万千商家帮你免费找货
0 人在求购买到急需产品
- 详细信息
- 文献和实验
- 技术资料
- 形态:
液体
- 保存条件:
冷冻(-20℃)避光
- 克隆性:
多克隆
- 保质期:
一年
- 抗原来源:
HK1/HK2
- 库存:
200
- 供应商:
上海酶联生物科技有限公司
- 宿主:
Rabbit
- 应用范围:
仅供科研使用
- 抗体英文名:
Anti-HK1/HK2rabbitpolyclonalantibody
- 抗体名:
兔抗HK1/HK2多克隆抗体
- 规格:
100ul/200ul/25ul
| 规格: | 100ul | 产品价格: | ¥1560.0 |
|---|---|---|---|
| 规格: | 200ul | 产品价格: | ¥2500.0 |
| 规格: | 25ul | 产品价格: | ¥420.0 |
英文名称:Anti-HK1/HK2rabbitpolyclonalantibody
别名:HK;HKD;HKI;HXK1;RP79;HMSNR;HK1-ta;HK1-tb;HK1-tc;hexokinase;HKII;HXK2
相关类别:一抗
储存:冷冻(-20℃)
抗原:HK1/HK2
宿主:Rabbit
反应种属:Human,Mouse,Rat
标记物:Unconjugate
克隆类型:rabbitpolyclonal
技术规格
| Background: | Hexokinasesphosphorylateglucosetoproduceglucose-6-pho sphate,thefirststepinmostglucosemetabolismpathways. Thisgeneencodesaubiquitousformofhexokinasewhichlocaliz estotheoutermembraneofmitochondria.Mutationsinthisgene havebeenassociatedwithhemolyticanemiaduetohexokinasede ficiency.Alternativesplicingofthisgeneresultsinseveraltranscri ptvariantswhichencodedifferentisoforms,someofwhicharetissue-specific. |
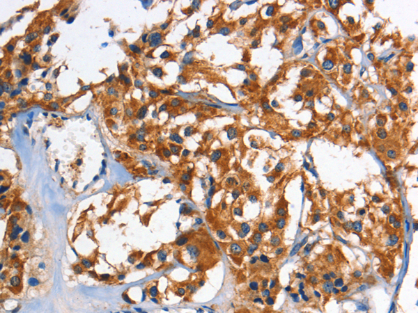
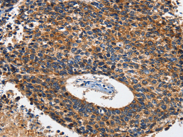
| Applications: | ELISA,IHC |
| Nameofantibody: | HK1/HK2 |
| Immunogen: | FusionproteinofhumanHK1/HK2 |
| Fullname: | hexokinase1/2 |
| Synonyms: | HK;HKD;HKI;HXK1;RP79;HMSNR;HK1-ta;HK1-tb;HK1-tc;hexokinase;HKII;HXK2 |
| SwissProt: | P19367/P52789 |
| ELISARecommendeddilution: | 1000-5000 |
| IHCpositivecontrol: | HumanbrainandHumanthyroidcancer |
| IHCRecommenddilution: | 50-200 |
风险提示:丁香通仅作为第三方平台,为商家信息发布提供平台空间。用户咨询产品时请注意保护个人信息及财产安全,合理判断,谨慎选购商品,商家和用户对交易行为负责。对于医疗器械类产品,请先查证核实企业经营资质和医疗器械产品注册证情况。
文献和实验制滴菌素A对小鼠克隆胚胎的染色体重建、DNA复制及转录活性的影响
的多克隆抗体(1:100稀释),兔抗组蛋白H3丝氨酸28磷酸的多克隆抗体(1:100稀释),兔抗组蛋白H3赖氨酸4乙酰基多克隆抗体(1:100稀释),兔抗组蛋白H3赖氨酸4二甲基多克隆抗体(1:100稀释)和鼠抗BrdU单克隆抗体(6μg/mL)。用鼠抗Lamin B单克隆抗体标记细胞膜。二抗为Alexa-Fluor-568 标记的山羊抗鼠 IgG抗体或Alexa-Fluor-488 标记的鸡抗兔 IgG抗体(1:200稀释)。用2 μg/mL4,6-diamidino
C3是补体二条激活途径的关键分子,C3活化后裂解为C3a、C3b两个片段,C3a很快被血清羧肽酶N裂解为C3adesarg,C3b被H、I因子灭活为C3bi,经蛋白酶水解为C3c、C3d、C3dg等,检测这些裂解产物即可反映C3的活化程度。C3a的定量检测采用竞争性抑制放射免疫法。其原理为用“I标记C3(I-C3)”与待测样本、兔抗人C3a多克隆抗体一起孵育,待测样本中的C3a(未标记抗原)能竞争性地与抗C3a结合,使C3a复合物(B)增多,而“I-C3”游离出来(F),根据B%来判断待测样本
:分别是竞争性蛋白质结合分析法[3]、放射性免疫分析法[4]和薄层色谱法[5]。在80年代,放射性免疫分析法得到了广泛的应用和改进,由于这种方法采用放射性核素标记,应用范围受到一定限制,为了进一步提高检测的灵敏度和操作的安全性,进入90年代又陆续发明了各种酶标记法和化学发光法的竞争性ELISA检测试剂盒,这一类检测方法的根本原理都是基于抗体抗原的免疫反应,所有这些试剂盒中采用的抗体全部是兔抗血清或者是经过特异亲和提纯之后的抗cAMP或cGMP的兔多抗,毫无疑问,兔多抗在约四十年的cAMP,cGMP定量
技术资料










