相关产品推荐更多 >
万千商家帮你免费找货
0 人在求购买到急需产品
- 详细信息
- 技术资料
- 供应商:
一研
- 库存:
60
- 靶点:
说明书
- 级别:
说明书
- 目录编号:
说明书
- 克隆性:
多克隆
- 抗原来源:
Rabbit
- 保质期:
说明书
- 抗体英文名:
C8orf76
- 抗体名:
8号染色体开放阅读框76抗体
- 标记物:
Unconjugated
- 宿主:
说明书
- 适应物种:
说明书
- 免疫原:
KLH conjugated synthetic peptide derived from human C8orf76
- 亚型:
LgG
- 形态:
液体
- 应用范围:
说明书
- 保存条件:
Shipped at 4℃. Store at -20 °C for one year. Avoid repeated freeze/thaw cycles.
- 浓度:
1mg/ml
- 规格:
100ul




| 产品名称:8号染色体开放阅读框76抗体 英文名称:C8orf76 英文别名:Chromosome 8 open reading frame 76; Hypothetical protein LOC84933; LOC84933; Uncharacterized protein C8orf76;CH076_HUMAN. 交叉反应: Human, Mouse, Rat, Dog, Pig, Cow, Sheep 标记: Unconjugated 抗体来源: Rabbit 抗体类型: Polyclonal 免疫原: KLH conjugated synthetic peptide derived from human C8orf76 蛋白细胞定位: 细胞浆 纯化方法: affinity purified by Protein A 亚型: IgG 性状: Liquid 浓度: 1mg/ml 储存液: 0.01M TBS(pH7.4) with 1% BSA, 0.03% Proclin300 and 50% Glycerol. 保存条件: Shipped at 4℃. Store at -20 °C for one year. Avoid repeated freeze/thaw cycles. 背景资料: C8orf76 (chromosome 8 open reading frame 76) is a 380 amino acid protein encoded by a gene that maps to human chromosome 8q24.13. Consisting of nearly 146 million bases, chromosome 8 encodes about 800 genes. Translocation of portions of chromosome 8 with amplifications of the c-Myc gene are found in some leukemias and lymphomas, and are typically associated with a poor prognosis. Portions of chromosome 8 have been linked to schizophrenia and bipolar disorder. Trisomy 8, also known as Warkany syndrome 2, most often results in early miscarriage but is occasionally seen in a mosaic form in surviving patients who suffer to a varying degree from a number of symptoms including retarded mental and motor development, and certain facial and developmental defects. WRN is a DNA helicase encoded by chromosome 8 and shown defective in those with the early aging disorder Werner syndrome. Chromosome 8 is also associated with Pfeiffer syndrome, congenital hypothyroidism and Waardenburg syndrome. |
| 产品名称 | 浓度 | 型号 |
| 8号染色体开放阅读框76抗体 | 1mg/ml | EY-01K1130 |
(1)结合特异性抗原:抗体与其他免疫球蛋白分子区别,就在于抗体能与相应抗原发生特异性结合,在体内导致生理或病理效应;在体外产生各种直接或间接的可见的抗原抗体结合反应。抗体是靠其分子上的特殊的结合部位与抗原结合的。
(2)激活补体:抗体与相应抗原结合后,借助暴露的补体结合点去激活补体系统、激发补体的溶菌、溶细胞等免疫作用。
(3)结合细胞:不同类别的免疫球蛋白,可结合不同种的细胞,产生不同的疚,参与免疫应答。
(4)可通过胎盘及粘膜:免疫球蛋白G(IgG)能通过胎盘进入胎儿血流中,使胎儿形成自然被动免疫。免疫球蛋白A(IgA)可通过消化道及呼吸道粘膜,是粘膜局部抗感染免疫的主要因素。
(5)具有抗原性:抗体分子是一种蛋白质,也具有刺激机体产生免疫应答的性能。不同的免疫球蛋白分子,各具有不同的抗原性。
(6)抗体对理化因子的抵抗力与一般球蛋白相同:不耐热,60~70℃即被破坏。各种酶及能使蛋白质凝固变性的物质,均能破坏抗体的作用。抗体可被中性盐类沉淀。在上常可用硫酸铵或硫酸钠从免疫血清中沉淀出含有抗体的球蛋白,再经透析法将其纯化。
实验原理 :
(1)特异性结合抗原:抗体本身不能直接溶解或杀伤带有特异抗原的靶细胞,通常需要补体或吞噬细胞等共同发挥效应以清除病原微生物或导致病理损伤。然而,抗体可通过与病毒或毒素的特异性结合,直接发挥中和病毒的作用。
(2)活补体:IgM、IgG1、IgG2和IgG3可通过经典途径激活补体,凝聚的IgA、IgG4和IgE可通过替代途径激活补体。
(3)结合细胞:不同类别的免疫球蛋白,可结合不同种的细胞,参与免疫应答。
(4)可通过胎盘及粘膜:免疫球蛋白G(IgG)能通过胎盘进入胎儿血流中,使胎儿形成自然被动免疫。免疫球蛋白A(IgA)可通过消化道及呼吸道粘膜,是粘膜局部抗感染免疫的主要因素。
(5)具有抗原性:抗体分子是一种蛋白质,也具有刺机体产生免疫应答的性能。不同的免疫球蛋白分子,各具有不同的抗原性。
(6)抗体对理化因子的抵抗力与一般球蛋白相同:不耐热,60~70℃即被破坏。各种酶及能使蛋白质凝固变性的物质,均能破坏抗体的作用。抗体可被中性盐类沉淀。在上常可用硫酸铵或硫酸钠从免疫血清中沉淀出含有抗体的球蛋白,再经透析法将其纯化。
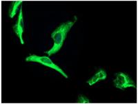
免疫荧光技术的实验步骤:
一、准备好试剂与仪器:
磷酸盐缓冲盐水、荧光标记的抗体溶液、缓冲甘油、搪瓷桶三只、有盖搪瓷盒一只、荧光显微镜、玻片架、滤纸、37℃温箱等。
二、实验步骤
1.滴加0.01mol/L,pH7.4的PBS于待检标本片上,十分钟后弃去,使标本保持一定湿度。
2.滴加适当稀释的荧光标记的抗体溶液,使其完全覆盖标本,置于有盖搪瓷盒内,保温一定时间以三十分钟为参考。
3.取出玻片,置玻片架上,先用0.01mol/L,pH7.4的PBS冲洗后,再按顺序过0.01mol/L,pH7.4的PBS三缸浸泡,每缸三到五分钟,并不停地摇晃振荡。
4.取出玻片,用滤纸吸去多余水分,但不使标本干燥,加一滴缓冲甘油,以盖玻片覆盖。
5.立即用荧光显微镜观察。观察标本的特异性荧光强度。
Anti-CXCR3/CD183(rat,mo) /FITC 荧光素标记兔抗大、小鼠表面趋化受体3抗体IgGMulti-class antibodies规格: 0.2ml
Anti-Leptin receptor(long) /FITC 荧光素标记瘦素受体抗体(长)IgGMulti-class antibodies规格: 0.2ml
Rhesus antibody Rh caspase-9 p10 半胱胺酸酶9-p10抗体 规格 0.2ml
ets1/E26 (E-twenty six 1) Ets转录家族ets1抗原 0.5mg
Phospho-HDAC4 (Ser632) + HDAC5 (Ser498) + HDAC7 (Ser486) 磷酸化组去乙酰化酶4/5/7抗体 0.1ml
Rhesus antibody Rh Skp2/skp2 p45 S期激酶相关2抗体 规格 0.1ml
Anti-Leptin receptor(long) /FITC 荧光素标记瘦素受体抗体(长)IgGMulti-class antibodies规格: 0.2ml
SP-A(Human Pulmonary surfatcant-associated protein A) ELISA Kit 人肺表面活性物质相关AMulti-class antibodies规格: 48T
Anti-HSA 人清白单克隆抗体Multi-class antibodies规格: 0.2ml
Rhesus antibody Rh MAX protein Myc基因相关X抗体 规格 0.1ml
KLK 10(Human Kallikrein 10) ELISA Kit 人10 96T
Rbms3 抑基因Rbms3抗体 0.1ml
C7orf16 7号染色体开放阅读框16抗体 0.2ml
Anti-HSA 人清白单克隆抗体Multi-class antibodies规格: 0.2ml
Anti-CD82/KAI1/FITC 荧光素标记转移抑制1抗体IgGMulti-class antibodies规格: 0.2ml
Anti-phospho-IGF1 Receptor (Tyr1161) /FITC 荧光素标记磷酸化胰岛素样生长1受体抗体IgGMulti-class antibodies规格: 0.2ml
Rhesus antibody Rh CD45/B220 白共同抗原抗体 规格 0.1ml
NR1/NMDAR1(N-Methyl-d-Asprtate receptor 1) 谷酸受体1(多肽) 0.5mg
ITM2C 跨膜ITM2C抗体 0.2ml
Rhesus antibody Rh SynCAM/TSLC1 肺阻抑基因1抗体 规格 0.1ml
Anti-phospho-IGF1 Receptor (Tyr1161) /FITC 荧光素标记磷酸化胰岛素样生长1受体抗体IgGMulti-class antibodies规格: 0.2ml
Cyclin-D1 ELISA Kit 大鼠周期素D1 96T
Phospho-p73(Tyr99) 磷酸化P73抑制基因抗体 0.1ml
Rhesus antibody Rh HB EGF/DTSF 肝素结合性表皮生长抗体 规格 0.1ml
SmIg(Human Surface Membrane Immunoglobulin) ELISA Kit 人膜表面免疫球Multi-class antibodies规格: 48T
Bcl-10 Bcl-10抗体 0.1ml
Anti-PTN 多效生长抗体Multi-class antibodies规格: 0.2ml
8号染色体开放阅读框76抗体CD62E(Human E-Selectin) ELISA kit 人E选择su规格: 48T
CCL1(Human Eotaxin 1) ELISA Kit 人嗜suan粒细胞趋化蛋白规格: 48T
ECF(Human eosinophil chemotactic factor) ELISA Kit 人鼠嗜suan粒细胞趋化因子规格: 48T
EG-VEGF(Human Endocrine gland vascular endothelial growth factor) ELISA Kit 人来源的内皮因子规格: 48T
CNTF(Human Ciliary Neurotrophic Factor) ELISA Kit 人睫状神经营养因子规格: 48T
风险提示:丁香通仅作为第三方平台,为商家信息发布提供平台空间。用户咨询产品时请注意保护个人信息及财产安全,合理判断,谨慎选购商品,商家和用户对交易行为负责。对于医疗器械类产品,请先查证核实企业经营资质和医疗器械产品注册证情况。
技术资料暂无技术资料 索取技术资料
8号染色体开放阅读框76抗体
¥1080 - 3200









