相关产品推荐更多 >
万千商家帮你免费找货
0 人在求购买到急需产品
- 详细信息
- 技术资料
- 免疫原:
Fusion protein of human HK1/HK2
- 形态:
liquid
- 保存条件:
Store at -20˚C
- 克隆性:
Polyclonal
- 适应物种:
Human;Mouse;Rat
- 保质期:
12 months
- 抗原来源:
Rabbit
- 供应商:
南京赛戈巍生物科技有限公司
- 宿主:
Rabbit
- 应用范围:
WB, IHC
- 靶点:
Uniprot:P19367/P52789
- 抗体英文名:
HK1/HK2 antibody
- 规格:
50ul/100ul
计算分子量:102 kDa
配方:pH7.4 PBS, 0.05% NaN3, 40% Glycerol
应用详情:WB dilution:1:1000-1:5000
IHC dilution:1:100-1:300
图片:
![HK1/HK2 antibody[31975]](https://img1.dxycdn.com/p/s14/2025/0923/960/6750271209075340791.png)
Gel: 10%SDS-PAGE, Lysate: 40 μg, Lane 1-5: A431 cells, K562 cells, 231 cells, hela cells, hepG2 cells, Primary antibody:HK1/HK2 Antibody at dilution 1/1200, Secondary antibody: Goat anti rabbit IgG at 1/8000 dilution, Exposure time: 1 second
,
![HK1/HK2 antibody[31975]](https://img1.dxycdn.com/p/s14/2025/0923/449/8695367023175340791.png)
The image is immunohistochemistry of paraffin-embedded Human thyroid cancer tissue using (HK1/HK2 Antibody) at dilution 1/60.
,
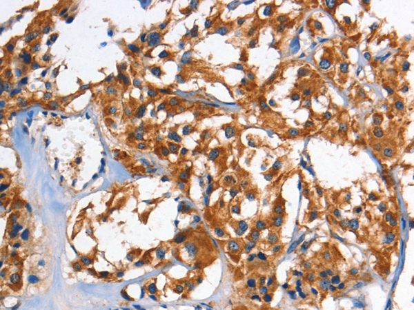
![HK1/HK2 antibody[31975]](https://img1.dxycdn.com/p/s14/2025/0923/742/0000675023175340791.png)
The image is immunohistochemistry of paraffin-embedded Human lung cancer tissue using (HK1/HK2 Antibody) at dilution 1/60.
风险提示:丁香通仅作为第三方平台,为商家信息发布提供平台空间。用户咨询产品时请注意保护个人信息及财产安全,合理判断,谨慎选购商品,商家和用户对交易行为负责。对于医疗器械类产品,请先查证核实企业经营资质和医疗器械产品注册证情况。
技术资料暂无技术资料 索取技术资料


![HK1/HK2 antibody[31975]](https://img1.dxycdn.com/p/s14/2025/0923/305/2150219664296040791.jpg)


![SR-1A Polyclonal Antibody[41456]](https://img1.dxycdn.com/p/s14/2025/0922/568/0046652811090600791.jpg!wh200)
![Snail antibody[38667]](https://img1.dxycdn.com/p/s14/2025/0922/359/6146153295428599691.jpg!wh200)
![CD85G Mouse mAb[63427]](https://img1.dxycdn.com/p/s14/2025/0922/632/2321321568067599691.jpg!wh200)
