万千商家帮你免费找货
0 人在求购买到急需产品
- 详细信息
- 文献和实验
- 技术资料
- 库存:
100
- 英文名:
Clavibacter michiganensis subsp. michiganensis
- 保质期:
6年
- 供应商:
优利科(上海)生命科学有限公司
- 保存条件:
2-8℃
- 规格:
冻干粉
密执安棒状杆菌密执安亚种菌种简介:
| 菌种名称 |
密执安棒状杆菌密执安亚种 |
| 规格 |
冻干粉 |
| 生长条件 |
30℃;24-48h;好氧 |
| 菌种主要应用 |
研究;教学 |
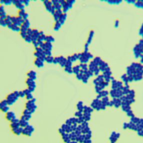
密执安棒状杆菌密执安亚种大小:1-2mm 形状:圆形 边缘:不整齐 透明度:不透明 颜色:黄色 隆起度:中间凸起 表面:明亮光滑 质地:湿润易挑起
保存条件:2-8℃
安瓿管开封步骤:


密执安棒状杆菌密执安亚种传代方法:①准备上述平板 1-2 块;②平板表面消毒后在安全柜中打开;③吸取 1-3ml 无菌水打入平板中,用无菌涂布棒在平板表层来回刮取菌苔,制成菌悬液;④用巴氏吸管吸取菌悬液,打入到新鲜的平板上,涂布均匀;⑤将平板置于上述培养条件下培养即可。
培养基:胰蛋白胨大豆血平板(TSA-B):胰蛋白胨 15.0g,大豆胨 5.0g,氯化钠 5.0g,琼脂 20.0g,蒸馏水 1.0L,pH 7.3±0.2。121℃,15min灭菌后,冷却至55℃,后添加5%无菌脱纤维羊血,摇匀倒板冷却备用。
注意事项
1 微生物菌种应保存于低温、清洁和干燥的地方,室温放置时间过长会导致菌种衰退;
2 菌种操作在无菌条件下进行,接种完毕应该灭菌再做丢弃处理;
3 斜面菌种和穿刺菌种保存时间通常为3-6个月,应根据菌种状况及时结转;冻干粉保存时间通常是2-25年;甘油菌保存时间为2-5年。

活化步骤图:

密执安棒状杆菌密执安亚种相关产品:
| 珊瑚色诺卡氏菌 | 工业污水净化。 |
| 玫瑰产色链霉菌 | |
| 蛎灰链霉菌 | 抑制革兰氏阳性细菌、产生蛎灰霉素(属美加霉素类群)。 |
| 玫瑰褐链霉菌 | 抑制革兰氏阳性细菌、革兰氏阴性细菌和丝状真菌。 |
| 孔雀石绿链霉菌 | |
| 淡紫灰链霉菌 | |
| 吸水链霉菌紫色变种 | |
| 刺孢吸水链霉菌昆明变种 | 产正放线酮类物质,能防治小麦锈病。 |
| 紫色直丝链霉菌 | 抑制革兰氏阳性细菌和丝状真菌。 |
| 刺孢吸水链霉菌 | 产正放线酮,可防治多种植物真菌病害。 |
| 弗氏链霉菌 | 产新霉素和弗氏菌素。 |
| 黄直丝链霉菌 | |
| 淡天蓝色链霉菌 | 能防治烟草赤星病,对阳性细菌、大肠杆菌、白色假丝酵母无作用。 |
| 天蓝色链霉菌 | 抑制阳性细菌,产生石蕊杀菌素和链丝兰素。 |
| 抗生链霉菌 | 产生放线/菌素A、B。 |
| 白浅灰链霉菌 | 产生新霉素复合体。 |
| 大丽花轮枝孢 | 棉花黄萎病菌。 |
| 出芽短梗霉 | 腐蚀油漆。 |
| 赭绿青霉 | 耐高浓度硫酸铜 |
| 黑曲霉 |
风险提示:丁香通仅作为第三方平台,为商家信息发布提供平台空间。用户咨询产品时请注意保护个人信息及财产安全,合理判断,谨慎选购商品,商家和用户对交易行为负责。对于医疗器械类产品,请先查证核实企业经营资质和医疗器械产品注册证情况。
文献和实验占世界总产量的80%,主产地在爱达荷、印第安纳、密执安、华盛顿及威斯康星等州。中国的留兰香主产地在江苏、安徽、江西、河南、浙江、上海等省市。上海及江苏南通是留兰香油的主要加工地。 留兰香油的成分有190余种,但以香芹酮(藏茴香酮)为主,含量约占50~65%;其次为柠檬烯,含量约占9~15%。香油主要作牙膏的添香剂,以及口香糖的配料,还可用作糖果加味剂和药物矫味剂。用以配制药剂有兴奋、驱风作用。
美通社-PR Newswire密执安州 Auburn Hills9月24日电 克莱斯勒公司 (Chrysler LLC) 正与美国生物柴油委员会(National Biodiesel Board,简称 NBB)合作,促进现代清洁的柴油车辆使用清洁可再生生物燃料。 克莱斯勒将面向那些购买或租赁新型克莱斯勒 (Chrysler)、吉普 (Jeep) 和道奇 (Dodge) 产品的美国 NBB 成员提供一个特别的折扣项目,特别
香农是现代信息论的著名创始人。现代信息论的出现,对现代通信技术和电子计算机的设计,产生了巨大的影响。如果没有信息论,现代的电子计算机是无法研制成功的。 香农在美国密执安大学和麻省理工学院学习时,修过布尔代数课,并在布尔的指导下使用微分分析仪,这使他对继电器电路的分析产生兴趣。他认为这些电路的设计可用符号逻辑来实现,并意识到分析继电器的有效数学工具正是布尔代数。 1938年,香农发表了著名的论文《继电器和开关电路的符号分析》,首次用布尔代数进行开关











