相关产品推荐更多 >
万千商家帮你免费找货
0 人在求购买到急需产品
- 详细信息
- 文献和实验
- 技术资料
- 抗体名:
5-HT抗体
- 抗体英文名:
Serotonin, 5-hydroxytryptamine, 3-(2-Aminoethyl)-5-hydroxyindole hydrochloride, 5 hydroxy tryptophan, 5 Hydroxytryptophan, 5HTP, 5-HT, 5-Hydroxytryptamine hydrochloride. , ,5-羟色胺
- 靶点:
-
- 浓度:
1mg/ml
- 应用范围:
ELISA=1:500-1000 IHC-P=1:100-500 IHC-F=1:100-500 IF=1:100-500 (石蜡切片需做抗原修复)
- 宿主:
Rabbit
- 适应物种:
-
- 保质期:
Store at -20 °C for one year. Avoid repeated freeze/thaw cycles.
- 抗原来源:
-
- 目录编号:
-
- 级别:
-
- 库存:
现货
- 供应商:
爱必信(上海)生物科技有限公司
- 标记物:
-
- 克隆性:
-
- 保存条件:
Store at -20 °C for one year. Avoid repeated freeze/thaw cycles.
- 形态:
液态
- 亚型:
-
- 免疫原:
Rabbit
- 规格:
100ul
| 别名 | 5-HT抗体;Serotonin, 5-hydroxytryptamine, 3-(2-Aminoethyl)-5-hydroxyindole hydrochloride, 5 hydroxy tryptophan, 5 Hydroxytryptophan, 5HTP, 5-HT, 5-Hydroxytryptamine hydrochloride. , ,5-羟色胺 |
| 宿主 | Rabbit |
| 特异性 | 5-HT |
| 反应种属 | Rat; |
| 应用 | ELISA=1:500-1000 IHC-P=1:100-500 IHC-F=1:100-500 IF=1:100-500 (石蜡切片需做抗原修复) |
| 分子量 | Predicted molecular weight: 0.21268kDa |
| 免疫原 | KLH conjugated to 5-HT: |
| 浓度 | 1mg/ml |
| 纯化方法 | affinity purified by Protein A |
| 类型 | Polyclonal Antibody |
| 同种型 | IgG |
| 储存/保存方法 | Store at -20 °C for one year. Avoid repeated freeze/thaw cycles. |
| 存储溶液 | 0.01M TBS(pH7.4) with 1% BSA, 0.03% Proclin300 and 50% Glycerol. |
| 研究领域 | 肿瘤 细胞生物 免疫学 神经生物学 药物及化合物 |
| 背景说明 | Serotonin (pronounced) (5-hydroxytryptamine, or 5-HT) is a monoamine neurotransmitter synthesized in serotonergic neurons in the central nervous system (CNS) and enterochromaffin cells in the gastrointestinal tract of animals including humans. Serotonin is also found in many mushrooms and plants, including fruits and vegetables. |
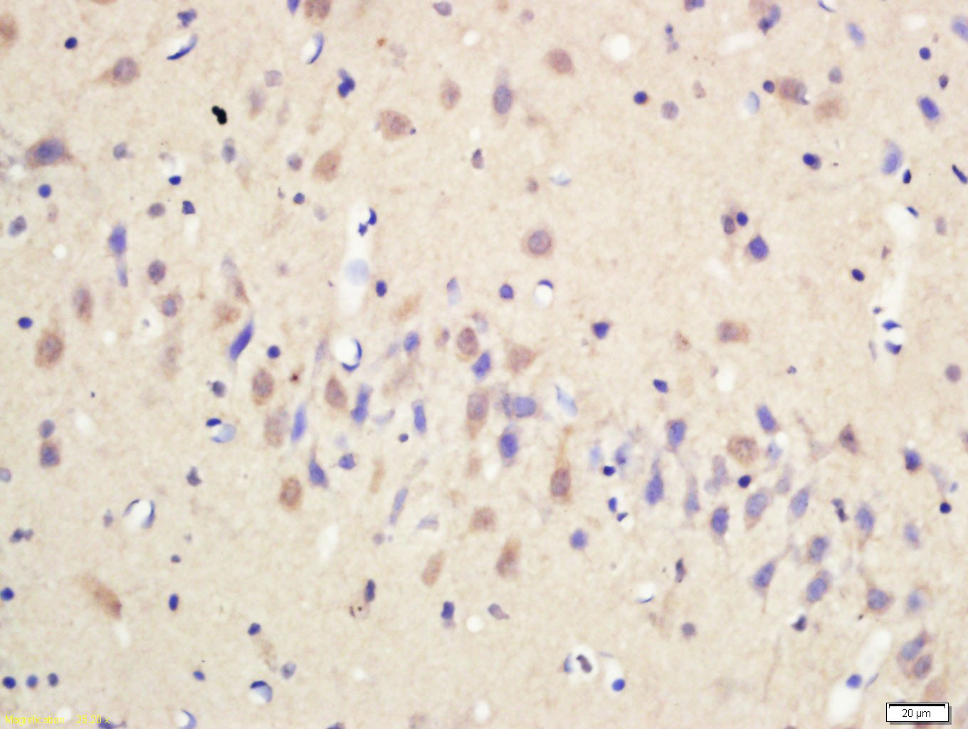
Incubation: Anti-5-HT Polyclonal Antibody, Unconjugated secondary primary antibody 1:200, overnight at 4°C, followed by conjugation to the secondary antibody and DAB staining
风险提示:丁香通仅作为第三方平台,为商家信息发布提供平台空间。用户咨询产品时请注意保护个人信息及财产安全,合理判断,谨慎选购商品,商家和用户对交易行为负责。对于医疗器械类产品,请先查证核实企业经营资质和医疗器械产品注册证情况。
文献和实验- Shaoyao-Gancao Decoction Relieves Visceral Hyperalgesia in TNBS-Induced Postinflammatory Irritable Bowel Syndrome via Inactivating Transient Receptor Potential Vanilloid Type 1 and Reducing Serotonin SynthesisYun-Yun Shao, Yi-Ting Guo, Jian-ping Gao, Jun-Jin Liu , Zhuang-Peng Chang, Xiao-Juan Feng, Ding Xu, Gui-Feng Deng, Rui-Gang Hou
Evid Based Complement Alternat Med. 2020 Oct 15 .
影响因子: 2.064
Immunofluorescence: Rabbit Anti-Murine RELMα
for 25 minutes. 3. Incubate the tissue section with blocking buffer for 20 minutes. 4. Incubate the tissue section overnight at 4?C with Rabbit Anti-Murine RELMα at 4.0 ng/mL in 1X PBS with 0.01% Triton-X and 0.5% BSA. Wash the slide
小鼠5羟色胺(5-HT) 酶联免疫 分析(ELISA) 试剂 盒使用说明书 本试剂仅供研究使用 目的:本试剂盒用于测定小鼠血清,血浆及相关液体样本中 5羟色胺(5-HT)的 含量。 实验原理 : 本试剂盒应用双抗体夹心法测定 标本 中 小鼠 5羟色胺 (5-HT) 水平。用纯化的 小鼠 5羟色胺 (5-HT) 抗体包被微孔板,制成固相抗体,往包被单抗的微孔中依次加入 5羟色胺 (5-HT) , 再与HRP 标记
抗核抗体(anti-nucleic antibody,ANA)检测
抗核抗体(anti-nucleic antibody,ANA)是以真核细胞的核成分为靶抗原的自身抗体的总称。细胞核内含有许多不同成分如核蛋白、核糖核蛋白(ribonucleo protein,RNP)、脱氧核糖核酸(DNA)等。 在某些因素,如细菌、病毒、药物等作用下,可改变细胞核某些成分的性质,激发机体免疫系统产生许多抗不同核成分的抗体。
技术资料暂无技术资料 索取技术资料








