相关产品推荐更多 >
万千商家帮你免费找货
0 人在求购买到急需产品
- 详细信息
- 技术资料
- 供应商:
一研
- 库存:
32
- 靶点:
说明书
- 级别:
说明书
- 目录编号:
说明书
- 克隆性:
多克隆
- 抗原来源:
Rabbit
- 保质期:
说明书
- 抗体英文名:
C2orf54
- 抗体名:
2号染色体开放阅读框54抗体
- 标记物:
Unconjugated
- 宿主:
说明书
- 适应物种:
说明书
- 免疫原:
KLH conjugated synthetic peptide derived from human C2orf54
- 亚型:
LgG
- 形态:
液体
- 应用范围:
说明书
- 保存条件:
Shipped at 4℃. Store at -20 °C for one year. Avoid repeated freeze/thaw cycles.
- 浓度:
1mg/ml
- 规格:
100ul
产品属性:
产品介绍:
一、准备好试剂与仪器:
磷酸盐缓冲盐水、荧光标记的抗体溶液、缓冲甘油、搪瓷桶三只、有盖搪瓷盒一只、荧光显微镜、玻片架、滤纸、37℃温箱等。
二、实验步骤
1.滴加0.01mol/L,pH7.4的PBS于待检标本片上,十分钟后弃去,使标本保持一定湿度。
2.滴加适当稀释的荧光标记的抗体溶液,使其完全覆盖标本,置于有盖搪瓷盒内,保温一定时间以三十分钟为参考。
3.取出玻片,置玻片架上,先用0.01mol/L,pH7.4的PBS冲洗后,再按顺序过0.01mol/L,pH7.4的PBS三缸浸泡,每缸三到五分钟,并不停地摇晃振荡。
4.取出玻片,用滤纸吸去多余水分,但不使标本干燥,加一滴缓冲甘油,以盖玻片覆盖。
5.立即用荧光显微镜观察。观察标本的特异性荧光强度。
抗体的生活习性:
(1)结合特异性抗原:抗体与其他免疫球蛋白分子区别,就在于抗体能与相应抗原发生特异性结合,在体内导致生理或病理效应;在体外产生各种直接或间接的可见的抗原抗体结合反应。抗体是靠其分子上的特殊的结合部位与抗原结合的。
(2)激活补体:抗体与相应抗原结合后,借助暴露的补体结合点去激活补体系统、激发补体的溶菌、溶细胞等免疫作用。
(3)结合细胞:不同类别的免疫球蛋白,可结合不同种的细胞,产生不同的疚,参与免疫应答。
(4)可通过胎盘及粘膜:免疫球蛋白G(IgG)能通过胎盘进入胎儿血流中,使胎儿形成自然被动免疫。免疫球蛋白A(IgA)可通过消化道及呼吸道粘膜,是粘膜局部抗感染免疫的主要因素。
(5)具有抗原性:抗体分子是一种蛋白质,也具有刺激机体产生免疫应答的性能。不同的免疫球蛋白分子,各具有不同的抗原性。
(6)抗体对理化因子的抵抗力与一般球蛋白相同:不耐热,60~70℃即被破坏。各种酶及能使蛋白质凝固变性的物质,均能破坏抗体的作用。抗体可被中性盐类沉淀。在上常可用硫酸铵或硫酸钠从免疫血清中沉淀出含有抗体的球蛋白,再经透析法将其纯化。
Anti-A/H1N1-M2 Human /Biotin 标记兔抗人A型人毒H1N1-M2抗体IgGMulti-class antibodies规格: 0.2ml
PACAP-27/38 腺苷酸环化酶激活肽-27/38(抗原)Multi-class antibodies规格: 0.5mg
CD90抗体 Anti-Thy-1/CD90 0.1ml
SPDYA 周期G2/M期快速诱导SPDYA抗体 0.2ml
ECE2 内皮素转化酶2抗体 0.1ml
Rhesus antibody Rh phospho-Kv2.1(Tyr128) 磷酸化钾通道DRK1抗体 规格 0.1ml
PACAP-27/38 腺苷酸环化酶激活肽-27/38(抗原)Multi-class antibodies规格: 0.5mg
Anti-phospho-P53 (Ser315)/FITC 荧光素标记磷酸化抑制基因P53抗体IgGMulti-class antibodies规格: 0.2ml
Rabbit Anti-goat IgM/Biotin 化兔抗羊IgMMulti-class antibodies规格: 0.3ml
兔抗小胸腺DNA 抗体 Anti-CT DNA 0.2ml
Rabbit Anti-mouse IgM/PE-Cy3 PE-Cy3标记的兔抗小鼠IgM 0.1ml
FCGBP Fcγ免疫球IgG结合抗体 0.2ml
Rhesus antibody Rh phospho-YES1(Tyr426) 磷酸化原基因激酶Yes1抗体 规格 0.1ml
Rabbit Anti-goat IgM/Biotin 化兔抗羊IgMMulti-class antibodies规格: 0.3ml
LFABP/FABP-1(Liver Fatty acid binding protein) 肝脏型脂肪酸结合抗原Multi-class antibodies规格: 0.5mg
Anti-Adenylate Kinase 1/ AK1 腺苷酸激酶-1抗体Multi-class antibodies规格: 0.2ml
Rhesus antibody Rh phospho-c-Abl(Tyr276) 磷酸化非受体激酶c-Abl抗体 规格 0.1ml
AP-Streptavidin专用稀释液 10ml pH 7.6,高背景或AP存在时推荐使用
VAX2 视神经视网膜相关VAX2抗体 0.2ml
phospho-DAXX (Ser671) 磷酸化Fas相关死亡结构域抗体 0.1ml
Anti-Adenylate Kinase 1/ AK1 腺苷酸激酶-1抗体Multi-class antibodies规格: 0.2ml
SCN4B 钠通道亚基β4抗体 0.2ml
Ephrin B3 酪酸激酶B3抗体 0.2ml
Trop-2抗体 Anti-Trop-2 0.1ml
Anti-TREM2/FITC 荧光素标记兔抗人、大、小鼠髓系触发受体2抗体IgGMulti-class antibodies规格: 0.2ml
Rhesus antibody Rh phospho-IRS1(Ser302) 磷酸化胰岛素受体底物-1抗体 规格 0.1ml
Secretin 分泌素(抗原)Multi-class antibodies规格: 0.5mg
2号染色体开放阅读框54抗体豚鼠纤维蛋白原(FBG)试剂盒Anti-MICB Antibody信号通路WNT10B抗体
豚鼠硫氧还蛋白结合蛋白2(TBP2)试剂盒Anti-MIF AntibodyEBV核蛋白2抗体
豚鼠钙联蛋白(CNX)试剂盒 Anti-MIF Antibody(0314)Wnt信号受体蛋白抗体
豚鼠多巴(DA)试剂盒 Anti-MIF Antibody富含脯同源蛋白1抗体
豚鼠硫酸软骨素(CS)试剂盒 Anti-MitoNEET/CISD1 Antibody原基因WIP1抗体
豚鼠鸟苷酸交换因子(GEF)试剂盒 Anti-MIP Antibody信号通路Wnt2B抗体
豚鼠趋化因子CCL4样蛋白1(CCL4L1)试剂盒Anti-MKP-1/DUSP1 AntibodyWEE1蛋白抗体
实验原理 :
(1)特异性结合抗原:抗体本身不能直接溶解或杀伤带有特异抗原的靶细胞,通常需要补体或吞噬细胞等共同发挥效应以清除病原微生物或导致病理损伤。然而,抗体可通过与病毒或毒素的特异性结合,直接发挥中和病毒的作用。
(2)活补体:IgM、IgG1、IgG2和IgG3可通过经典途径激活补体,凝聚的IgA、IgG4和IgE可通过替代途径激活补体。
(3)结合细胞:不同类别的免疫球蛋白,可结合不同种的细胞,参与免疫应答。
(4)可通过胎盘及粘膜:免疫球蛋白G(IgG)能通过胎盘进入胎儿血流中,使胎儿形成自然被动免疫。免疫球蛋白A(IgA)可通过消化道及呼吸道粘膜,是粘膜局部抗感染免疫的主要因素。
(5)具有抗原性:抗体分子是一种蛋白质,也具有刺机体产生免疫应答的性能。不同的免疫球蛋白分子,各具有不同的抗原性。
(6)抗体对理化因子的抵抗力与一般球蛋白相同:不耐热,60~70℃即被破坏。各种酶及能使蛋白质凝固变性的物质,均能破坏抗体的作用。抗体可被中性盐类沉淀。在上常可用硫酸铵或硫酸钠从免疫血清中沉淀出含有抗体的球蛋白,再经透析法将其纯化。
| 产品名称 | 浓度 | 型号 |
| 2号染色体开放阅读框54抗体 | 1mg/ml | EY-01K0402 |
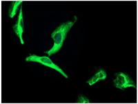
| 产品名称:2号染色体开放阅读框54抗体 英文名称:C2orf54 英文别名: C2orf54; CB054_HUMAN; Chromosome 2 open reading frame 54; Uncharacterized protein C2orf54. 交叉反应: Human, Mouse, Rat, Horse 标记: Unconjugated 抗体来源: Rabbit 抗体类型: Polyclonal 免疫原: KLH conjugated synthetic peptide derived from human C2orf54 蛋白细胞定位: 细胞核,细胞浆 纯化方法: affinity purified by Protein A 亚型: IgG 性状: Liquid 浓度: 1mg/ml 储存液: 0.01M TBS(pH7.4) with 1% BSA, 0.03% Proclin300 and 50% Glycerol. 保存条件: Shipped at 4℃. Store at -20 °C for one year. Avoid repeated freeze/thaw cycles. |




一、准备好试剂与仪器:
磷酸盐缓冲盐水、荧光标记的抗体溶液、缓冲甘油、搪瓷桶三只、有盖搪瓷盒一只、荧光显微镜、玻片架、滤纸、37℃温箱等。
二、实验步骤
1.滴加0.01mol/L,pH7.4的PBS于待检标本片上,十分钟后弃去,使标本保持一定湿度。
2.滴加适当稀释的荧光标记的抗体溶液,使其完全覆盖标本,置于有盖搪瓷盒内,保温一定时间以三十分钟为参考。
3.取出玻片,置玻片架上,先用0.01mol/L,pH7.4的PBS冲洗后,再按顺序过0.01mol/L,pH7.4的PBS三缸浸泡,每缸三到五分钟,并不停地摇晃振荡。
4.取出玻片,用滤纸吸去多余水分,但不使标本干燥,加一滴缓冲甘油,以盖玻片覆盖。
5.立即用荧光显微镜观察。观察标本的特异性荧光强度。
抗体的生活习性:
(1)结合特异性抗原:抗体与其他免疫球蛋白分子区别,就在于抗体能与相应抗原发生特异性结合,在体内导致生理或病理效应;在体外产生各种直接或间接的可见的抗原抗体结合反应。抗体是靠其分子上的特殊的结合部位与抗原结合的。
(2)激活补体:抗体与相应抗原结合后,借助暴露的补体结合点去激活补体系统、激发补体的溶菌、溶细胞等免疫作用。
(3)结合细胞:不同类别的免疫球蛋白,可结合不同种的细胞,产生不同的疚,参与免疫应答。
(4)可通过胎盘及粘膜:免疫球蛋白G(IgG)能通过胎盘进入胎儿血流中,使胎儿形成自然被动免疫。免疫球蛋白A(IgA)可通过消化道及呼吸道粘膜,是粘膜局部抗感染免疫的主要因素。
(5)具有抗原性:抗体分子是一种蛋白质,也具有刺激机体产生免疫应答的性能。不同的免疫球蛋白分子,各具有不同的抗原性。
(6)抗体对理化因子的抵抗力与一般球蛋白相同:不耐热,60~70℃即被破坏。各种酶及能使蛋白质凝固变性的物质,均能破坏抗体的作用。抗体可被中性盐类沉淀。在上常可用硫酸铵或硫酸钠从免疫血清中沉淀出含有抗体的球蛋白,再经透析法将其纯化。
Anti-A/H1N1-M2 Human /Biotin 标记兔抗人A型人毒H1N1-M2抗体IgGMulti-class antibodies规格: 0.2ml
PACAP-27/38 腺苷酸环化酶激活肽-27/38(抗原)Multi-class antibodies规格: 0.5mg
CD90抗体 Anti-Thy-1/CD90 0.1ml
SPDYA 周期G2/M期快速诱导SPDYA抗体 0.2ml
ECE2 内皮素转化酶2抗体 0.1ml
Rhesus antibody Rh phospho-Kv2.1(Tyr128) 磷酸化钾通道DRK1抗体 规格 0.1ml
PACAP-27/38 腺苷酸环化酶激活肽-27/38(抗原)Multi-class antibodies规格: 0.5mg
Anti-phospho-P53 (Ser315)/FITC 荧光素标记磷酸化抑制基因P53抗体IgGMulti-class antibodies规格: 0.2ml
Rabbit Anti-goat IgM/Biotin 化兔抗羊IgMMulti-class antibodies规格: 0.3ml
兔抗小胸腺DNA 抗体 Anti-CT DNA 0.2ml
Rabbit Anti-mouse IgM/PE-Cy3 PE-Cy3标记的兔抗小鼠IgM 0.1ml
FCGBP Fcγ免疫球IgG结合抗体 0.2ml
Rhesus antibody Rh phospho-YES1(Tyr426) 磷酸化原基因激酶Yes1抗体 规格 0.1ml
Rabbit Anti-goat IgM/Biotin 化兔抗羊IgMMulti-class antibodies规格: 0.3ml
LFABP/FABP-1(Liver Fatty acid binding protein) 肝脏型脂肪酸结合抗原Multi-class antibodies规格: 0.5mg
Anti-Adenylate Kinase 1/ AK1 腺苷酸激酶-1抗体Multi-class antibodies规格: 0.2ml
Rhesus antibody Rh phospho-c-Abl(Tyr276) 磷酸化非受体激酶c-Abl抗体 规格 0.1ml
AP-Streptavidin专用稀释液 10ml pH 7.6,高背景或AP存在时推荐使用
VAX2 视神经视网膜相关VAX2抗体 0.2ml
phospho-DAXX (Ser671) 磷酸化Fas相关死亡结构域抗体 0.1ml
Anti-Adenylate Kinase 1/ AK1 腺苷酸激酶-1抗体Multi-class antibodies规格: 0.2ml
SCN4B 钠通道亚基β4抗体 0.2ml
Ephrin B3 酪酸激酶B3抗体 0.2ml
Trop-2抗体 Anti-Trop-2 0.1ml
Anti-TREM2/FITC 荧光素标记兔抗人、大、小鼠髓系触发受体2抗体IgGMulti-class antibodies规格: 0.2ml
Rhesus antibody Rh phospho-IRS1(Ser302) 磷酸化胰岛素受体底物-1抗体 规格 0.1ml
Secretin 分泌素(抗原)Multi-class antibodies规格: 0.5mg
2号染色体开放阅读框54抗体豚鼠纤维蛋白原(FBG)试剂盒Anti-MICB Antibody信号通路WNT10B抗体
豚鼠硫氧还蛋白结合蛋白2(TBP2)试剂盒Anti-MIF AntibodyEBV核蛋白2抗体
豚鼠钙联蛋白(CNX)试剂盒 Anti-MIF Antibody(0314)Wnt信号受体蛋白抗体
豚鼠多巴(DA)试剂盒 Anti-MIF Antibody富含脯同源蛋白1抗体
豚鼠硫酸软骨素(CS)试剂盒 Anti-MitoNEET/CISD1 Antibody原基因WIP1抗体
豚鼠鸟苷酸交换因子(GEF)试剂盒 Anti-MIP Antibody信号通路Wnt2B抗体
豚鼠趋化因子CCL4样蛋白1(CCL4L1)试剂盒Anti-MKP-1/DUSP1 AntibodyWEE1蛋白抗体
实验原理 :
(1)特异性结合抗原:抗体本身不能直接溶解或杀伤带有特异抗原的靶细胞,通常需要补体或吞噬细胞等共同发挥效应以清除病原微生物或导致病理损伤。然而,抗体可通过与病毒或毒素的特异性结合,直接发挥中和病毒的作用。
(2)活补体:IgM、IgG1、IgG2和IgG3可通过经典途径激活补体,凝聚的IgA、IgG4和IgE可通过替代途径激活补体。
(3)结合细胞:不同类别的免疫球蛋白,可结合不同种的细胞,参与免疫应答。
(4)可通过胎盘及粘膜:免疫球蛋白G(IgG)能通过胎盘进入胎儿血流中,使胎儿形成自然被动免疫。免疫球蛋白A(IgA)可通过消化道及呼吸道粘膜,是粘膜局部抗感染免疫的主要因素。
(5)具有抗原性:抗体分子是一种蛋白质,也具有刺机体产生免疫应答的性能。不同的免疫球蛋白分子,各具有不同的抗原性。
(6)抗体对理化因子的抵抗力与一般球蛋白相同:不耐热,60~70℃即被破坏。各种酶及能使蛋白质凝固变性的物质,均能破坏抗体的作用。抗体可被中性盐类沉淀。在上常可用硫酸铵或硫酸钠从免疫血清中沉淀出含有抗体的球蛋白,再经透析法将其纯化。
风险提示:丁香通仅作为第三方平台,为商家信息发布提供平台空间。用户咨询产品时请注意保护个人信息及财产安全,合理判断,谨慎选购商品,商家和用户对交易行为负责。对于医疗器械类产品,请先查证核实企业经营资质和医疗器械产品注册证情况。
技术资料暂无技术资料 索取技术资料
2号染色体开放阅读框54抗体
¥1080 - 3200









