万千商家帮你免费找货
0 人在求购买到急需产品
- 详细信息
- 文献和实验
- 技术资料
- 提供商:
江西中洪博元生物技术有限公司
- 服务名称:
江西中洪博元生物技术有限公司
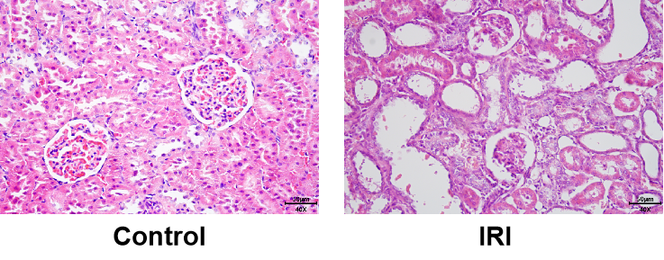
应用方向:泌尿系统相关课题。
关键词:肾缺血再灌注、IRI、Renal ischemia reperfusion injury
实验动物:大鼠品系:SD、Wistar;小鼠品系:C57BL/6、Balb/c;周龄:6-8周;性别不限。
造模方法:暴露双肾及肾蒂,游离双肾蒂,以血管夹钳夹双侧肾蒂,阻断 45min后松开左侧血管夹使双侧肾脏重新获得灌注。
图1 造模示意图
参考文献:Nezamoleslami Sadaf, et al. Glatiramer acetate attenuates renal ischemia reperfusion injury in rat model.[J] .Exp Mol Pathol, 2020, 112: 104329.(IF=2.28)
其他检测:如血液肾功能生化仪检测。
风险提示:丁香通仅作为第三方平台,为商家信息发布提供平台空间。用户咨询产品时请注意保护个人信息及财产安全,合理判断,谨慎选购商品,商家和用户对交易行为负责。对于医疗器械类产品,请先查证核实企业经营资质和医疗器械产品注册证情况。
文献和实验: experimental study.」的科研论文,IF = 12.5。 研究背景: 肾脏移植(Kidney transplantation)是治疗终末期肾病的最佳方法,但供体肾脏短缺的问题一直未解决。供体肾脏在移植过程中不可避免地会经历缺血和再灌注损伤,而边缘供体肾脏更容易受损且自我修复能力较差,导致移植后肾脏相关并发症的发生率较高。细胞衰老(Cellular senescence)是细胞在受到刺激后介于正常细胞和死亡细胞之间的一种状态,与组织损伤后的恶化和再生能力降低有关。在肾缺血再灌注
心肌缺血再灌注模型: 心肌缺血是指心脏血液灌注减少,导致心脏供氧减少,心肌能量代谢不正常,不能支持心脏正常工作的一种病理状态。冠心病是临床常见的缺血性心脏病,是指冠状动脉发生粥样硬化引起管腔狭窄或闭塞,导致心肌缺血缺氧或坏死而引起的心脏病,临床以血运重建治疗为主。然而,目前大量研究结果显示,缺血心肌组织恢复血流供应后,心肌受损程度仍可能进一步加重,对心肌造成二次损害,缺血再灌注(I/R)损伤心肌可占全部梗死心肌面积的50%。1960年Jennings等首次提出
急性肾损伤(acute kidney injury,AKI)是临床上较为常见的急危重病症之一,常见于大手术后、创(烧)伤、危重病等患者中,可导致患者电解质紊乱、酸中毒及容量负荷过重,并最终可发展成为尿毒症。肾缺血再灌注(renal ischemiareperfusion,RIR)损伤是由各种原因导致的肾脏灌注不足所致,伴随着一系列连贯的细胞事件发生,包括活性氧 (ROS) 释放、凋亡、坏死、炎症细胞的浸润和活性介质的释放,从而导致组织损伤,常见于各种类型的休克、急性肾动脉阻断或肾脏移植等临床
技术资料暂无技术资料 索取技术资料










