相关产品推荐更多 >
万千商家帮你免费找货
0 人在求购买到急需产品
- 详细信息
- 文献和实验
- 技术资料
- 保存条件:
Store at -20°C. Supplied in PBS, 50% glycerol, 0.5% BSA and 0.02% sodium azide, pH 7.3. Stable for 12 months from date of receipt.
- 适应物种:
Human, Mouse, Rat
- 保质期:
12个月
- 库存:
现货
- 宿主:
Mouse
- 应用范围:
WB,ICC/IF
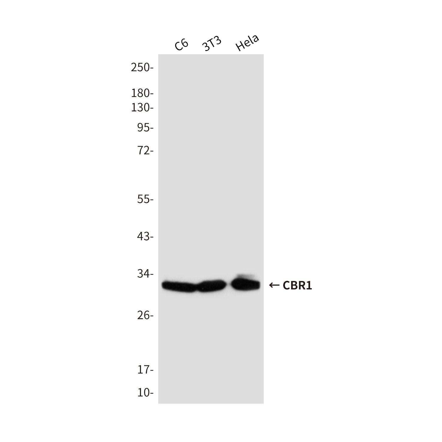
- 靶点:
CBR1
- 规格:
50μL/100μL
| 规格: | 50μL | 产品价格: | ¥1400.0 |
|---|---|---|---|
| 规格: | 100μL | 产品价格: | ¥2400.0 |
风险提示:丁香通仅作为第三方平台,为商家信息发布提供平台空间。用户咨询产品时请注意保护个人信息及财产安全,合理判断,谨慎选购商品,商家和用户对交易行为负责。对于医疗器械类产品,请先查证核实企业经营资质和医疗器械产品注册证情况。
文献和实验(adjust pH to 7.8 with Binding buffer; red color) to the Protein A column.Mouse antibodies of the IgG1 subclass do not have a high affinity for protein A. Purification on protein A beads using standard conditions will yield approximately 1/10
Purification of mAb (IgG) by Chang-Duk Jun, 03/14/2000 Purpose Materials Antibody 7E3 , 2L sup grown in flasks, frozen and thawed overnight. BioRad Affi-Gel Protein A MAPS II Buffers
T-Cell Activation Using mAb to CD3
One of the most common ways to assess T cell activation is to measure T cell proliferation upon in vitro stimulation of T cells via antigen or agonistic antibodies to TCR. This protocol is written as a starting point for examining in vitro proliferation of mouse
技术资料暂无技术资料 索取技术资料








