万千商家帮你免费找货
0 人在求购买到急需产品
- 详细信息
- 技术资料
- 供应商:
一研
- 库存:
52
- 靶点:
说明书
- 级别:
说明书
- 目录编号:
说明书
- 克隆性:
多克隆
- 抗原来源:
Rabbit
- 保质期:
说明书
- 抗体英文名:
Calpain 2
- 抗体名:
钙激活的中性蛋白酶2抗体
- 标记物:
Unconjugated
- 宿主:
说明书
- 适应物种:
说明书
- 免疫原:
KLH conjugated synthetic peptide derived from mouse Calpain 2
- 亚型:
LgG
- 形态:
液体
- 应用范围:
说明书
- 保存条件:
Shipped at 4℃. Store at -20 °C for one year. Avoid repeated freeze/thaw cycles.
- 浓度:
1mg/ml
- 规格:
100ul








产品属性:
| 产品名称 | 钙激活的中性蛋白酶2抗体 |
| 浓度 | 1mg/ml |
| 型号 | EY-01K0314 |
英文名称:Calpain 2
英文别名: Calcium activated neutral proteinase 2; Calcium activated neutral proteinase; CALP80; Calpain 2 (m/II) large subunit; Calpain 2 catalytic subunit; Calpain 2 large catalytic subunit; Calpain 2 large subunit; Calpain large polypeptide L2; Calpain M type; Calcium-activated neutral proteinase 2; CALP80; Calpain 2, large [catalytic] subunit; Calpain M-type; Calpain-2 catalytic subunit; Calpain-2 large subunit; CAN2_MOUSE; M-calpain; Millimolar-calpain; Calpain2; CANP 2; CANP L2; CANP2; CANPL 2; CANPL2; CANPml; Capa2; CAPN 2; CAPN2; FLJ39928; M calpain; M calpin; M type; mCANP; Millimolar calpain.
交叉反应: Human, Mouse, Rat, Dog, Cow, Sheep
标记: Unconjugated
抗体来源: Rabbit
抗体类型: Polyclonal
免疫原: KLH conjugated synthetic peptide derived from mouse Calpain 2
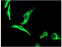
蛋白细胞定位: 细胞浆,细胞膜
纯化方法: affinity purified by Protein A
亚型: IgG
性状: Liquid
浓度: 1mg/ml
储存液: 0.01M TBS(pH7.4) with 1% BSA, 0.03% Proclin300 and 50% Glycerol.
保存条件: Shipped at 4℃. Store at -20 °C for one year. Avoid repeated freeze/thaw cycles.
抗体分子标记技术:
(一)原理
当应用化学氧化法时(NaI)遇强氧化剂,离子被氧化为分子,所生成的自由分子可与某些基团进行卤化反应。蛋白质分子可进行卤化反应的基团主要为酪氨酸残基,某些组氨酸残基也可能进行化。在应用胺T( Chloramine T)法的实验中,所用的氧化剂(1,3,4,6- tetrachloro-3a,6adipheny l-glucoluril)强挥发性的有机溶剂中。该溶剂加入试管后,先让其挥发(即让氧化剂将试管包被),然后把Na125I和蛋白质液加入包被好的试管中,反应完成即将混合液移入他管终止反应。
(二)准备
1.试剂
经亲和层析纯化的多克隆抗体或单克隆抗体;0.5mol/L磷酸钠缓冲液,pH7.5;无载体的Na125I3.7GBq/ml(100mCi/ml)的NaOH液;100g/L三醋酸;70%乙醇;新鲜制备的含2mg/m1络胺T的0.5mol/L磷酸钠缓冲液(pH7.5);胺T反应终止缓冲液;
2.仪器
凝胶过滤柱;¥-记数器;玻璃纤维滤。
(三)操作要点
1.用胺T法进行化,也可在大约pH7.0的缓冲液中进行;
2.如果氧化反应损伤蛋白质,可将抗体与异硫酸荧光素(FITC)偶联)胺T量减少到0.02mg/m,并将偏重亚硫酸液的浓度降到0.024mg/ml;
3. Iodogen-包被的试管可在干燥器中,于室温下保存多年;
4.1251标记的抗体,在制备后六周内均可使用(1251的半衰期为59.6天);
5.要注意保证所用的Na1251是新鲜的,陈旧制剂的比活性低;
6.酪氨酸的碘化偶尔会对抗原的抗体结合位点有干扰,因此降低其结合能力,但这种情况很少见。
抗体制备过程:
1.材料与试剂
a.提取的动物 Ig
b.弗氏完全佐剂和弗氏不完全佐剂
c.青霉素和链霉素
d.实验动物 兔
e.其它材料及试剂
2、选择实验活体。
3、进行动物免疫实验。
4、试取血样进行测试,查看免疫效果。
5、如果免疫成功,杀死实验活体,采集全部血清。
6、纯化出抗体。
7、鉴定抗体。胎牛血清(无菌采制)
AMPK ELISA Kit 大鼠磷酸化腺苷酸活化激酶Multi-class antibodies规格: 48T
Anti-TRH 促甲状腺素释放激素抗体Multi-class antibodies规格: 0.2ml
Rhesus antibody Rh Goat Anti-Chicken IgG/Cy5 Cy5标记的羊抗鸡IgG 规格 0.1ml
Dsg-1(Human desmogleins 1) ELISA Kit 人桥粒芯糖-1 96T
NSMase2 中性鞘磷脂2抗体 0.2ml
BCCIP 易感基因2和p21抑制抗体 0.2ml
Anti-TRH 促甲状腺素释放激素抗体Multi-class antibodies规格: 0.2ml
OH-PYD(Human Hydroxy-Pyridinium crosslinks) ELISA Kit 人羟基胶原吡啶交联Multi-class antibodies规格: 48T
Anti-MCP-2/CCL8 单核趋化2抗体(人)Multi-class antibodies规格: 0.2ml
Rhesus antibody Rh kappa Opioid receptor kappa型受体抗体 规格 0.1ml
Human Lebtospira IgM ELISA Kit 人钩端螺旋体IgM 96T
PKC theta 激酶C theta抗体 0.1ml
Claudin 20 紧密连接20抗体 0.1ml
Anti-MCP-2/CCL8 单核趋化2抗体(人)Multi-class antibodies规格: 0.2ml
Mouse anti-zona pellucida antibody,aZP ELISA Kit 小鼠抗透明带抗体Multi-class antibodies规格: 48T
Anti-BRCA1(human)/FITC 荧光素标记易感基因1抗体(人)IgGMulti-class antibodies规格: 0.2ml
Rhesus antibody Rh EphA6/Eph receptor A6 激酶受体A6抗体 规格 0.2ml
PROGR ELISA kit 大鼠孕酮受体 96T
MLL5 髓系/淋巴混合谱系白5抗体 0.2ml
ANKRD9 锚重复结构域9抗体 0.2ml
Anti-BRCA1(human)/FITC 荧光素标记易感基因1抗体(人)IgGMulti-class antibodies规格: 0.2ml
HL(Mouse hepatic lipase) ELISA Kit 小鼠肝脂酶 96T
MTGR1 髓易位基因相关1抗体 0.1ml
Rhesus antibody Rh FBXL21/FBL3B FBXL21抗体 规格 0.2ml
L-Selectin/CD62L ELISA Kit 大鼠L选择素Multi-class antibodies规格: 48T
A2LD1 A2LD1抗体 0.2ml
Anti-AK-1/FITC 荧光素标记腺苷酸激酶-1抗体IgGMulti-class antibodies规格: 0.2ml
钙激活的中性蛋白酶2抗体兔激活素A(ACVA)试剂盒Anti-ICAM1 Antibody(0054)TIP30蛋白抗体
兔黏着斑激酶(FAK)试剂盒 Anti-ICOS Antibody酪蛋白硫酸转移酶1抗体
兔羧肽酶E(CPE)试剂盒Anti-ICAM2 AntibodyToll样受体5抗体
兔巨噬激蛋白(MSP)试剂盒Anti-ICOS Antibody跨膜和泛素样结构域蛋白1抗体
兔尿微量白蛋白(MAU)试剂盒Anti-ICOS Antibody磷酸化翻译控制蛋白抗体
兔基质金属蛋白酶抑制因子4(TIMP-4)试剂盒Anti-ICOS Antibody磷酸化调节染色体组装激酶1抗体
兔中性粒激活蛋白3(NAP3)试剂盒Anti-ID2 Antibody抑素抗体
风险提示:丁香通仅作为第三方平台,为商家信息发布提供平台空间。用户咨询产品时请注意保护个人信息及财产安全,合理判断,谨慎选购商品,商家和用户对交易行为负责。对于医疗器械类产品,请先查证核实企业经营资质和医疗器械产品注册证情况。
技术资料暂无技术资料 索取技术资料
钙激活的中性蛋白酶2抗体
¥1080 - 3200









