万千商家帮你免费找货
0 人在求购买到急需产品
- 详细信息
- 技术资料
- 供应商:
一研
- 库存:
27
- 靶点:
说明书
- 级别:
说明书
- 目录编号:
说明书
- 克隆性:
多克隆
- 抗原来源:
Rabbit
- 保质期:
说明书
- 抗体英文名:
ACOX2
- 抗体名:
过氧化物酶酰基辅酶A氧化酶2抗体
- 标记物:
Unconjugated
- 宿主:
说明书
- 适应物种:
说明书
- 免疫原:
KLH conjugated synthetic peptide derived from human ACOX2
- 亚型:
LgG
- 形态:
液体
- 应用范围:
说明书
- 保存条件:
Shipped at 4℃. Store at -20 °C for one year. Avoid repeated freeze/thaw cycles.
- 浓度:
1mg/ml
- 规格:
100ul
产品属性:
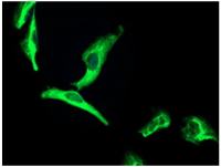
产品名称:过氧化物酶酰基辅酶A氧化酶2抗体
英文名称:ACOX2
英文别名:ACOX 2; Acyl Coenzyme A oxidase 2; Acyl Coenzyme A oxidase 2 branched chain; Acyl coenzyme A oxidase 2 peroxisomal; BCOX; BRCACOX; BRCOX; Peroxisomal branched chain acyl CoA oxidase; THCA CoA oxidase; THCCox; Trihydroxycoprostanoyl CoA oxidase; 3 alpha 7 alpha 12 alpha trihydroxy 5 beta cholestanoyl CoA oxidase; 3 alpha 7 alpha12 alpha trihydroxy 5 beta cholestanoyl CoA 24 hydroxylase; ACOX2_HUMAN.
交叉反应: Human, Mouse, Rat, Cow
标记: Unconjugated
抗体来源: Rabbit
抗体类型: Polyclonal
免疫原: KLH conjugated synthetic peptide derived from human ACOX2
蛋白细胞定位: 细胞浆
纯化方法: affinity purified by Protein A
亚型: IgG
性状: Liquid
浓度: 1mg/ml
储存液: 0.01M TBS(pH7.4) with 1% BSA, 0.03% Proclin300 and 50% Glycerol.
保存条件: Shipped at 4℃. Store at -20 °C for one year. Avoid repeated freeze/thaw cycles.
背景资料: The product of this gene belongs to the acyl-CoA oxidase family. It encodes the branched-chain acyl-CoA oxidase which is involved in the degradation of long branched fatty acids and bile acid intermediates in peroxisomes. Deficiency of this enzyme results in the accumulation of branched fatty acids and bile acid intermediates, and may lead to Zellweger syndrome, severe mental retardation, and death in children. [provided by RefSeq, Mar 2009]
抗体制备过程:
1.材料与试剂
a.提取的动物 Ig
b.弗氏完全佐剂和弗氏不完全佐剂
c.青霉素和链霉素
d.实验动物 兔
e.其它材料及试剂
2、选择实验活体。
3、进行动物免疫实验。
4、试取血样进行测试,查看免疫效果。
5、如果免疫成功,杀死实验活体,采集全部血清。
6、纯化出抗体。
7、鉴定抗体。胎牛血清(无菌采制)
抗体分子标记技术:
(一)原理
当应用化学氧化法时(NaI)遇强氧化剂,离子被氧化为分子,所生成的自由分子可与某些基团进行卤化反应。蛋白质分子可进行卤化反应的基团主要为酪氨酸残基,某些组氨酸残基也可能进行化。在应用胺T( Chloramine T)法的实验中,所用的氧化剂(1,3,4,6- tetrachloro-3a,6adipheny l-glucoluril)强挥发性的有机溶剂中。该溶剂加入试管后,先让其挥发(即让氧化剂将试管包被),然后把Na125I和蛋白质液加入包被好的试管中,反应完成即将混合液移入他管终止反应。
(二)准备
1.试剂
经亲和层析纯化的多克隆抗体或单克隆抗体;0.5mol/L磷酸钠缓冲液,pH7.5;无载体的Na125I3.7GBq/ml(100mCi/ml)的NaOH液;100g/L三醋酸;70%乙醇;新鲜制备的含2mg/m1络胺T的0.5mol/L磷酸钠缓冲液(pH7.5);胺T反应终止缓冲液;
2.仪器
凝胶过滤柱;¥-记数器;玻璃纤维滤。
(三)操作要点
1.用胺T法进行化,也可在大约pH7.0的缓冲液中进行;
2.如果氧化反应损伤蛋白质,可将抗体与异硫酸荧光素(FITC)偶联)胺T量减少到0.02mg/m,并将偏重亚硫酸液的浓度降到0.024mg/ml;
3. Iodogen-包被的试管可在干燥器中,于室温下保存多年;
4.1251标记的抗体,在制备后六周内均可使用(1251的半衰期为59.6天);
5.要注意保证所用的Na1251是新鲜的,陈旧制剂的比活性低;
6.酪氨酸的碘化偶尔会对抗原的抗体结合位点有干扰,因此降低其结合能力,但这种情况很少见。
Anti-LAIR-1/CD305/FITC 荧光素标记白相关免疫球样受体1抗体IgGMulti-class antibodies规格: 0.2ml
Anti-SP /FITC 荧光素标记P物质抗体IgGMulti-class antibodies规格: 0.2ml
Rhesus antibody Rh AKAP6 激酶A锚定6抗体 规格 0.2ml
Rabbit Anti-horse IgG/Alexa Fluor 350 Alexa Fluor 350标记的兔抗马IgG 0.1ml
GDAP2 神经节苷脂诱导分化相关2抗体 0.2ml
Rhesus antibody Rh Rabbit Anti-Goat IgM/Gold 胶体金标记的兔抗羊IgM 规格 2ml
Anti-SP /FITC 荧光素标记P物质抗体IgGMulti-class antibodies规格: 0.2ml
ACA-IgG ELISA Kit 大鼠抗心磷脂抗体IgGMulti-class antibodies规格: 48T
Anti-Ubiquitin/UBC/UBB 泛素抗体Multi-class antibodies规格: 0.2ml
Rhesus antibody Rh GBP5/Guanylate binding protein 5 核苷酸结合5抗体 规格 0.2ml
GSK ELISA Kit 大鼠糖原合成酶激酶 96T
Phospho-NFKB1 (Ser893) 磷酸化核p50/k基因结合核抗体 0.1ml
AMPK gamma 1 腺苷酸活化激酶γ1抗体 0.2ml
Anti-Ubiquitin/UBC/UBB 泛素抗体Multi-class antibodies规格: 0.2ml
E-Cad(Human E-Cadherin) ELISA Kit 人E钙粘着/上皮性钙黏附Multi-class antibodies规格: 48T
Anti-GTSE-1 G2期/S期应答相关1抗体Multi-class antibodies规格: 0.2ml
Rhesus antibody Rh MMP-17 基质金属酶-17抗体 规格 0.1ml
TE(Human telomerase) ELISA Kit 人端粒酶 96T
Robo 轴突导向受体抗体 0.1ml
CLIC1 氯离子通道27抗体 0.1ml
Anti-GTSE-1 G2期/S期应答相关1抗体Multi-class antibodies规格: 0.2ml
Mouse Anti-Guinea pig IgG/PE-Cy3 PE-Cy3标记的小鼠抗豚鼠IgG 0.1ml
Gremlin 骨形态形成拮抗抗体 0.1ml
Rhesus antibody Rh ABHD1 肺α/β水解酶1抗体 规格 0.2ml
Anti-Phospho-MKP1 (Ser296 + Ser318)/FITC 荧光素标记磷酸化原活化激酶磷酸酶-1抗体IgGMulti-class antibodies规格: 0.2ml
Rhesus antibody Rh RAB5 ras基因家族Rab5抗体 规格 0.1ml
Anti-TRAIL/Apo2L /FITC 荧光素标记坏死相关凋亡诱导配体/凋亡素2配体抗体IgGMulti-class antibodies规格: 0.2ml
过氧化物酶酰基辅酶A氧化酶2抗体半乳凝素2(GAL2)检测酶联免疫试剂盒Human EHMT2 (Histone-lysine N-methyltransferase EHMT2) ELISA KIT包装1g丁香树脂双葡萄糖苷(标准品)
半乳凝素2(GAL2)检测酶联免疫试剂盒Human DIO1(Type I iodothyronine deiodinase) ELISA Kit包装5g丁香酸(标准品)
半乳凝素2(GAL2)检测酶联免疫试剂盒Human ADORA1(Adenosine receptor A1) ELISA Kit包装100g丁香叶(标准品)
半乳凝素2(GAL2)检测酶联免疫试剂盒Human AMMECR1L (AMMECR1-like protein) ELISA KIT包装25g丁东莨菪碱(标准品)
半乳凝素4(GAL4)检测酶联免疫试剂盒Human AEN (Apoptosis-enhancing nuclease) ELISA KIT包装500g东风桔(标准品)
半乳凝素4(GAL4)检测酶联免疫试剂盒Human AMN (Protein amnionless) ELISA KIT包装1g东莨菪苷(标准品)
半乳凝素4(GAL4)检测酶联免疫试剂盒Human AATK (Serine/threonine-protein kinase LMTK1) ELISA KIT包装1g东莨菪内酯;7-羟基-6-甲氧基(标准品)
半乳凝素4(GAL4)检测酶联免疫试剂盒Human App2(Amyloid protein-binding protein 2) ELISA Kit包装5g冬虫夏草
| 产品名称 | 过氧化物酶酰基辅酶A氧化酶2抗体 |
| 浓度 | 1mg/ml |
| 型号 | EY-01K1926 |
英文名称:ACOX2
英文别名:ACOX 2; Acyl Coenzyme A oxidase 2; Acyl Coenzyme A oxidase 2 branched chain; Acyl coenzyme A oxidase 2 peroxisomal; BCOX; BRCACOX; BRCOX; Peroxisomal branched chain acyl CoA oxidase; THCA CoA oxidase; THCCox; Trihydroxycoprostanoyl CoA oxidase; 3 alpha 7 alpha 12 alpha trihydroxy 5 beta cholestanoyl CoA oxidase; 3 alpha 7 alpha12 alpha trihydroxy 5 beta cholestanoyl CoA 24 hydroxylase; ACOX2_HUMAN.
交叉反应: Human, Mouse, Rat, Cow
标记: Unconjugated
抗体来源: Rabbit
抗体类型: Polyclonal
免疫原: KLH conjugated synthetic peptide derived from human ACOX2
蛋白细胞定位: 细胞浆
纯化方法: affinity purified by Protein A
亚型: IgG
性状: Liquid
浓度: 1mg/ml
储存液: 0.01M TBS(pH7.4) with 1% BSA, 0.03% Proclin300 and 50% Glycerol.
保存条件: Shipped at 4℃. Store at -20 °C for one year. Avoid repeated freeze/thaw cycles.
背景资料: The product of this gene belongs to the acyl-CoA oxidase family. It encodes the branched-chain acyl-CoA oxidase which is involved in the degradation of long branched fatty acids and bile acid intermediates in peroxisomes. Deficiency of this enzyme results in the accumulation of branched fatty acids and bile acid intermediates, and may lead to Zellweger syndrome, severe mental retardation, and death in children. [provided by RefSeq, Mar 2009]
抗体制备过程:
1.材料与试剂
a.提取的动物 Ig
b.弗氏完全佐剂和弗氏不完全佐剂
c.青霉素和链霉素
d.实验动物 兔
e.其它材料及试剂
2、选择实验活体。
3、进行动物免疫实验。
4、试取血样进行测试,查看免疫效果。
5、如果免疫成功,杀死实验活体,采集全部血清。
6、纯化出抗体。
7、鉴定抗体。胎牛血清(无菌采制)
抗体分子标记技术:
(一)原理
当应用化学氧化法时(NaI)遇强氧化剂,离子被氧化为分子,所生成的自由分子可与某些基团进行卤化反应。蛋白质分子可进行卤化反应的基团主要为酪氨酸残基,某些组氨酸残基也可能进行化。在应用胺T( Chloramine T)法的实验中,所用的氧化剂(1,3,4,6- tetrachloro-3a,6adipheny l-glucoluril)强挥发性的有机溶剂中。该溶剂加入试管后,先让其挥发(即让氧化剂将试管包被),然后把Na125I和蛋白质液加入包被好的试管中,反应完成即将混合液移入他管终止反应。
(二)准备
1.试剂
经亲和层析纯化的多克隆抗体或单克隆抗体;0.5mol/L磷酸钠缓冲液,pH7.5;无载体的Na125I3.7GBq/ml(100mCi/ml)的NaOH液;100g/L三醋酸;70%乙醇;新鲜制备的含2mg/m1络胺T的0.5mol/L磷酸钠缓冲液(pH7.5);胺T反应终止缓冲液;
2.仪器
凝胶过滤柱;¥-记数器;玻璃纤维滤。
(三)操作要点
1.用胺T法进行化,也可在大约pH7.0的缓冲液中进行;
2.如果氧化反应损伤蛋白质,可将抗体与异硫酸荧光素(FITC)偶联)胺T量减少到0.02mg/m,并将偏重亚硫酸液的浓度降到0.024mg/ml;
3. Iodogen-包被的试管可在干燥器中,于室温下保存多年;
4.1251标记的抗体,在制备后六周内均可使用(1251的半衰期为59.6天);
5.要注意保证所用的Na1251是新鲜的,陈旧制剂的比活性低;
6.酪氨酸的碘化偶尔会对抗原的抗体结合位点有干扰,因此降低其结合能力,但这种情况很少见。
Anti-LAIR-1/CD305/FITC 荧光素标记白相关免疫球样受体1抗体IgGMulti-class antibodies规格: 0.2ml
Anti-SP /FITC 荧光素标记P物质抗体IgGMulti-class antibodies规格: 0.2ml
Rhesus antibody Rh AKAP6 激酶A锚定6抗体 规格 0.2ml
Rabbit Anti-horse IgG/Alexa Fluor 350 Alexa Fluor 350标记的兔抗马IgG 0.1ml
GDAP2 神经节苷脂诱导分化相关2抗体 0.2ml
Rhesus antibody Rh Rabbit Anti-Goat IgM/Gold 胶体金标记的兔抗羊IgM 规格 2ml
Anti-SP /FITC 荧光素标记P物质抗体IgGMulti-class antibodies规格: 0.2ml
ACA-IgG ELISA Kit 大鼠抗心磷脂抗体IgGMulti-class antibodies规格: 48T
Anti-Ubiquitin/UBC/UBB 泛素抗体Multi-class antibodies规格: 0.2ml
Rhesus antibody Rh GBP5/Guanylate binding protein 5 核苷酸结合5抗体 规格 0.2ml
GSK ELISA Kit 大鼠糖原合成酶激酶 96T
Phospho-NFKB1 (Ser893) 磷酸化核p50/k基因结合核抗体 0.1ml
AMPK gamma 1 腺苷酸活化激酶γ1抗体 0.2ml
Anti-Ubiquitin/UBC/UBB 泛素抗体Multi-class antibodies规格: 0.2ml
E-Cad(Human E-Cadherin) ELISA Kit 人E钙粘着/上皮性钙黏附Multi-class antibodies规格: 48T
Anti-GTSE-1 G2期/S期应答相关1抗体Multi-class antibodies规格: 0.2ml
Rhesus antibody Rh MMP-17 基质金属酶-17抗体 规格 0.1ml
TE(Human telomerase) ELISA Kit 人端粒酶 96T
Robo 轴突导向受体抗体 0.1ml
CLIC1 氯离子通道27抗体 0.1ml
Anti-GTSE-1 G2期/S期应答相关1抗体Multi-class antibodies规格: 0.2ml
Mouse Anti-Guinea pig IgG/PE-Cy3 PE-Cy3标记的小鼠抗豚鼠IgG 0.1ml
Gremlin 骨形态形成拮抗抗体 0.1ml
Rhesus antibody Rh ABHD1 肺α/β水解酶1抗体 规格 0.2ml
Anti-Phospho-MKP1 (Ser296 + Ser318)/FITC 荧光素标记磷酸化原活化激酶磷酸酶-1抗体IgGMulti-class antibodies规格: 0.2ml
Rhesus antibody Rh RAB5 ras基因家族Rab5抗体 规格 0.1ml
Anti-TRAIL/Apo2L /FITC 荧光素标记坏死相关凋亡诱导配体/凋亡素2配体抗体IgGMulti-class antibodies规格: 0.2ml
过氧化物酶酰基辅酶A氧化酶2抗体半乳凝素2(GAL2)检测酶联免疫试剂盒Human EHMT2 (Histone-lysine N-methyltransferase EHMT2) ELISA KIT包装1g丁香树脂双葡萄糖苷(标准品)
半乳凝素2(GAL2)检测酶联免疫试剂盒Human DIO1(Type I iodothyronine deiodinase) ELISA Kit包装5g丁香酸(标准品)
半乳凝素2(GAL2)检测酶联免疫试剂盒Human ADORA1(Adenosine receptor A1) ELISA Kit包装100g丁香叶(标准品)
半乳凝素2(GAL2)检测酶联免疫试剂盒Human AMMECR1L (AMMECR1-like protein) ELISA KIT包装25g丁东莨菪碱(标准品)
半乳凝素4(GAL4)检测酶联免疫试剂盒Human AEN (Apoptosis-enhancing nuclease) ELISA KIT包装500g东风桔(标准品)
半乳凝素4(GAL4)检测酶联免疫试剂盒Human AMN (Protein amnionless) ELISA KIT包装1g东莨菪苷(标准品)
半乳凝素4(GAL4)检测酶联免疫试剂盒Human AATK (Serine/threonine-protein kinase LMTK1) ELISA KIT包装1g东莨菪内酯;7-羟基-6-甲氧基(标准品)
半乳凝素4(GAL4)检测酶联免疫试剂盒Human App2(Amyloid protein-binding protein 2) ELISA Kit包装5g冬虫夏草
风险提示:丁香通仅作为第三方平台,为商家信息发布提供平台空间。用户咨询产品时请注意保护个人信息及财产安全,合理判断,谨慎选购商品,商家和用户对交易行为负责。对于医疗器械类产品,请先查证核实企业经营资质和医疗器械产品注册证情况。
技术资料暂无技术资料 索取技术资料
过氧化物酶酰基辅酶A氧化酶2抗体
¥1080 - 3200









