万千商家帮你免费找货
0 人在求购买到急需产品
- 详细信息
- 文献和实验
- 技术资料
- 供应商:
一研
- 库存:
41
- 靶点:
说明书
- 级别:
说明书
- 目录编号:
说明书
- 克隆性:
多克隆
- 抗原来源:
Rabbit
- 保质期:
说明书
- 抗体英文名:
ECM1
- 抗体名:
细胞外基质蛋白1抗体
- 标记物:
Unconjugated
- 宿主:
说明书
- 适应物种:
说明书
- 免疫原:
KLH conjugated synthetic peptide derived from human ECM1
- 亚型:
LgG
- 形态:
液体
- 应用范围:
说明书
- 保存条件:
Shipped at 4℃. Store at -20 °C for one year. Avoid repeated freeze/thaw cycles.
- 浓度:
1mg/ml
- 规格:
100ul




| 产品名称:细胞外基质蛋白1抗体 英文名称:ECM1 英文别名:Secretory Component Glycoprotein; ECM 1; Ecm1; ECM1_HUMAN; Extracellular matrix protein 1; Secretory component p85. 交叉反应: Human, Mouse, Rat, Dog, Cow 标记: Unconjugated 抗体来源: Rabbit 抗体类型: Polyclonal 免疫原: KLH conjugated synthetic peptide derived from human ECM1 蛋白细胞定位: 分泌型蛋白 纯化方法: affinity purified by Protein A 亚型: IgG 性状: Liquid 浓度: 1mg/ml 储存液: 0.01M TBS(pH7.4) with 1% BSA, 0.03% Proclin300 and 50% Glycerol. 保存条件: Shipped at 4℃. Store at -20 °C for one year. Avoid repeated freeze/thaw cycles. 背景资料: Extracellular matrix protein 1 (ECM1) This family consists of several eukaryotic extracellular matrix protein 1 (ECM1) sequences. ECM1 has been shown to regulate endochondral bone formation, stimulate the proliferation of endothelial cells and induce angiogenesis. Mutations in the ECM1 gene can cause lipoid proteinosis, a disorder which causes generalised thickening of skin, mucosae and certain viscera. Classical features include beaded eyelid papules and laryngeal infiltration leading to hoarseness. |
| 产品名称 | 浓度 | 型号 |
| 细胞外基质蛋白1抗体 | 1mg/ml | EY-01K1628 |
(1)结合特异性抗原:抗体与其他免疫球蛋白分子区别,就在于抗体能与相应抗原发生特异性结合,在体内导致生理或病理效应;在体外产生各种直接或间接的可见的抗原抗体结合反应。抗体是靠其分子上的特殊的结合部位与抗原结合的。
(2)激活补体:抗体与相应抗原结合后,借助暴露的补体结合点去激活补体系统、激发补体的溶菌、溶细胞等免疫作用。
(3)结合细胞:不同类别的免疫球蛋白,可结合不同种的细胞,产生不同的疚,参与免疫应答。
(4)可通过胎盘及粘膜:免疫球蛋白G(IgG)能通过胎盘进入胎儿血流中,使胎儿形成自然被动免疫。免疫球蛋白A(IgA)可通过消化道及呼吸道粘膜,是粘膜局部抗感染免疫的主要因素。
(5)具有抗原性:抗体分子是一种蛋白质,也具有刺激机体产生免疫应答的性能。不同的免疫球蛋白分子,各具有不同的抗原性。
(6)抗体对理化因子的抵抗力与一般球蛋白相同:不耐热,60~70℃即被破坏。各种酶及能使蛋白质凝固变性的物质,均能破坏抗体的作用。抗体可被中性盐类沉淀。在上常可用硫酸铵或硫酸钠从免疫血清中沉淀出含有抗体的球蛋白,再经透析法将其纯化。
实验原理 :
(1)特异性结合抗原:抗体本身不能直接溶解或杀伤带有特异抗原的靶细胞,通常需要补体或吞噬细胞等共同发挥效应以清除病原微生物或导致病理损伤。然而,抗体可通过与病毒或毒素的特异性结合,直接发挥中和病毒的作用。
(2)活补体:IgM、IgG1、IgG2和IgG3可通过经典途径激活补体,凝聚的IgA、IgG4和IgE可通过替代途径激活补体。
(3)结合细胞:不同类别的免疫球蛋白,可结合不同种的细胞,参与免疫应答。
(4)可通过胎盘及粘膜:免疫球蛋白G(IgG)能通过胎盘进入胎儿血流中,使胎儿形成自然被动免疫。免疫球蛋白A(IgA)可通过消化道及呼吸道粘膜,是粘膜局部抗感染免疫的主要因素。
(5)具有抗原性:抗体分子是一种蛋白质,也具有刺机体产生免疫应答的性能。不同的免疫球蛋白分子,各具有不同的抗原性。
(6)抗体对理化因子的抵抗力与一般球蛋白相同:不耐热,60~70℃即被破坏。各种酶及能使蛋白质凝固变性的物质,均能破坏抗体的作用。抗体可被中性盐类沉淀。在上常可用硫酸铵或硫酸钠从免疫血清中沉淀出含有抗体的球蛋白,再经透析法将其纯化。
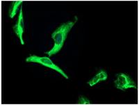
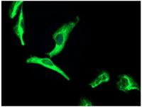
免疫荧光技术的实验步骤:
一、准备好试剂与仪器:
磷酸盐缓冲盐水、荧光标记的抗体溶液、缓冲甘油、搪瓷桶三只、有盖搪瓷盒一只、荧光显微镜、玻片架、滤纸、37℃温箱等。
二、实验步骤
1.滴加0.01mol/L,pH7.4的PBS于待检标本片上,十分钟后弃去,使标本保持一定湿度。
2.滴加适当稀释的荧光标记的抗体溶液,使其完全覆盖标本,置于有盖搪瓷盒内,保温一定时间以三十分钟为参考。
3.取出玻片,置玻片架上,先用0.01mol/L,pH7.4的PBS冲洗后,再按顺序过0.01mol/L,pH7.4的PBS三缸浸泡,每缸三到五分钟,并不停地摇晃振荡。
4.取出玻片,用滤纸吸去多余水分,但不使标本干燥,加一滴缓冲甘油,以盖玻片覆盖。
5.立即用荧光显微镜观察。观察标本的特异性荧光强度。
Anti-Histone H1/FITC 荧光素标记抗组H1抗体IgGMulti-class antibodies规格: 0.2ml
Anti-phospho-ATF2(pSer490/pSer498)/FITC 荧光素标记抗磷酸化活化复制2抗体IgGMulti-class antibodies规格: 0.2ml
Rhesus antibody Rh ATR/ACTR/RAC3 /激酶ATR抗体 规格 0.1ml
VIP (Vasoactive Intestinal peptide) 管活性肠肽 0.5mg
GRAP2 生长受体结合2相关接头2抗体 0.2ml
Rhesus antibody Rh Rabbit Anti-mouse IgM/RBITC 罗丹明标记的兔抗小鼠IgM 规格 0.3ml
Anti-phospho-ATF2(pSer490/pSer498)/FITC 荧光素标记抗磷酸化活化复制2抗体IgGMulti-class antibodies规格: 0.2ml
Human Calreticulin,CRT ELISA Kit 人钙网Multi-class antibodies规格: 48T
Anti-SM-MHC 心肌肌凝抗体Multi-class antibodies规格: 0.1ml
Rhesus antibody Rh Goat Anti-Mouse IgM/PE-Cy7 PE-Cy7标记的羊抗小鼠IgM 规格 0.1ml
HO-1(Mouse heme oxygenase 1) ELISA Kit 小鼠红素氧合酶1 96T
NT5C1A 胞质5'核苷酸酶1A抗体 0.2ml
beta-Amyloid (1-42) β淀粉样肽(1-42)单克隆抗体 0.1ml
Anti-SM-MHC 心肌肌凝抗体Multi-class antibodies规格: 0.1ml
MAO(Human monoamine oxidase) ELISA Kit 人单胺氧化酶Multi-class antibodies规格: 48T
Anti-P95/NBS1 DNA修复NBS1抗体Multi-class antibodies规格: 0.2ml
Rhesus antibody Rh IL-6 白介素6抗体 规格 0.1ml
MMP-2/Gelatinase A ELISA Kit 大鼠基质金属酶2/明胶酶A 96T
PROK1/PRK1/EG-VEGF 腺衍生管内皮生长抗体 0.1ml
CACH2 L型钙通道抗体 0.1ml
Anti-P95/NBS1 DNA修复NBS1抗体Multi-class antibodies规格: 0.2ml
Donkey Anti-Goat IgG/Cy5.5 Cy5.5标记的驴抗羊IgG 0.1ml
GLEPP1 肾小球上皮1抗体 0.2ml
Rhesus antibody Rh ASB4 含锚重复序列-信号抑制物盒家族4抗体 规格 0.2ml
Anti-HSP-90 Beta/FITC 荧光素标记HSP-90β抗体IgGMulti-class antibodies规格: 0.2ml
Rhesus antibody Rh Rabbit Anti-mouse IgG/Alexa Fluor 350 Alexa Fluor 350标记的兔抗小鼠IgG 规格 0.1ml
Anti-PKA/FITC 荧光素标记激酶A抗体IgGMulti-class antibodies规格: 0.2ml
细胞外基质蛋白1抗体腓骨7(FBLN7)检测酶联免疫试剂盒Human FGF1(Heparin-binding growth factor 1) ELISA Kit包装25g盐酸番茄碱(标准品)
四旋6(TSPAN6)检测酶联免疫试剂盒Human FLT3(Receptor-type tyrosine-protein kinase FLT3) ELISA Kit包装5g盐酸黄柏碱(标准品)
四旋7(TSPAN7)检测酶联免疫试剂盒Human IFNA1(Interferon alpha-1/13) ELISA Kit包装25g盐酸黄连碱(标准品)
四旋8(TSPAN8)检测酶联免疫试剂盒Human 5-NT(5-Nucleotidase) ELISA Kit包装5g盐酸(标准品)
四旋9(TSPAN9)检测酶联免疫试剂盒Human AAA(Anti-Albumin Antibody) ELISA Kit包装5g盐酸青藤碱(标准品)
四旋5(TSPAN5)检测酶联免疫试剂盒Human ABCC5(ATP Binding Cassette Transporter C5) ELISA Kit包装25g盐酸去氢骆驼蓬碱(标准品)
四旋4(TSPAN4)检测酶联免疫试剂盒Human ABCG1(ATP Binding Cassette Transporter G1) ELISA Kit包装5g盐酸石蒜碱(标准品)
四旋2(TSPAN2)检测酶联免疫试剂盒Human AAHA(Anti-Apolipoprotein Antibody) ELISA Kit包装100g盐酸甜菜碱(标准品)
风险提示:丁香通仅作为第三方平台,为商家信息发布提供平台空间。用户咨询产品时请注意保护个人信息及财产安全,合理判断,谨慎选购商品,商家和用户对交易行为负责。对于医疗器械类产品,请先查证核实企业经营资质和医疗器械产品注册证情况。
文献和实验藻胆〔蛋白〕体 phycobilisome 在蓝藻和红藻中,其藻胆色素蛋白在活体内以蛋白颗粒状态存在,规则地排列在类囊体的外面,其所捕获的光能可以传给与类囊体膜内的蛋白结合的叶绿素a。此藻胆色素蛋白的聚合体,称为藻胆蛋白体。这是E.Gantt和S.F.Conti(1966)用电子显微镜观察紫球藻时发现的。是藻胆色素蛋白六聚体10至30个聚到一起而成的蛋白颗粒,别藻蓝蛋白六聚体六个单位形成核心,再呈辐射状,最多可排列六条,并由藻蓝蛋白和藻红蛋白六聚体3-4个单位形成棒状聚合
质形态。常用的蛋白质表达系统,例如大肠杆菌、昆虫细胞和哺乳动物细胞等都属于体内系统并且受到细胞膜的约束作用,其产量和稳定性都相对较低。与这些蛋白质表达系统相比,亚诺法推出的这一系统有着显着的优越性。此外,体外小麦胚系统能够经得起自动化高通量小分子生物筛选以及特征描述的考验。 体外小麦胚系统+ 脂质体技术之优势 产量更高 稳定性更高 高表达成功率 天然蛋白构型 易用于自动化 膜蛋白脂蛋白体类别 聚类分化
泛素-蛋白酶体系统(ubiquitin-proteasome system, UPS)是细胞内蛋白质降解的主要途径,参与细胞内80%以上蛋白质的降解。本视频清楚地解析了泛素-蛋白酶体系统的作用及工作流程。 泛素-蛋白酶体系统作用及工作流程
技术资料暂无技术资料 索取技术资料









