万千商家帮你免费找货
0 人在求购买到急需产品
- 详细信息
- 技术资料
- 供应商:
一研
- 库存:
58
- 靶点:
说明书
- 级别:
说明书
- 目录编号:
说明书
- 克隆性:
多克隆
- 抗原来源:
Rabbit
- 保质期:
说明书
- 抗体英文名:
C17orf75
- 抗体名:
17号染色体开放阅读框75抗体
- 标记物:
Unconjugated
- 宿主:
说明书
- 适应物种:
说明书
- 免疫原:
KLH conjugated synthetic peptide derived from human C17orf75
- 亚型:
LgG
- 形态:
液体
- 应用范围:
说明书
- 保存条件:
Shipped at 4℃. Store at -20 °C for one year. Avoid repeated freeze/thaw cycles.
- 浓度:
1mg/ml
- 规格:
100ul




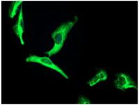
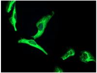
| 产品名称:17号染色体开放阅读框75抗体 英文名称:C17orf75 英文别名:Njmu R1; Protein kinase Njmu R1; Protein Njmu R1; NJMU_HUMAN. 交叉反应: Human, Mouse, Rat, Dog, Horse, Sheep 标记: Unconjugated 抗体来源: Rabbit 抗体类型: Polyclonal 免疫原: KLH conjugated synthetic peptide derived from human C17orf75 蛋白细胞定位: 细胞核,细胞浆 纯化方法: affinity purified by Protein A 亚型: IgG 性状: Liquid 浓度: 1mg/ml 储存液: 0.01M TBS(pH7.4) with 1% BSA, 0.03% Proclin300 and 50% Glycerol. 保存条件: Shipped at 4℃. Store at -20 °C for one year. Avoid repeated freeze/thaw cycles. 背景资料: C17orf75 is a 396 amino acid protein that is encoded by a gene mapping to human chromosome 17. Chromosome 17 makes up over 2.5% of the human genome with about 81 million bases encoding over 1,200 genes. Two key tumor suppressor genes are associated with chromosome 17, namely, p53 and BRCA1. Tumor suppressor p53 is necessary for maintenance of cellular genetic integrity by moderating cell fate through DNA repair versus cell death. Malfunction or loss of p53 expression is associated with malignant cell growth and Li-Fraumeni syndrome. Like p53, BRCA1 is directly involved in DNA repair, specifically it is recognized as a genetic determinant of early onset breast cancer and predisposition to cancers of the ovary, colon, prostate gland and fallopian tubes. Chromosome 17 is also linked to neurofibromatosis, a condition characterized by neural and epidermal lesions, and dysregulated Schwann cell growth. Alexander disease, Birt-Hogg-Dube syndrome and Canavan disease are also associated with chromosome 17. |
| 产品名称 | 浓度 | 型号 |
| 17号染色体开放阅读框75抗体 | 1mg/ml | EY-01K0851 |
(1)结合特异性抗原:抗体与其他免疫球蛋白分子区别,就在于抗体能与相应抗原发生特异性结合,在体内导致生理或病理效应;在体外产生各种直接或间接的可见的抗原抗体结合反应。抗体是靠其分子上的特殊的结合部位与抗原结合的。
(2)激活补体:抗体与相应抗原结合后,借助暴露的补体结合点去激活补体系统、激发补体的溶菌、溶细胞等免疫作用。
(3)结合细胞:不同类别的免疫球蛋白,可结合不同种的细胞,产生不同的疚,参与免疫应答。
(4)可通过胎盘及粘膜:免疫球蛋白G(IgG)能通过胎盘进入胎儿血流中,使胎儿形成自然被动免疫。免疫球蛋白A(IgA)可通过消化道及呼吸道粘膜,是粘膜局部抗感染免疫的主要因素。
(5)具有抗原性:抗体分子是一种蛋白质,也具有刺激机体产生免疫应答的性能。不同的免疫球蛋白分子,各具有不同的抗原性。
(6)抗体对理化因子的抵抗力与一般球蛋白相同:不耐热,60~70℃即被破坏。各种酶及能使蛋白质凝固变性的物质,均能破坏抗体的作用。抗体可被中性盐类沉淀。在上常可用硫酸铵或硫酸钠从免疫血清中沉淀出含有抗体的球蛋白,再经透析法将其纯化。
实验原理 :
(1)特异性结合抗原:抗体本身不能直接溶解或杀伤带有特异抗原的靶细胞,通常需要补体或吞噬细胞等共同发挥效应以清除病原微生物或导致病理损伤。然而,抗体可通过与病毒或毒素的特异性结合,直接发挥中和病毒的作用。
(2)活补体:IgM、IgG1、IgG2和IgG3可通过经典途径激活补体,凝聚的IgA、IgG4和IgE可通过替代途径激活补体。
(3)结合细胞:不同类别的免疫球蛋白,可结合不同种的细胞,参与免疫应答。
(4)可通过胎盘及粘膜:免疫球蛋白G(IgG)能通过胎盘进入胎儿血流中,使胎儿形成自然被动免疫。免疫球蛋白A(IgA)可通过消化道及呼吸道粘膜,是粘膜局部抗感染免疫的主要因素。
(5)具有抗原性:抗体分子是一种蛋白质,也具有刺机体产生免疫应答的性能。不同的免疫球蛋白分子,各具有不同的抗原性。
(6)抗体对理化因子的抵抗力与一般球蛋白相同:不耐热,60~70℃即被破坏。各种酶及能使蛋白质凝固变性的物质,均能破坏抗体的作用。抗体可被中性盐类沉淀。在上常可用硫酸铵或硫酸钠从免疫血清中沉淀出含有抗体的球蛋白,再经透析法将其纯化。
免疫荧光技术的实验步骤:
一、准备好试剂与仪器:
磷酸盐缓冲盐水、荧光标记的抗体溶液、缓冲甘油、搪瓷桶三只、有盖搪瓷盒一只、荧光显微镜、玻片架、滤纸、37℃温箱等。
二、实验步骤
1.滴加0.01mol/L,pH7.4的PBS于待检标本片上,十分钟后弃去,使标本保持一定湿度。
2.滴加适当稀释的荧光标记的抗体溶液,使其完全覆盖标本,置于有盖搪瓷盒内,保温一定时间以三十分钟为参考。
3.取出玻片,置玻片架上,先用0.01mol/L,pH7.4的PBS冲洗后,再按顺序过0.01mol/L,pH7.4的PBS三缸浸泡,每缸三到五分钟,并不停地摇晃振荡。
4.取出玻片,用滤纸吸去多余水分,但不使标本干燥,加一滴缓冲甘油,以盖玻片覆盖。
5.立即用荧光显微镜观察。观察标本的特异性荧光强度。
Anti-CD2AP/FITC 荧光素标记白分化抗原CD2AP抗体IgGMulti-class antibodies规格: 0.2ml
Anti-Phospho-Histone H3 (Thr11)/FITC 荧光素标记磷酸化组3抗体IgGMulti-class antibodies规格: 0.2ml
Rhesus antibody Rh CDH11/OB-Cadherin 钙粘附-11抗体 规格 0.1ml
S-100A1 (S100 calcium-binding protein A1) 钙结合S100A1抗原 0.5mg
IGSF3 免疫球超家族成员3抗体 0.2ml
Rhesus antibody Rh TFEB T淋巴转录调节TFEB抗体 规格 0.1ml
Anti-Phospho-Histone H3 (Thr11)/FITC 荧光素标记磷酸化组3抗体IgGMulti-class antibodies规格: 0.2ml
Ext-N(Human N-terminal extein) ELISA Kit 人N端外显肽Multi-class antibodies规格: 48T
Anti-Phospho-PLC gamma 1 (Tyr783) 磷酸化磷酯酶Cγ1抗体Multi-class antibodies规格: 0.1ml
Rhesus antibody Rh HHV8/ORF K14 人类疱毒8 ORF14抗体 规格 0.2ml
IP-10/CXCL10 ELISA Kit 大鼠干扰素诱导10 96T
PRX 轴周PRX抗体 0.1ml
C9orf66 9号染色体开放阅读框66抗体 0.2ml
Anti-Phospho-PLC gamma 1 (Tyr783) 磷酸化磷酯酶Cγ1抗体Multi-class antibodies规格: 0.1ml
Eotaxin 1/CCL11(Mouse Eotaxin 1) ELISA Kit 小鼠嗜酸粒趋化Multi-class antibodies规格: 48T
Anti-CAP2/FITC 荧光素标记环化酶相关CAP-2抗体IgGMulti-class antibodies规格: 0.2ml
Rhesus antibody Rh EMR1 表皮生长样激素受体1 规格 0.2ml
ANG- II (Rat angiotension II ) ELISA Kit 大鼠管紧张素Ⅱ 96T
phospho-MEK5(Ser137) 磷酸化原活化激酶激酶5抗体 0.1ml
ATG18 自噬相关18抗体 0.2ml
Anti-CAP2/FITC 荧光素标记环化酶相关CAP-2抗体IgGMulti-class antibodies规格: 0.2ml
HGF(hepatocyte growth factor) 肝生长抗原 0.5mg
Histone H4 组H4抗体 0.1ml
Rhesus antibody Rh CCDC47 卷曲螺旋结构域47抗体 规格 0.2ml
Anti-Collagen IV /FITC 荧光素标记抗IV型胶原抗体IgGMulti-class antibodies规格: 0.2ml
Rhesus antibody Rh SMS2/Sphingomyelin Synthase 2 鞘磷脂合成酶2抗体 规格 0.2ml
Anti-Ki-67/FITC 荧光素标记Ki-67 Antigen抗体IgGMulti-class antibodies规格: 0.2ml
17号染色体开放阅读框75抗体绵羊不均一核糖核蛋白U (HNRPU)酶联免疫试剂盒Anti-GORASP2 Antibodyβ淀粉样肽25-35/Aβ25-35/Amyloid β (25-35) (多肽)
绵羊线粒体乙脱氢酶(ALDM)酶联免疫试剂盒 Anti-GOLT1A Antibodyβ淀粉样肽 1-42 (C端多肽)
绵羊纤维胶凝蛋白1(FCN1)酶联免疫试剂盒 Anti-GORASP2 Antibody甲胎蛋白多肽
绵羊封闭蛋白1(CLDN1)酶联免疫试剂盒 Anti-GOSR1 Antibody人甲胎蛋白多肽
绵羊纤溶酶-抗纤溶酶复合物(PAP)酶联免疫试剂盒Anti-GP1BA Antibodyβ淀粉样肽1-40(结构改造)
绵羊色素P450氧化还原酶(CPR)酶联免疫试剂盒 Anti-GOSR2 Antibodyβ淀粉样肽29-42(野生型)
绵羊B瘤因子3(Bcl-3)酶联免疫试剂盒 Anti-GP1BA Antibody蛇巴曲酶
风险提示:丁香通仅作为第三方平台,为商家信息发布提供平台空间。用户咨询产品时请注意保护个人信息及财产安全,合理判断,谨慎选购商品,商家和用户对交易行为负责。对于医疗器械类产品,请先查证核实企业经营资质和医疗器械产品注册证情况。
技术资料暂无技术资料 索取技术资料
17号染色体开放阅读框75抗体
¥1080 - 3200









