相关产品推荐更多 >
万千商家帮你免费找货
0 人在求购买到急需产品
- 详细信息
- 文献和实验
- 技术资料
- 品系:
/
- 细胞类型:
细胞系
- 肿瘤类型:
/
- 供应商:
优利科(上海)生命科学有限公司
- 库存:
100
- 英文名:
HELA; Hela; He La; He-La; Henrietta Lacks cells; Helacyton gartleri
- 生长状态:
贴壁生长
- 年限:
永久
- 运输方式:
快递形式
- 器官来源:
/
- 是否是肿瘤细胞:
/
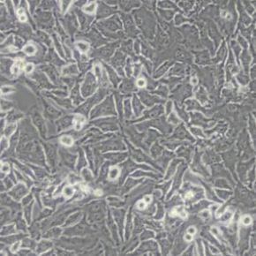
- 细胞形态:
上皮细胞样
- 免疫类型:
/
- 物种来源:
人
- 相关疾病:
/
- 组织来源:
/
- 规格:
1×10⁶cells/T25培养瓶
细胞英文名称:HELA; Hela; He La; He-La; Henrietta Lacks cells; Helacyton gartleri
细胞中文名称:Hela人宫颈癌细胞(带STR鉴定)
| 名称 | Hela (人宫颈癌细胞) (STR鉴定正确) |
| 别称 | HELA; Hela; He La; He-La; Henrietta Lacks cells; Helacyton gartleri |
| 种属 | 人类 |
| 年龄(性别) | 女性,30岁 6个月 |
| 组织来源 | 宫颈腺癌 |
| 生长特性 | 贴壁细胞 |
| 细胞形态 | 上皮细胞样 |
| 背景描述 | Hela细胞是第一个来自人组织和连续培养维持非整倍体上皮样细胞系。Hela细胞是由G·D·Gey等在1951年从31岁女性黑人的宫颈癌建立。经原始组织切片样品的重新观察,Jones等将其诊断为腺癌。已知该细胞系含有人乳头状瘤病毒18序列,需在2级生物安全防护台操作。Hela细胞角蛋白阳性,p53表达量较低,但表达正常水平的Prb(视网膜母细胞瘤抑制因子)。 |
| 生长培养基 | MEM+10% FBS+1% P/S |
| 推荐传代比例 | 1:2-1:4 |
| 推荐换液频率 | 2~3次/周 |
| 倍增时间 | ~32-48小时 |
| 冻存条件 | 冻存液:55% 基础培养基+40%FBS+5%DMSO温度:液氮 |
| 培养条件 | 气相:空气,95%;CO2,5%温度:37℃ |
| 基因表达情况 | Lysophosphatidylcholine (lyso-PC) induces AP-1 activity and c-jun N-terminal kinase activity (JNK1) by a protein kinase C-independent pathway. The cells are positive for keratin by immunoperoxidase staining. |
| 保藏机构 | ATCC; CCL-2 ATCC; CRM-CCL-2 ATCC; CRL-7923BCRC; 60005 BCRJ; 0100 DSMZ; ACC-57 ECACC; 08011102 ECACC; 93021013 |



STR位点信息
| Amelogenin | X | D21S11 | 27,28 |
| CSF1PO | 9,10 | FGA | 18,21 |
| D2S1338 | 17 | PentaD | 8,15 |
| D3S1358 | 15,18 | PentaE | 7,17 |
| D5S818 | 11,12 | TH01 | 7 |
| D7S820 | 8,12 | TPOX | 8,12 |
| D8S1179 | 12,13 | vWA | 16,18 |
| D13S317 | 12,13.3 | D6S1043 | 18 |
| D16S539 | 9,10 | D12S391 | 20,25 |
| D18S51 | 16 | D2S441 | 10,11 |
| D19S433 | 13,14 |
1、 细胞传代:
1)细胞生长至覆盖培养瓶的 80%面积时,弃 25cm2 培养瓶中的培养液,用 PBS 清洗细胞一次;
2)添加 0.25%胰蛋白酶消化液约 1ml 至培养瓶中,倒置显微镜下观察,待细胞回缩变圆后加入 5ml 完全培养
液终止消化,再轻轻吹打细胞使之脱落,然后将悬液转移至 15ml 离心管中, 1000rpm 离心 5min;
3)弃上清,沉淀细胞用 1-2ml 完全培养基重悬,然后按 1:2 比例进行分瓶传代,最后放入 37℃, 5%CO2 细胞
培养箱中培养;
2、 细胞冻存:
1)细胞生长至覆盖培养瓶的 80%面积时,弃 25cm2 培养瓶中的培养液,用 PBS 清洗细胞一次;
2)添加 0.25%胰蛋白酶消化液约 1ml 至培养瓶中,倒置显微镜下观察,待细胞回缩变圆后加入完全培养液终
止消化,轻轻吹打细胞使之脱落,然后将悬液转移至 15ml 离心管中, 1000rpm 离心 5min;
3)用适量的冻存液(FBS: DMSO=9 : 1)重悬细胞,并放置于冻存管中;
4)先将细胞冻存管放置于-20℃ 1.5h,然后将其移入-80℃过夜, 24h 后转入液氮中进行长期保存。使用程序
降温盒可直接放入-80℃。
3、细胞复苏:
1)从液氮中取出细胞冻存管(注意:佩戴防爆管面具),快速将其置入 37℃水浴中解冻,直至冻存管中无结
晶,然后用 75%的酒精擦拭冻存管外壁;
2)将冻存管中的细胞移至含 6ml 完全培养基的 15ml 离心管中, 1000rpm 离心 5min;
3)弃上清,沉淀用 6ml 完全培养基重悬,接种 25cm2 培养瓶,于 37℃, 5%CO2 细胞培养箱中培养


Hela人宫颈癌细胞(带STR鉴定)收到后处理
细胞在培养瓶中培养至良好状态后灌满完全培养液并封好瓶口是细胞运输的最好办法。收到细胞回到自己的实验室后,先打开外包装,用75%酒精喷洒整个瓶消毒后放到超净台内,严格无菌操作。镜下观察:未超过80%汇合度时,可将瓶装的完全培养液移入废液缸中,悬浮细胞需离心处理,加入6ml新鲜完全培养基,放入37℃、5%CO2孵箱培养;超过80%汇合度时,根据情况传代或者冻存,具体操作见细胞培养步骤说明书。
风险提示:丁香通仅作为第三方平台,为商家信息发布提供平台空间。用户咨询产品时请注意保护个人信息及财产安全,合理判断,谨慎选购商品,商家和用户对交易行为负责。对于医疗器械类产品,请先查证核实企业经营资质和医疗器械产品注册证情况。
文献和实验据统计约 30% 细胞系被交叉污染或错误辨识,因使用了交叉污染或错误辨识的细胞而导致研究结论错误、结果不可重复、临床细胞治疗灾难性后果……,这浪费大量时间、精力和金钱。Everything was going along fine until they discovered their HeLa cell line expressed Y chromosome markers因此近年 NIH、ATCC、Nature 和 Science 等对此多次发出呼吁,要求研究者对细胞进行鉴定。STR 基因
肿瘤细胞转移跨过了胎盘,然后进入胎儿的体内。但作者认为,存在这样一种特殊的情况:那就是患宫颈癌的母亲在分娩过程中,会存在宫颈癌细胞脱落进入产道液体的情况,而胎儿可能将这些癌细胞吸入肺中,并最终导致肺癌。然而,至今为止,没有任何关于这种传播方式的报道。 图片来源:NEJM 在这项研究中,日本当地医院接诊了 1 位出现严重肺部症状的 23 个月大的婴儿,CT 结果显示,这位出生不到 2 年的小生命的双肺中,出现了多个可能是肿瘤的阴影。穿刺组学结果确认这些阴影为神经内分泌瘤。同时,研究团队在婴儿母亲
在生物学与医学研究中,HeLa细胞是指源自一名美国妇女的子宫颈癌细胞的细胞。这名美国妇女名叫Henrietta Lacks,于1951年死於癌症。本来为了让Lacks保持匿名,此细胞株宣称是依"Helen Lane"命名。HeLa细胞株被George Gey分送给众研究单位(而未通知Lacks本人也未得到她的许可),因用作癌症研究而广为流传。至今已被视为“不死的”,也就是说此细胞株(不同于其他人类细胞)不会老死,而且可以不限次数的分裂下去,而且已被培养出一个不间断的系列。此细胞株即使和其他癌细胞











