相关产品推荐更多 >
万千商家帮你免费找货
0 人在求购买到急需产品
- 详细信息
- 技术资料
- 免疫原:
A synthetic peptide of NECAB3
- 亚型:
IgG
- 保存条件:
Store at -20°C. Avoid freeze / thaw cycles.
- 供应商:
北京索莱宝科技有限公司
- 宿主:
Rabbit
- 应用范围:
WB IHC
- 靶点:
NECAB3
- 规格:
50ul
Anti-NECAB3 Polyclonal Antibody
产品简介
备注:
以上数据均来自公开文献, Solarbio暂未进行独立验证, 仅供参考。
These protocols are for reference only. Solarbio does not independently validate these methods.
实验图
Western blot analysis with NECAB3 antibody diluted at 1:2000;Lane:U251,HepG2,T-47d,HeLa,PC-3M-IE8,U-87,LO2
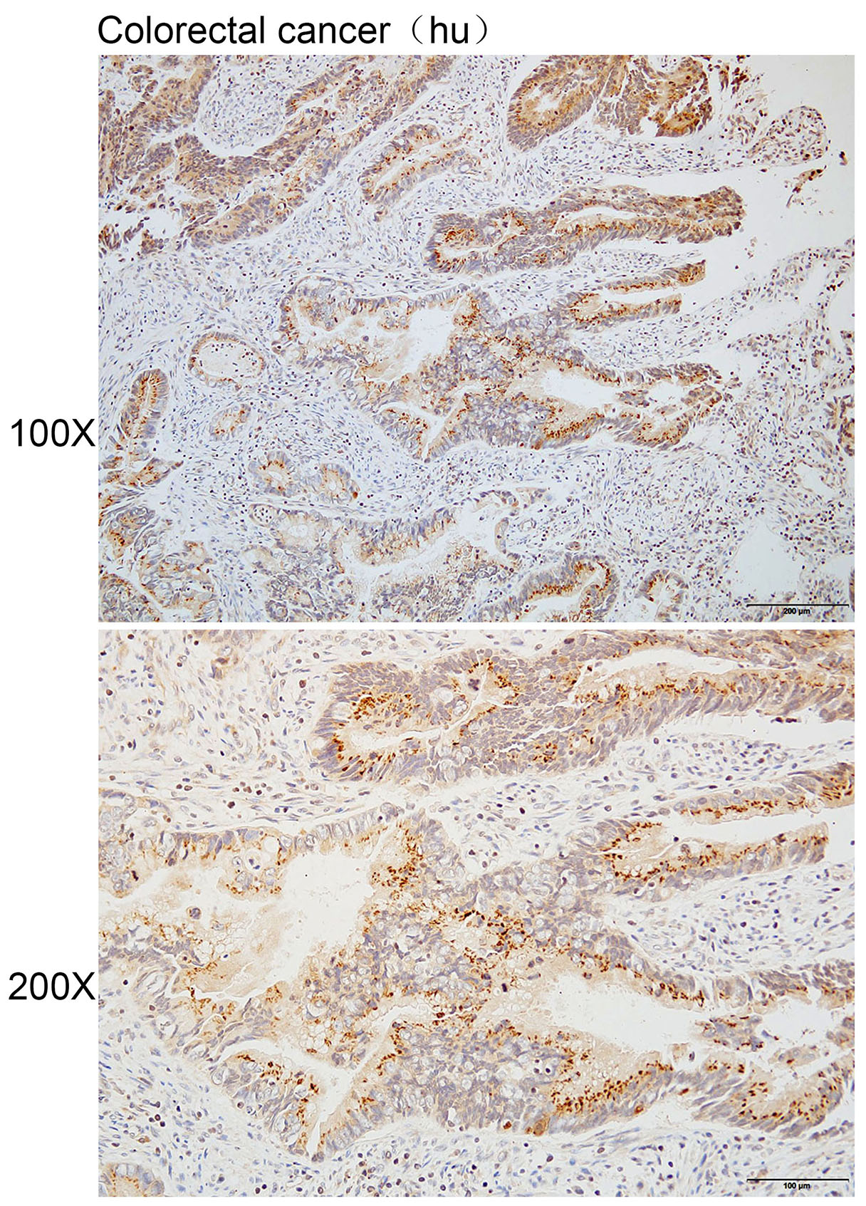
Immunohistochemistry of paraffin-embedded Human colorectal cancer using NECAB3 antibody diluted at 1:100
产品简介
| 英文名称 | Anti-NECAB3 Polyclonal Antibody |
| 靶标 | VPS37B |
| 别名 | NECAB3;APBA2BP;EFCBP3;NIP1;STIP3;SYTIP2;XB51;dJ63M2.4;dJ63M2.5 |
| 宿主 | Rabbit |
| 稀释比例 | WB 1:1000-3000. IHC 1:50-200. |
| Gene ID | 63941 |
| 保存 | Store at -20°C. Avoid freeze / thaw cycles. |
| Swiss Prot | Q96P71 |
| 蛋白分子量 | 22/41/44kDa |
| 储存液 | Buffer: PBS with 0.03% Proclin300, 50% glycerol, pH7.3. |
| 亚细胞定位 | Cytoplasm |
| 免疫原 | A synthetic peptide of NECAB3 |
| 亚型 | IgG |
| 纯化方法 | Octanoic acid-ammonium sulfate precipitation |
| 背景资料 | The protein encoded by this gene interacts with the amino-terminal domain of the neuron-specific X11-like protein (X11L), inhibits the association of X11L with amyloid precursor protein through a non-competitive mechanism, and abolishes the suppression of beta-amyloid production by X11L. This protein, together with X11L, may play an important role in the regulatory system of amyloid precursor protein metabolism and beta-amyloid generation. The protein is phosphorylated by NIMA-related expressed kinase 2, and localizes to the Golgi apparatus. Multiple transcript variants encoding different isoforms have been found for this gene. |
| Public Immunogen Range | 270-320/396aa |
| 克隆类型 | Polyclonal Antibody |
| 交叉反应 | Human |
| 应用 | WB IHC |
| 规格 | 50ul 100ul |
备注:
以上数据均来自公开文献, Solarbio暂未进行独立验证, 仅供参考。
These protocols are for reference only. Solarbio does not independently validate these methods.
实验图
Western blot analysis with NECAB3 antibody diluted at 1:2000;Lane:U251,HepG2,T-47d,HeLa,PC-3M-IE8,U-87,LO2
Immunohistochemistry of paraffin-embedded Human colorectal cancer using NECAB3 antibody diluted at 1:100
风险提示:丁香通仅作为第三方平台,为商家信息发布提供平台空间。用户咨询产品时请注意保护个人信息及财产安全,合理判断,谨慎选购商品,商家和用户对交易行为负责。对于医疗器械类产品,请先查证核实企业经营资质和医疗器械产品注册证情况。
技术资料暂无技术资料 索取技术资料
Anti-NECAB3 Polyclonal Antibody
¥960








