万千商家帮你免费找货
0 人在求购买到急需产品
- 详细信息
- 文献和实验
- 技术资料
- 供应商:
一研
- 库存:
47
- 靶点:
说明书
- 级别:
说明书
- 目录编号:
说明书
- 克隆性:
多克隆
- 抗原来源:
Rabbit
- 保质期:
说明书
- 抗体英文名:
Adiponectin
- 抗体名:
脂联素抗体
- 标记物:
Unconjugated
- 宿主:
说明书
- 适应物种:
说明书
- 免疫原:
KLH conjugated synthetic peptide derived from human Adiponectin
- 亚型:
LgG
- 形态:
液体
- 应用范围:
说明书
- 保存条件:
Shipped at 4℃. Store at -20 °C for one year. Avoid repeated freeze/thaw cycles.
- 浓度:
1mg/ml
- 规格:
100ul
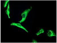
| 产品名称:脂联素抗体 英文名称:Adiponectin 英文别名:30 kDa adipocyte complement related protein; 30 kDa adipocyte complement-related protein; ACDC; ACRP 30; ACRP30; ADIPO_HUMAN; Adipocyte; Adipocyte C1q and collagen domain containing protein; Adipocyte complement related 30 kDa protein; Adipocyte complement related protein of 30 kDa; Adipocyte complement-related 30 kDa protein; Adiponectin; AdipoQ; Adipose most abundant gene transcript 1; Adipose most abundant gene transcript 1 protein; Adipose specific collagen like factor; ADIPQTL1; ADPN; APM 1; apM-1; ApM1; C1q and collagen domain-containing protein; GBP 28; GBP28; Gelatin binding protein; G 交叉反应: Human, Mouse, Rat, Chicken, Dog, Pig, Cow, Rabbit 标记: Unconjugated 抗体来源: Rabbit 抗体类型: Polyclonal 免疫原: KLH conjugated synthetic peptide derived from human Adiponectin 蛋白细胞定位: 分泌型蛋白 纯化方法: affinity purified by Protein A 亚型: IgG 性状: Liquid 浓度: 1mg/ml 储存液: 0.01M TBS(pH7.4) with 1% BSA, 0.03% Proclin300 and 50% Glycerol. 保存条件: Shipped at 4℃. Store at -20 °C for one year. Avoid repeated freeze/thaw cycles. 背景资料: Adiponectin: A protein hormone produced and secreted exclusively by adipocytes (fat cells) that regulates the metabolism of lipids and glucose. Adiponectin influences the body's response to insulin. Adiponectin also has antiinflammatory effects on the cells lining the walls of blood vessels. High blood levels of adiponectin are associated with a reduced risk of heart attack. Low levels of adiponectin are found in people who are obese (and who are at increased risk of a heart attack). Adipocytes produce and secrete a number of proteins, including leptin, adipsin, properdin, and tumor necrosis factor (TNF). An adipose tissue-specific factor was isolated and termed APM1 (AdiPose Most abundant gene transcript 1). The protein product of APM1 is adiponectin. The APM1 gene maps to chromosome 3q27. |
| 产品名称 | 浓度 | 型号 |
| 脂联素抗体 | 1mg/ml | EY-01K1016 |




一、准备好试剂与仪器:
磷酸盐缓冲盐水、荧光标记的抗体溶液、缓冲甘油、搪瓷桶三只、有盖搪瓷盒一只、荧光显微镜、玻片架、滤纸、37℃温箱等。
二、实验步骤
1.滴加0.01mol/L,pH7.4的PBS于待检标本片上,十分钟后弃去,使标本保持一定湿度。
2.滴加适当稀释的荧光标记的抗体溶液,使其完全覆盖标本,置于有盖搪瓷盒内,保温一定时间以三十分钟为参考。
3.取出玻片,置玻片架上,先用0.01mol/L,pH7.4的PBS冲洗后,再按顺序过0.01mol/L,pH7.4的PBS三缸浸泡,每缸三到五分钟,并不停地摇晃振荡。
4.取出玻片,用滤纸吸去多余水分,但不使标本干燥,加一滴缓冲甘油,以盖玻片覆盖。
5.立即用荧光显微镜观察。观察标本的特异性荧光强度。
抗体的生活习性:
(1)结合特异性抗原:抗体与其他免疫球蛋白分子区别,就在于抗体能与相应抗原发生特异性结合,在体内导致生理或病理效应;在体外产生各种直接或间接的可见的抗原抗体结合反应。抗体是靠其分子上的特殊的结合部位与抗原结合的。
(2)激活补体:抗体与相应抗原结合后,借助暴露的补体结合点去激活补体系统、激发补体的溶菌、溶细胞等免疫作用。
(3)结合细胞:不同类别的免疫球蛋白,可结合不同种的细胞,产生不同的疚,参与免疫应答。
(4)可通过胎盘及粘膜:免疫球蛋白G(IgG)能通过胎盘进入胎儿血流中,使胎儿形成自然被动免疫。免疫球蛋白A(IgA)可通过消化道及呼吸道粘膜,是粘膜局部抗感染免疫的主要因素。
(5)具有抗原性:抗体分子是一种蛋白质,也具有刺激机体产生免疫应答的性能。不同的免疫球蛋白分子,各具有不同的抗原性。
(6)抗体对理化因子的抵抗力与一般球蛋白相同:不耐热,60~70℃即被破坏。各种酶及能使蛋白质凝固变性的物质,均能破坏抗体的作用。抗体可被中性盐类沉淀。在上常可用硫酸铵或硫酸钠从免疫血清中沉淀出含有抗体的球蛋白,再经透析法将其纯化。
实验原理 :
(1)特异性结合抗原:抗体本身不能直接溶解或杀伤带有特异抗原的靶细胞,通常需要补体或吞噬细胞等共同发挥效应以清除病原微生物或导致病理损伤。然而,抗体可通过与病毒或毒素的特异性结合,直接发挥中和病毒的作用。
(2)活补体:IgM、IgG1、IgG2和IgG3可通过经典途径激活补体,凝聚的IgA、IgG4和IgE可通过替代途径激活补体。
(3)结合细胞:不同类别的免疫球蛋白,可结合不同种的细胞,参与免疫应答。
(4)可通过胎盘及粘膜:免疫球蛋白G(IgG)能通过胎盘进入胎儿血流中,使胎儿形成自然被动免疫。免疫球蛋白A(IgA)可通过消化道及呼吸道粘膜,是粘膜局部抗感染免疫的主要因素。
(5)具有抗原性:抗体分子是一种蛋白质,也具有刺机体产生免疫应答的性能。不同的免疫球蛋白分子,各具有不同的抗原性。
(6)抗体对理化因子的抵抗力与一般球蛋白相同:不耐热,60~70℃即被破坏。各种酶及能使蛋白质凝固变性的物质,均能破坏抗体的作用。抗体可被中性盐类沉淀。在上常可用硫酸铵或硫酸钠从免疫血清中沉淀出含有抗体的球蛋白,再经透析法将其纯化。
Anti-CKIP-1/FITC 荧光素标记酪激酶2相互作用1抗体IgGMulti-class antibodies规格: 0.2ml
Anti-IRS-1/FITC 荧光素标记胰岛素受体底物-1抗体IgGMulti-class antibodies规格: 0.2ml
Rhesus antibody Rh CCL15/MIP5 巨噬性15 规格 0.1ml
IKB Alpha (Inhibitor of KB Alpha) KB抑制α抗原 0.5mg
HNF1 beta 肝核1β/HNF-1β抗体 0.1ml
Rhesus antibody Rh SOX9/SRA1 转录SOX9抗体 规格 0.1ml
Anti-IRS-1/FITC 荧光素标记胰岛素受体底物-1抗体IgGMulti-class antibodies规格: 0.2ml
Anti-ID1/Inhibitor of DNA binding 1 /FITC 荧光素标记DNA结合抑制1抗体IgGMulti-class antibodies规格: 0.2ml
Anti-PKC gamma/SCA14/FITC 荧光素标记激酶C亚型G抗体IgGMulti-class antibodies规格: 0.2ml
Rhesus antibody Rh ARSH 芳香基酯酶H抗体 规格 0.2ml
Donkey Anti-human IgG/PE-CY5 PE-CY5标记的驴抗人IgG 0.1ml
GCAP3 鸟苷酸环化酶激活3抗体 0.2ml
Rhesus antibody Rh Rabbit Anti-Monkey IgG/PE PE标记的兔抗猴IgG 规格 0.1ml
Anti-PKC gamma/SCA14/FITC 荧光素标记激酶C亚型G抗体IgGMulti-class antibodies规格: 0.2ml
VEGFR-1/Flt1(Human Vascuoar endothelial cell growth factor receptor 1) ELISA kit 人管内皮生长受体1Multi-class antibodies规格: 48T
Anti-EGFP Tag 重组增强型绿色荧光标签抗体Multi-class antibodies规格: 0.1ml
Rhesus antibody Rh Mouse Anti-Guinea pig IgG/Alexa Fluor 555 Alexa Fluor 555标记的小鼠抗豚鼠IgG 规格 0.1ml
HSP-90(Human Heat Shock Protein 90) ELISA Kit 人热休克90 96T
phospho-RACGAP1(Ser387) 磷酸化Rho GTP酶激活GAP抗体 0.1ml
Phospho-Cofilin (Tyr140) 磷酸化丝切抗体 0.1ml
Anti-EGFP Tag 重组增强型绿色荧光标签抗体Multi-class antibodies规格: 0.1ml
TY3H ( Tyrosine Hydroxylase ) 酪酸羟化酶(抗原) 0.5mg
phospho-HSF1(Ser326) 磷酸化热休克1抗体 0.1ml
Rhesus antibody Rh C21orf128 21号染色体开放阅读框128抗体 规格 0.2ml
Anti-Phospho-EGFR(Tyr845) /FITC 荧光素标记兔抗人、大、小鼠磷酸化表皮生长受体抗体IgGMulti-class antibodies规格: 0.2ml
Rhesus antibody Rh S100A7/Psoriasin S100钙结合A7抗体 规格 0.2ml
Anti-HSA/HRP 辣根过氧化物酶标记鼠抗人清白单克隆抗体IgGMulti-class antibodies规格: 0.2ml
脂联素抗体Smad7(Human Mothers against decapentaplegic homolog 7) ELISA Kit 人Smad7规格: 48T
TAA(Human tumor-associated antigen) ELISA Kit 人相关抗原规格: 48T
TIEG1(Human TGF-beta-inducible early response gene-1) ELISA Kit 人TGF-β诱导早期基因1规格: 48T
TAF(Human tumor angiogenesis factors) ELISA Kit 人因子规格: 48T
CK-20(Human cytokeratin 20) ELISA Kit 人细胞角蛋白20规格: 48T
风险提示:丁香通仅作为第三方平台,为商家信息发布提供平台空间。用户咨询产品时请注意保护个人信息及财产安全,合理判断,谨慎选购商品,商家和用户对交易行为负责。对于医疗器械类产品,请先查证核实企业经营资质和医疗器械产品注册证情况。
文献和实验daydayupmj ]请教个问题,最近接触了一些脂联素的文章,有些混乱, 1----血清中脂联素形式有球形还有全长型,还有的这样分即高分子量多聚体(HMW),六聚体,三聚体,还有的这样写HMW,MMW,LMW.是不是MMW就是六聚体,LMW就是三聚体。还有说球形结构域是三聚体,是什么意思?有些混乱。 2-----关于脂联素到底是抗炎的,还是一种炎症反应的标志物,是一种炎症因子。看了一篇关于脂联素的英文Adiponectin
抗体的结构决定了其对应的功能,同一抗体的V区和C区的氨基酸组成和顺序不同,决定了其功能上的差异。V区和C区的组成和结构,决定了抗体的生物学功能。 图1:抗体的主要功能(图片来源:Abbas et al: Cellular and Molecular Immunology, 7e.) 1、特异性识别功能 抗体可以通过其结构上的可变区域与抗原结合,同时,具有极高的特异性。这种特异性识别功能可以使抗体识别和结合到感染的病原体,肿瘤细胞等不同种类的分子,帮助免疫系统识别并定位到这些分子,进而启动
在生命科学和医学基础研究中,或多或少都需要用到抗体。抗体的应用场景不同、标记物众多,且针对同一标记物市场上往往有多个抗体可供选择,那么,我们如何从成百万上千万种抗体中,挑选出我们想要的那支呢? 在我们6月份的关于抗体的调研活动中,我们发现,大家更多的是去参考文献或专利中的材料和方法部分,这无疑很大程度上保证了抗体的有效性。其次有45%和34%的受访者会用到百度和谷歌,然而这两个搜索引擎覆盖面颇广,经常会出现抗体无关的搜索结果,而专业用于查找抗体的网站,大家却知之甚少。 因此,本次文章中
技术资料暂无技术资料 索取技术资料









