万千商家帮你免费找货
0 人在求购买到急需产品
- 详细信息
- 技术资料
- 供应商:
一研
- 库存:
26
- 靶点:
说明书
- 级别:
说明书
- 目录编号:
说明书
- 克隆性:
多克隆
- 抗原来源:
Rabbit
- 保质期:
说明书
- 抗体英文名:
ChRM2
- 抗体名:
毒蕈碱型乙酰胆碱受体M2抗体
- 标记物:
Unconjugated
- 宿主:
说明书
- 适应物种:
说明书
- 免疫原:
KLH conjugated synthetic peptide derived from human ChRM2
- 亚型:
LgG
- 形态:
液体
- 应用范围:
说明书
- 保存条件:
Shipped at 4℃. Store at -20 °C for one year. Avoid repeated freeze/thaw cycles.
- 浓度:
1mg/ml
- 规格:
100ul
产品属性:
产品介绍:
一、准备好试剂与仪器:
磷酸盐缓冲盐水、荧光标记的抗体溶液、缓冲甘油、搪瓷桶三只、有盖搪瓷盒一只、荧光显微镜、玻片架、滤纸、37℃温箱等。
二、实验步骤
1.滴加0.01mol/L,pH7.4的PBS于待检标本片上,十分钟后弃去,使标本保持一定湿度。
2.滴加适当稀释的荧光标记的抗体溶液,使其完全覆盖标本,置于有盖搪瓷盒内,保温一定时间以三十分钟为参考。
3.取出玻片,置玻片架上,先用0.01mol/L,pH7.4的PBS冲洗后,再按顺序过0.01mol/L,pH7.4的PBS三缸浸泡,每缸三到五分钟,并不停地摇晃振荡。
4.取出玻片,用滤纸吸去多余水分,但不使标本干燥,加一滴缓冲甘油,以盖玻片覆盖。
5.立即用荧光显微镜观察。观察标本的特异性荧光强度。
抗体的生活习性:
(1)结合特异性抗原:抗体与其他免疫球蛋白分子区别,就在于抗体能与相应抗原发生特异性结合,在体内导致生理或病理效应;在体外产生各种直接或间接的可见的抗原抗体结合反应。抗体是靠其分子上的特殊的结合部位与抗原结合的。
(2)激活补体:抗体与相应抗原结合后,借助暴露的补体结合点去激活补体系统、激发补体的溶菌、溶细胞等免疫作用。
(3)结合细胞:不同类别的免疫球蛋白,可结合不同种的细胞,产生不同的疚,参与免疫应答。
(4)可通过胎盘及粘膜:免疫球蛋白G(IgG)能通过胎盘进入胎儿血流中,使胎儿形成自然被动免疫。免疫球蛋白A(IgA)可通过消化道及呼吸道粘膜,是粘膜局部抗感染免疫的主要因素。
(5)具有抗原性:抗体分子是一种蛋白质,也具有刺激机体产生免疫应答的性能。不同的免疫球蛋白分子,各具有不同的抗原性。
(6)抗体对理化因子的抵抗力与一般球蛋白相同:不耐热,60~70℃即被破坏。各种酶及能使蛋白质凝固变性的物质,均能破坏抗体的作用。抗体可被中性盐类沉淀。在上常可用硫酸铵或硫酸钠从免疫血清中沉淀出含有抗体的球蛋白,再经透析法将其纯化。
Anti-CSMD1/FITC 荧光素标记抑基因CSMD1抗体IgGMulti-class antibodies规格: 0.2ml
Anti-Phospho-Lamin A/C (Ser22) /FITC 荧光素标记磷酸化核纤层A/C抗体IgGMulti-class antibodies规格: 0.2ml
Rhesus antibody Rh CCDC107 卷曲螺旋结构域107抗体 规格 0.2ml
Gax(growth arrest-specific homeobox) 生长终止特异性同源盒基因抗原 0.5mg
H5N1 Matrix Protein 2 A型毒H5N1-M2抗体 1ml
Rhesus antibody Rh Slc4a7/Nbcn1 协同转运4-A7抗体 规格 0.2ml
Anti-Phospho-Lamin A/C (Ser22) /FITC 荧光素标记磷酸化核纤层A/C抗体IgGMulti-class antibodies规格: 0.2ml
Anti-phospho-IRS1(Ser612)/FITC 荧光素标记磷酸化胰岛素受体底物-1抗体IgGMulti-class antibodies规格: 0.2ml
Anti-Sema7A/CD108/FITC 荧光素标记轴突生长CD108抗体IgGMulti-class antibodies规格: 0.2ml
Rhesus antibody Rh Angiotensin II 管紧张素Ⅱ抗体 规格 0.2ml
Rabbit Anti-Monkey IgG/Cy5 Cy5标记的兔抗猴IgG 0.1ml
GARNL1 Tuberin样1抗体 0.2ml
Rhesus antibody Rh Rabbit Anti-horse IgM/Cy5 Cy5标记的兔抗马IgM 规格 0.1ml
Anti-Sema7A/CD108/FITC 荧光素标记轴突生长CD108抗体IgGMulti-class antibodies规格: 0.2ml
IMA(Human Ischemia Modified Albumin) ELISA Kit 人缺修饰白Multi-class antibodies规格: 48T
Anti-WIG-1 p53活化基因608单克隆抗体Multi-class antibodies规格: 0.1ml
Rhesus antibody Rh HSF1 热休克1抗体 规格 0.1ml
AAA(Human anti-albumin antibody) ELISA Kit 人抗白抗体 96T
POFUT1 O岩藻糖基转移酶1抗体 0.2ml
CLN3 神经蜡样质脂褐质沉积CLN3抗体 0.2ml
Anti-WIG-1 p53活化基因608单克隆抗体Multi-class antibodies规格: 0.1ml
14-3-3 protein 14-3-3 (多肽抗原) 0.5mg
GFI1B 自主生长1B抗体 0.2ml
Rhesus antibody Rh Bad 相关死亡促进Bad抗体 规格 0.1ml
Anti-HDAC5/FITC 荧光素标记组去乙酰化酶5抗体IgGMulti-class antibodies规格: 0.2ml
Rhesus antibody Rh Rabbit Anti-pig IgG/PE PE标记的兔抗猪IgG 规格 0.1ml
Anti-PEA3/FITC 荧光素标记多促活化抗体IgGMulti-class antibodies规格: 0.2ml
毒蕈碱型乙酰胆碱受体M2抗体BALP(Human bone alkaline phosphatase) ELISA Kit 人骨性磷suanmei规格: 48T
CTX(Human Cyclophosphamide) ELISA Kit 人环磷酰an规格: 48T
1,3-DPG(Human 1,3-Disphosphoglycerate, ELISA Kit 人1,3-二磷suan甘油suan规格: 48T
1,5-AG(Human 1,5-anhydroglucitol) ELISA Kit 人1,5-脱水葡萄糖chun/1,5-脱水山梨规格: 48T
Beta-OHB(Human Beta-Hydroxybutyric Acid) ELISA Kit 人β羟丁suan规格: 48T
实验原理 :
(1)特异性结合抗原:抗体本身不能直接溶解或杀伤带有特异抗原的靶细胞,通常需要补体或吞噬细胞等共同发挥效应以清除病原微生物或导致病理损伤。然而,抗体可通过与病毒或毒素的特异性结合,直接发挥中和病毒的作用。
(2)活补体:IgM、IgG1、IgG2和IgG3可通过经典途径激活补体,凝聚的IgA、IgG4和IgE可通过替代途径激活补体。
(3)结合细胞:不同类别的免疫球蛋白,可结合不同种的细胞,参与免疫应答。
(4)可通过胎盘及粘膜:免疫球蛋白G(IgG)能通过胎盘进入胎儿血流中,使胎儿形成自然被动免疫。免疫球蛋白A(IgA)可通过消化道及呼吸道粘膜,是粘膜局部抗感染免疫的主要因素。
(5)具有抗原性:抗体分子是一种蛋白质,也具有刺机体产生免疫应答的性能。不同的免疫球蛋白分子,各具有不同的抗原性。
(6)抗体对理化因子的抵抗力与一般球蛋白相同:不耐热,60~70℃即被破坏。各种酶及能使蛋白质凝固变性的物质,均能破坏抗体的作用。抗体可被中性盐类沉淀。在上常可用硫酸铵或硫酸钠从免疫血清中沉淀出含有抗体的球蛋白,再经透析法将其纯化。
| 产品名称 | 浓度 | 型号 |
| 毒蕈碱型乙酰胆碱受体M2抗体 | 1mg/ml | EY-01K1097 |
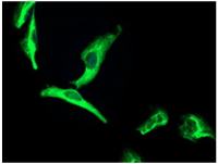
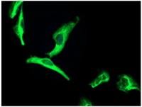
| 产品名称:毒蕈碱型乙酰胆碱受体M2抗体 英文名称:ChRM2 英文别名:Muscarinic Acetylcholine Receptor 2; 7TM receptor; Acetylcholine receptor, muscarinic, 2; Acm2; ACM2_HUMAN; Cholinergic receptor muscarinic 2; Cholinergic receptor, muscarinic 2, cardiac; Cholinergic receptor, muscarinic 2, isoform a; Cholinergic receptor, muscarinic 2a; CHRM 2; CHRM2; chrm2a; CM2; FLJ43243; HM 2; HM2; M2; M2 muscarinic receptor; MGC120006; MGC120007; Muscarinic acetylcholine receptor M2; Muscarinic M2 receptor. 交叉反应: Human, Mouse, Rat, Chicken, Dog, Pig, Cow 标记: Unconjugated 抗体来源: Rabbit 抗体类型: Polyclonal 免疫原: KLH conjugated synthetic peptide derived from human ChRM2 蛋白细胞定位: 细胞膜 纯化方法: affinity purified by Protein A 亚型: IgG 性状: Liquid 浓度: 1mg/ml 储存液: 0.01M TBS(pH7.4) with 1% BSA, 0.03% Proclin300 and 50% Glycerol. 保存条件: Shipped at 4℃. Store at -20 °C for one year. Avoid repeated freeze/thaw cycles. 背景资料: The muscarinic cholinergic receptors belong to a larger family of G protein-coupled receptors. The functional diversity of these receptors is defined by the binding of acetylcholine to these receptors and includes cellular responses such as adenylate cyclase inhibition, phosphoinositide degeneration, and potassium channel mediation. Muscarinic receptors influence many effects of acetylcholine in the central and peripheral nervous system. The muscarinic cholinergic receptor 2 is involved in mediation of bradycardia and a decrease in cardiac contractility. Multiple alternatively spliced transcript variants have been described for this gene. [provided by RefSeq, Jul 2008] |




一、准备好试剂与仪器:
磷酸盐缓冲盐水、荧光标记的抗体溶液、缓冲甘油、搪瓷桶三只、有盖搪瓷盒一只、荧光显微镜、玻片架、滤纸、37℃温箱等。
二、实验步骤
1.滴加0.01mol/L,pH7.4的PBS于待检标本片上,十分钟后弃去,使标本保持一定湿度。
2.滴加适当稀释的荧光标记的抗体溶液,使其完全覆盖标本,置于有盖搪瓷盒内,保温一定时间以三十分钟为参考。
3.取出玻片,置玻片架上,先用0.01mol/L,pH7.4的PBS冲洗后,再按顺序过0.01mol/L,pH7.4的PBS三缸浸泡,每缸三到五分钟,并不停地摇晃振荡。
4.取出玻片,用滤纸吸去多余水分,但不使标本干燥,加一滴缓冲甘油,以盖玻片覆盖。
5.立即用荧光显微镜观察。观察标本的特异性荧光强度。
抗体的生活习性:
(1)结合特异性抗原:抗体与其他免疫球蛋白分子区别,就在于抗体能与相应抗原发生特异性结合,在体内导致生理或病理效应;在体外产生各种直接或间接的可见的抗原抗体结合反应。抗体是靠其分子上的特殊的结合部位与抗原结合的。
(2)激活补体:抗体与相应抗原结合后,借助暴露的补体结合点去激活补体系统、激发补体的溶菌、溶细胞等免疫作用。
(3)结合细胞:不同类别的免疫球蛋白,可结合不同种的细胞,产生不同的疚,参与免疫应答。
(4)可通过胎盘及粘膜:免疫球蛋白G(IgG)能通过胎盘进入胎儿血流中,使胎儿形成自然被动免疫。免疫球蛋白A(IgA)可通过消化道及呼吸道粘膜,是粘膜局部抗感染免疫的主要因素。
(5)具有抗原性:抗体分子是一种蛋白质,也具有刺激机体产生免疫应答的性能。不同的免疫球蛋白分子,各具有不同的抗原性。
(6)抗体对理化因子的抵抗力与一般球蛋白相同:不耐热,60~70℃即被破坏。各种酶及能使蛋白质凝固变性的物质,均能破坏抗体的作用。抗体可被中性盐类沉淀。在上常可用硫酸铵或硫酸钠从免疫血清中沉淀出含有抗体的球蛋白,再经透析法将其纯化。
Anti-CSMD1/FITC 荧光素标记抑基因CSMD1抗体IgGMulti-class antibodies规格: 0.2ml
Anti-Phospho-Lamin A/C (Ser22) /FITC 荧光素标记磷酸化核纤层A/C抗体IgGMulti-class antibodies规格: 0.2ml
Rhesus antibody Rh CCDC107 卷曲螺旋结构域107抗体 规格 0.2ml
Gax(growth arrest-specific homeobox) 生长终止特异性同源盒基因抗原 0.5mg
H5N1 Matrix Protein 2 A型毒H5N1-M2抗体 1ml
Rhesus antibody Rh Slc4a7/Nbcn1 协同转运4-A7抗体 规格 0.2ml
Anti-Phospho-Lamin A/C (Ser22) /FITC 荧光素标记磷酸化核纤层A/C抗体IgGMulti-class antibodies规格: 0.2ml
Anti-phospho-IRS1(Ser612)/FITC 荧光素标记磷酸化胰岛素受体底物-1抗体IgGMulti-class antibodies规格: 0.2ml
Anti-Sema7A/CD108/FITC 荧光素标记轴突生长CD108抗体IgGMulti-class antibodies规格: 0.2ml
Rhesus antibody Rh Angiotensin II 管紧张素Ⅱ抗体 规格 0.2ml
Rabbit Anti-Monkey IgG/Cy5 Cy5标记的兔抗猴IgG 0.1ml
GARNL1 Tuberin样1抗体 0.2ml
Rhesus antibody Rh Rabbit Anti-horse IgM/Cy5 Cy5标记的兔抗马IgM 规格 0.1ml
Anti-Sema7A/CD108/FITC 荧光素标记轴突生长CD108抗体IgGMulti-class antibodies规格: 0.2ml
IMA(Human Ischemia Modified Albumin) ELISA Kit 人缺修饰白Multi-class antibodies规格: 48T
Anti-WIG-1 p53活化基因608单克隆抗体Multi-class antibodies规格: 0.1ml
Rhesus antibody Rh HSF1 热休克1抗体 规格 0.1ml
AAA(Human anti-albumin antibody) ELISA Kit 人抗白抗体 96T
POFUT1 O岩藻糖基转移酶1抗体 0.2ml
CLN3 神经蜡样质脂褐质沉积CLN3抗体 0.2ml
Anti-WIG-1 p53活化基因608单克隆抗体Multi-class antibodies规格: 0.1ml
14-3-3 protein 14-3-3 (多肽抗原) 0.5mg
GFI1B 自主生长1B抗体 0.2ml
Rhesus antibody Rh Bad 相关死亡促进Bad抗体 规格 0.1ml
Anti-HDAC5/FITC 荧光素标记组去乙酰化酶5抗体IgGMulti-class antibodies规格: 0.2ml
Rhesus antibody Rh Rabbit Anti-pig IgG/PE PE标记的兔抗猪IgG 规格 0.1ml
Anti-PEA3/FITC 荧光素标记多促活化抗体IgGMulti-class antibodies规格: 0.2ml
毒蕈碱型乙酰胆碱受体M2抗体BALP(Human bone alkaline phosphatase) ELISA Kit 人骨性磷suanmei规格: 48T
CTX(Human Cyclophosphamide) ELISA Kit 人环磷酰an规格: 48T
1,3-DPG(Human 1,3-Disphosphoglycerate, ELISA Kit 人1,3-二磷suan甘油suan规格: 48T
1,5-AG(Human 1,5-anhydroglucitol) ELISA Kit 人1,5-脱水葡萄糖chun/1,5-脱水山梨规格: 48T
Beta-OHB(Human Beta-Hydroxybutyric Acid) ELISA Kit 人β羟丁suan规格: 48T
实验原理 :
(1)特异性结合抗原:抗体本身不能直接溶解或杀伤带有特异抗原的靶细胞,通常需要补体或吞噬细胞等共同发挥效应以清除病原微生物或导致病理损伤。然而,抗体可通过与病毒或毒素的特异性结合,直接发挥中和病毒的作用。
(2)活补体:IgM、IgG1、IgG2和IgG3可通过经典途径激活补体,凝聚的IgA、IgG4和IgE可通过替代途径激活补体。
(3)结合细胞:不同类别的免疫球蛋白,可结合不同种的细胞,参与免疫应答。
(4)可通过胎盘及粘膜:免疫球蛋白G(IgG)能通过胎盘进入胎儿血流中,使胎儿形成自然被动免疫。免疫球蛋白A(IgA)可通过消化道及呼吸道粘膜,是粘膜局部抗感染免疫的主要因素。
(5)具有抗原性:抗体分子是一种蛋白质,也具有刺机体产生免疫应答的性能。不同的免疫球蛋白分子,各具有不同的抗原性。
(6)抗体对理化因子的抵抗力与一般球蛋白相同:不耐热,60~70℃即被破坏。各种酶及能使蛋白质凝固变性的物质,均能破坏抗体的作用。抗体可被中性盐类沉淀。在上常可用硫酸铵或硫酸钠从免疫血清中沉淀出含有抗体的球蛋白,再经透析法将其纯化。
风险提示:丁香通仅作为第三方平台,为商家信息发布提供平台空间。用户咨询产品时请注意保护个人信息及财产安全,合理判断,谨慎选购商品,商家和用户对交易行为负责。对于医疗器械类产品,请先查证核实企业经营资质和医疗器械产品注册证情况。
技术资料暂无技术资料 索取技术资料
毒蕈碱型乙酰胆碱受体M2抗体
¥1080 - 3200









