万千商家帮你免费找货
0 人在求购买到急需产品
- 详细信息
- 技术资料
- 供应商:
一研
- 库存:
29
- 靶点:
说明书
- 级别:
说明书
- 目录编号:
说明书
- 克隆性:
多克隆
- 抗原来源:
Rabbit
- 保质期:
说明书
- 抗体英文名:
BRCC3
- 抗体名:
乳腺癌易感基因复合物亚基蛋白3抗体
- 标记物:
Unconjugated
- 宿主:
说明书
- 适应物种:
说明书
- 免疫原:
KLH conjugated synthetic peptide derived from human BRCC3/BRCC36
- 亚型:
LgG
- 形态:
液体
- 应用范围:
说明书
- 保存条件:
Shipped at 4℃. Store at -20 °C for one year. Avoid repeated freeze/thaw cycles.
- 浓度:
1mg/ml
- 规格:
100ul
产品介绍:
产品属性:
一、准备好试剂与仪器:
磷酸盐缓冲盐水、荧光标记的抗体溶液、缓冲甘油、搪瓷桶三只、有盖搪瓷盒一只、荧光显微镜、玻片架、滤纸、37℃温箱等。
二、实验步骤
1.滴加0.01mol/L,pH7.4的PBS于待检标本片上,十分钟后弃去,使标本保持一定湿度。
2.滴加适当稀释的荧光标记的抗体溶液,使其完全覆盖标本,置于有盖搪瓷盒内,保温一定时间以三十分钟为参考。
3.取出玻片,置玻片架上,先用0.01mol/L,pH7.4的PBS冲洗后,再按顺序过0.01mol/L,pH7.4的PBS三缸浸泡,每缸三到五分钟,并不停地摇晃振荡。
4.取出玻片,用滤纸吸去多余水分,但不使标本干燥,加一滴缓冲甘油,以盖玻片覆盖。
5.立即用荧光显微镜观察。观察标本的特异性荧光强度。
抗体的生活习性:
(1)结合特异性抗原:抗体与其他免疫球蛋白分子区别,就在于抗体能与相应抗原发生特异性结合,在体内导致生理或病理效应;在体外产生各种直接或间接的可见的抗原抗体结合反应。抗体是靠其分子上的特殊的结合部位与抗原结合的。
(2)激活补体:抗体与相应抗原结合后,借助暴露的补体结合点去激活补体系统、激发补体的溶菌、溶细胞等免疫作用。
(3)结合细胞:不同类别的免疫球蛋白,可结合不同种的细胞,产生不同的疚,参与免疫应答。
(4)可通过胎盘及粘膜:免疫球蛋白G(IgG)能通过胎盘进入胎儿血流中,使胎儿形成自然被动免疫。免疫球蛋白A(IgA)可通过消化道及呼吸道粘膜,是粘膜局部抗感染免疫的主要因素。
(5)具有抗原性:抗体分子是一种蛋白质,也具有刺激机体产生免疫应答的性能。不同的免疫球蛋白分子,各具有不同的抗原性。
(6)抗体对理化因子的抵抗力与一般球蛋白相同:不耐热,60~70℃即被破坏。各种酶及能使蛋白质凝固变性的物质,均能破坏抗体的作用。抗体可被中性盐类沉淀。在上常可用硫酸铵或硫酸钠从免疫血清中沉淀出含有抗体的球蛋白,再经透析法将其纯化。
实验原理 :
(1)特异性结合抗原:抗体本身不能直接溶解或杀伤带有特异抗原的靶细胞,通常需要补体或吞噬细胞等共同发挥效应以清除病原微生物或导致病理损伤。然而,抗体可通过与病毒或毒素的特异性结合,直接发挥中和病毒的作用。
(2)活补体:IgM、IgG1、IgG2和IgG3可通过经典途径激活补体,凝聚的IgA、IgG4和IgE可通过替代途径激活补体。
(3)结合细胞:不同类别的免疫球蛋白,可结合不同种的细胞,参与免疫应答。
(4)可通过胎盘及粘膜:免疫球蛋白G(IgG)能通过胎盘进入胎儿血流中,使胎儿形成自然被动免疫。免疫球蛋白A(IgA)可通过消化道及呼吸道粘膜,是粘膜局部抗感染免疫的主要因素。
(5)具有抗原性:抗体分子是一种蛋白质,也具有刺机体产生免疫应答的性能。不同的免疫球蛋白分子,各具有不同的抗原性。
(6)抗体对理化因子的抵抗力与一般球蛋白相同:不耐热,60~70℃即被破坏。各种酶及能使蛋白质凝固变性的物质,均能破坏抗体的作用。抗体可被中性盐类沉淀。在上常可用硫酸铵或硫酸钠从免疫血清中沉淀出含有抗体的球蛋白,再经透析法将其纯化。
LH(Mouse luteotropic hormone)ELISA Kit 小鼠促黄体激素Multi-class antibodies规格: 48T
Anti-CLEC2D/OCIL/FITC 荧光素标记CLEC2D抗体IgGMulti-class antibodies规格: 0.2ml
Rhesus antibody Rh Dishevelled 3/DVL3 DVL3抗体 规格 0.2ml
Streptavidin/HRP 辣根过氧化物酶标记链霉亲和素 0.1ml
LZIC LZIC抗体 0.2ml
青霉素G检测试剂盒 96孔/盒 动物组织/水产/蜂蜜/奶
Anti-CLEC2D/OCIL/FITC 荧光素标记CLEC2D抗体IgGMulti-class antibodies规格: 0.2ml
Angiotensin II receptor(Ang II ) 管紧张素Ⅱ受体(抗原)Multi-class antibodies规格: 0.5mg
Anti-Phospho-Beta-Catenin (Ser552) 磷酸化β 连环素抗体Multi-class antibodies规格: 0.1ml
Rhesus antibody Rh PCDHGB1 原钙粘γB1抗体 规格 0.2ml
IL12B Kit Human 人 IL12B / NKSF2 / p40 ELISA配对抗体 ELISA
TRAP80 MED17抗体 0.2ml
phospho-CBL2 (Tyr731) 磷酸化原CBL2抗体 0.1ml
Anti-Phospho-Beta-Catenin (Ser552) 磷酸化β 连环素抗体Multi-class antibodies规格: 0.1ml
Mfn1 (Mitofusin1) 线粒体融合1Multi-class antibodies规格: 0.5mg
Anti-beta-Amyloid(1-16) β淀粉样肽(1-16)抗体(小鼠、大鼠)Multi-class antibodies规格: 0.1ml
Rhesus antibody Rh Phospho-BLNK(Tyr96) 磷酸化T淋巴连接抗体 规格 0.1ml
PBS即用型缓冲液 250ml 0.01mol/L pH 7.4
PBEF1 内脂素/内脏脂肪素/前B克隆增强1抗体 0.1ml
delta 2 Catenin δ-连环抗体 0.2ml
Anti-beta-Amyloid(1-16) β淀粉样肽(1-16)抗体(小鼠、大鼠)Multi-class antibodies规格: 0.1ml
OVA (ovalbumin) 鸡卵白 10mg
KIBRA 和脑抗体 0.2ml
Rhesus antibody Rh CTR9 小板活化CTR9抗体 规格 0.2ml
Anti-5-HTR4/FITC 荧光素标记5-羟色胺受体4抗体IgGMulti-class antibodies规格: 0.2ml
Rhesus antibody Rh VHR/DUSP3 /特定磷酸酶抗体 规格 0.2ml
Anti-E2F5/FITC 荧光素标记转录E2F-5抗体IgGMulti-class antibodies规格: 0.2ml
乳腺癌易感基因复合物亚基蛋白3抗体脯/精丰富端亮丰富重复(PRELP)酶联免疫试剂盒Anti-IL17C Antibody跨膜59抗体
烟酰腺嘌呤二核苷酸磷酸氧化酶5(NOX5)酶联免疫试剂盒Anti-IL17F Antibody神经元22抗体
半乳凝集素4(GAL4)酶联免疫试剂盒Anti-IL17F Antibody味觉受体家族2亚基60抗体
抗胶原抗体(CLA)酶联免疫试剂盒 Anti-IL17F Antibody骨架结合2抗体
去甲(NA/NE)酶联免疫试剂盒 Anti-IL17RA AntibodyTUB抗体
周期素依赖性激酶2(CDK2)酶联免疫试剂盒 Anti-IL18 Antibody转录Tbx5抗体
苯羟化酶 (PAH)酶联免疫试剂盒Anti-IL18 Antibody跨膜9家族成员4抗体
神经调节素1(NRG1)检测酶联免疫试剂盒Human PSKH1 (Serine/threonine-protein kinase H1) ELISA KIT包装100ml盐酸地匹福林杂质A(标准品)
膜联A2(ANXA2)检测酶联免疫试剂盒Human LAMA3(Laminin subunit alpha-3) ELISA Kit包装25ml盐酸丁卡因(标准品)
表皮调节素(EREG)检测酶联免疫试剂盒Human PPME1 (Protein phosphatase methylesterase 1) ELISA KIT包装500ml盐酸丁卡因杂质(对丁甲酸)(标准品)
神经纤维素2(NF2)检测酶联免疫试剂盒Human PXDC1 (PX domain-containing protein 1) ELISA KIT包装1g盐酸丁咯地尔(标准品)
心型脂肪酸结合(FABP3)检测酶联免疫试剂盒Human PCBP1(Poly(rC)-binding protein 1) ELISA Kit包装250mg盐酸丁螺环酮(标准品)
顶体(ACR)检测酶联免疫试剂盒Human KCTD13 (BTB/POZ domain-containing adapter for CUL3-mediated RhoA degradation protein 1) ELISA KIT包装5g盐酸度洛西汀(标准品)
17(Sp17)检测酶联免疫试剂盒Human PCGF1 (Polycomb group RING finger protein 1) ELISA KIT包装1g盐酸多巴酚丁杂质(标准品)
转化生长β3(TGFβ3)检测酶联免疫试剂盒Human PRDM1 (PR domain zinc finger protein 1) ELISA KIT包装5g盐酸多柔比星/盐酸阿霉素(标准品)
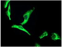
| 产品名称:乳腺癌易感基因复合物亚基蛋白3抗体 英文名称:BRCC3 英文别名:BRCA1-A complex subunit BRCC36; BRCA1/BRCA2 containing complex subunit 3; BRCA1/BRCA2 containing complex subunit 36; BRCA1/BRCA2-containing complex subunit 3; BRCA1/BRCA2-containing complex subunit 36; Brcc3; BRCC3_HUMAN; BRCC36; BRISC complex subunit BRCC36; C6.1A; Chromosome X open reading frame 53; CXorf53; Lys-63-specific deubiquitinase BRCC36. 交叉反应: Human, Mouse, Rat, Dog, Pig, Cow, Horse, Rabbit, Sheep 标记: Unconjugated 抗体来源: Rabbit 抗体类型: Polyclonal 免疫原: KLH conjugated synthetic peptide derived from human BRCC3/BRCC36 蛋白细胞定位: 细胞核 纯化方法: affinity purified by Protein A 亚型: IgG 性状: Liquid 浓度: 1mg/ml 储存液: 0.01M TBS(pH7.4) with 1% BSA, 0.03% Proclin300 and 50% Glycerol. 保存条件: Shipped at 4℃. Store at -20 °C for one year. Avoid repeated freeze/thaw cycles. 背景资料: Metalloprotease that specifically cleaves 'Lys-63'-linked polyubiquitin chains. Does not have activity toward 'Lys-48'-linked polyubiquitin chains. Component of the BRCA1-A complex, a complex that specifically recognizes 'Lys-63'-linked ubiquitinated histones H2A and H2AX at DNA lesions sites, leading to target the BRCA1-BARD1 heterodimer to sites of DNA damage at double-strand breaks (DSBs). In the BRCA1-A complex, it specifically removes 'Lys-63'-linked ubiquitin on histones H2A and H2AX, antagonizing the RNF8-dependent ubiquitination at double-strand breaks (DSBs). Catalytic subunit of the BRISC complex, a multiprotein complex that specifically cleaves 'Lys-63'-linked ubiquitin in various substrates. Mediates the specific 'Lys-63'-specific deubiquitination associated with the COP9 signalosome complex (CSN), via the interaction of the BRISC complex with the CSN complex. |
| 产品名称 | 浓度 | 型号 |
| 乳腺癌易感基因复合物亚基蛋白3抗体 | 1mg/ml | EY-01K4844 |




一、准备好试剂与仪器:
磷酸盐缓冲盐水、荧光标记的抗体溶液、缓冲甘油、搪瓷桶三只、有盖搪瓷盒一只、荧光显微镜、玻片架、滤纸、37℃温箱等。
二、实验步骤
1.滴加0.01mol/L,pH7.4的PBS于待检标本片上,十分钟后弃去,使标本保持一定湿度。
2.滴加适当稀释的荧光标记的抗体溶液,使其完全覆盖标本,置于有盖搪瓷盒内,保温一定时间以三十分钟为参考。
3.取出玻片,置玻片架上,先用0.01mol/L,pH7.4的PBS冲洗后,再按顺序过0.01mol/L,pH7.4的PBS三缸浸泡,每缸三到五分钟,并不停地摇晃振荡。
4.取出玻片,用滤纸吸去多余水分,但不使标本干燥,加一滴缓冲甘油,以盖玻片覆盖。
5.立即用荧光显微镜观察。观察标本的特异性荧光强度。
抗体的生活习性:
(1)结合特异性抗原:抗体与其他免疫球蛋白分子区别,就在于抗体能与相应抗原发生特异性结合,在体内导致生理或病理效应;在体外产生各种直接或间接的可见的抗原抗体结合反应。抗体是靠其分子上的特殊的结合部位与抗原结合的。
(2)激活补体:抗体与相应抗原结合后,借助暴露的补体结合点去激活补体系统、激发补体的溶菌、溶细胞等免疫作用。
(3)结合细胞:不同类别的免疫球蛋白,可结合不同种的细胞,产生不同的疚,参与免疫应答。
(4)可通过胎盘及粘膜:免疫球蛋白G(IgG)能通过胎盘进入胎儿血流中,使胎儿形成自然被动免疫。免疫球蛋白A(IgA)可通过消化道及呼吸道粘膜,是粘膜局部抗感染免疫的主要因素。
(5)具有抗原性:抗体分子是一种蛋白质,也具有刺激机体产生免疫应答的性能。不同的免疫球蛋白分子,各具有不同的抗原性。
(6)抗体对理化因子的抵抗力与一般球蛋白相同:不耐热,60~70℃即被破坏。各种酶及能使蛋白质凝固变性的物质,均能破坏抗体的作用。抗体可被中性盐类沉淀。在上常可用硫酸铵或硫酸钠从免疫血清中沉淀出含有抗体的球蛋白,再经透析法将其纯化。
实验原理 :
(1)特异性结合抗原:抗体本身不能直接溶解或杀伤带有特异抗原的靶细胞,通常需要补体或吞噬细胞等共同发挥效应以清除病原微生物或导致病理损伤。然而,抗体可通过与病毒或毒素的特异性结合,直接发挥中和病毒的作用。
(2)活补体:IgM、IgG1、IgG2和IgG3可通过经典途径激活补体,凝聚的IgA、IgG4和IgE可通过替代途径激活补体。
(3)结合细胞:不同类别的免疫球蛋白,可结合不同种的细胞,参与免疫应答。
(4)可通过胎盘及粘膜:免疫球蛋白G(IgG)能通过胎盘进入胎儿血流中,使胎儿形成自然被动免疫。免疫球蛋白A(IgA)可通过消化道及呼吸道粘膜,是粘膜局部抗感染免疫的主要因素。
(5)具有抗原性:抗体分子是一种蛋白质,也具有刺机体产生免疫应答的性能。不同的免疫球蛋白分子,各具有不同的抗原性。
(6)抗体对理化因子的抵抗力与一般球蛋白相同:不耐热,60~70℃即被破坏。各种酶及能使蛋白质凝固变性的物质,均能破坏抗体的作用。抗体可被中性盐类沉淀。在上常可用硫酸铵或硫酸钠从免疫血清中沉淀出含有抗体的球蛋白,再经透析法将其纯化。
LH(Mouse luteotropic hormone)ELISA Kit 小鼠促黄体激素Multi-class antibodies规格: 48T
Anti-CLEC2D/OCIL/FITC 荧光素标记CLEC2D抗体IgGMulti-class antibodies规格: 0.2ml
Rhesus antibody Rh Dishevelled 3/DVL3 DVL3抗体 规格 0.2ml
Streptavidin/HRP 辣根过氧化物酶标记链霉亲和素 0.1ml
LZIC LZIC抗体 0.2ml
青霉素G检测试剂盒 96孔/盒 动物组织/水产/蜂蜜/奶
Anti-CLEC2D/OCIL/FITC 荧光素标记CLEC2D抗体IgGMulti-class antibodies规格: 0.2ml
Angiotensin II receptor(Ang II ) 管紧张素Ⅱ受体(抗原)Multi-class antibodies规格: 0.5mg
Anti-Phospho-Beta-Catenin (Ser552) 磷酸化β 连环素抗体Multi-class antibodies规格: 0.1ml
Rhesus antibody Rh PCDHGB1 原钙粘γB1抗体 规格 0.2ml
IL12B Kit Human 人 IL12B / NKSF2 / p40 ELISA配对抗体 ELISA
TRAP80 MED17抗体 0.2ml
phospho-CBL2 (Tyr731) 磷酸化原CBL2抗体 0.1ml
Anti-Phospho-Beta-Catenin (Ser552) 磷酸化β 连环素抗体Multi-class antibodies规格: 0.1ml
Mfn1 (Mitofusin1) 线粒体融合1Multi-class antibodies规格: 0.5mg
Anti-beta-Amyloid(1-16) β淀粉样肽(1-16)抗体(小鼠、大鼠)Multi-class antibodies规格: 0.1ml
Rhesus antibody Rh Phospho-BLNK(Tyr96) 磷酸化T淋巴连接抗体 规格 0.1ml
PBS即用型缓冲液 250ml 0.01mol/L pH 7.4
PBEF1 内脂素/内脏脂肪素/前B克隆增强1抗体 0.1ml
delta 2 Catenin δ-连环抗体 0.2ml
Anti-beta-Amyloid(1-16) β淀粉样肽(1-16)抗体(小鼠、大鼠)Multi-class antibodies规格: 0.1ml
OVA (ovalbumin) 鸡卵白 10mg
KIBRA 和脑抗体 0.2ml
Rhesus antibody Rh CTR9 小板活化CTR9抗体 规格 0.2ml
Anti-5-HTR4/FITC 荧光素标记5-羟色胺受体4抗体IgGMulti-class antibodies规格: 0.2ml
Rhesus antibody Rh VHR/DUSP3 /特定磷酸酶抗体 规格 0.2ml
Anti-E2F5/FITC 荧光素标记转录E2F-5抗体IgGMulti-class antibodies规格: 0.2ml
乳腺癌易感基因复合物亚基蛋白3抗体脯/精丰富端亮丰富重复(PRELP)酶联免疫试剂盒Anti-IL17C Antibody跨膜59抗体
烟酰腺嘌呤二核苷酸磷酸氧化酶5(NOX5)酶联免疫试剂盒Anti-IL17F Antibody神经元22抗体
半乳凝集素4(GAL4)酶联免疫试剂盒Anti-IL17F Antibody味觉受体家族2亚基60抗体
抗胶原抗体(CLA)酶联免疫试剂盒 Anti-IL17F Antibody骨架结合2抗体
去甲(NA/NE)酶联免疫试剂盒 Anti-IL17RA AntibodyTUB抗体
周期素依赖性激酶2(CDK2)酶联免疫试剂盒 Anti-IL18 Antibody转录Tbx5抗体
苯羟化酶 (PAH)酶联免疫试剂盒Anti-IL18 Antibody跨膜9家族成员4抗体
神经调节素1(NRG1)检测酶联免疫试剂盒Human PSKH1 (Serine/threonine-protein kinase H1) ELISA KIT包装100ml盐酸地匹福林杂质A(标准品)
膜联A2(ANXA2)检测酶联免疫试剂盒Human LAMA3(Laminin subunit alpha-3) ELISA Kit包装25ml盐酸丁卡因(标准品)
表皮调节素(EREG)检测酶联免疫试剂盒Human PPME1 (Protein phosphatase methylesterase 1) ELISA KIT包装500ml盐酸丁卡因杂质(对丁甲酸)(标准品)
神经纤维素2(NF2)检测酶联免疫试剂盒Human PXDC1 (PX domain-containing protein 1) ELISA KIT包装1g盐酸丁咯地尔(标准品)
心型脂肪酸结合(FABP3)检测酶联免疫试剂盒Human PCBP1(Poly(rC)-binding protein 1) ELISA Kit包装250mg盐酸丁螺环酮(标准品)
顶体(ACR)检测酶联免疫试剂盒Human KCTD13 (BTB/POZ domain-containing adapter for CUL3-mediated RhoA degradation protein 1) ELISA KIT包装5g盐酸度洛西汀(标准品)
17(Sp17)检测酶联免疫试剂盒Human PCGF1 (Polycomb group RING finger protein 1) ELISA KIT包装1g盐酸多巴酚丁杂质(标准品)
转化生长β3(TGFβ3)检测酶联免疫试剂盒Human PRDM1 (PR domain zinc finger protein 1) ELISA KIT包装5g盐酸多柔比星/盐酸阿霉素(标准品)
风险提示:丁香通仅作为第三方平台,为商家信息发布提供平台空间。用户咨询产品时请注意保护个人信息及财产安全,合理判断,谨慎选购商品,商家和用户对交易行为负责。对于医疗器械类产品,请先查证核实企业经营资质和医疗器械产品注册证情况。
技术资料暂无技术资料 索取技术资料
乳腺癌易感基因复合物亚基蛋白3抗体
¥1080 - 3200









