有效的基因运输载体。 根据重组腺病毒的特点,我们继续了解腺病毒在不同领域中的应用都有哪些 腺病毒除了用作基因治疗药物载体
扫描仪中,都采用机械式的二维X,Y线性扫描技术实现,即X,Y方向都采用直线驱动器和直线导轨实现往复运动。此类装置,由于驱动系统的频率限制,驱动器的扫描惯性大,使得扫描效率低,分析时间相当长;并且往复行程长,对直线导轨的精度要求相当高。二、光机结合的二维扫描系统为同样实现生物芯片的二维扫描,我们的实验装置设计如图2,采用了振镜和大数值孔径的远心f-è物镜相结合实现X方向扫描,Y方向的运动仍采用直线驱动器和直线导轨实现。 系统中,对于f-è物镜,满足x=2fè(è为振镜的摆动角度,f为物镜焦距)的线性
技术资料暂无技术资料 索取技术资料









