相关产品推荐更多 >
万千商家帮你免费找货
0 人在求购买到急需产品
- 详细信息
- 文献和实验
- 技术资料
- 免疫原:
Whole rabbit corneal cells infected with herpes simplex virus type II (strain M5), were solubilized with detergent.
- 亚型:
IgG1
- 形态:
Liquid
- 保存条件:
Store as concentrated solution. Centrifuge briefly prior to opening vial. Store at 4ºC.
- 克隆性:
Monoclonal
- 标记物:
Unconjugated
- 适应物种:
Herpes simplex virus
- 保质期:
12 months from the shipping date of the product.
- 抗原来源:
Herpes simplex virus
- 目录编号:
GTX03305
- 级别:
Primary Antibodies
- 库存:
Available
- 供应商:
GeneTex
- 宿主:
Mouse
- 应用范围:
IHC-P
- 浓度:
Batch dependent (Please refer to the vial label for the specific concentration.)
- 靶点:
HSV2 gD
- 抗体英文名:
HSV2 gD antibody [DBM15.69]
- 抗体名:
HSV2 gD 抗体 [DBM15.69]
- 规格:
500 μl
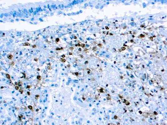
IHC-P analysis of HSV infected human tissue section using GTX03305 HSV2 antibody [DBM15.69].
风险提示:丁香通仅作为第三方平台,为商家信息发布提供平台空间。用户咨询产品时请注意保护个人信息及财产安全,合理判断,谨慎选购商品,商家和用户对交易行为负责。对于医疗器械类产品,请先查证核实企业经营资质和医疗器械产品注册证情况。
文献和实验secondary antibody review -- data from 99 publications
cytometry used as a control to detect cell responses targeted antigen 7 Alexa Fluor 488 7 Cy3 8 goat IgG Alexa Fluor 488 1:2000 detect antibody binding in human embryonic kidney 293T cells Invitrogen 9 donkey
Detection of apoptotic process in situ using immunocytochemical and TUNEL assays
antibody (mAb) conjugated with peroxidase (anti-DNA-POD) was used. This anti-DNA-POD mAb binds to single- and double-stranded, low molecular weight DNA fragments (mono- and oligonucleosomes), showing the internucleosomal degradation of genomic DNA occuring
钫(francium) Fr 87 (223) 钆(gadolinium) Gd 64 157.52 镓(galium) Ga 31
技术资料暂无技术资料 索取技术资料





![CDK4 antibody [DCS-31]](https://img1.dxycdn.com/2022/0328/738/6776246748799300453-14.jpg!wh200)


![CD9 antibody [EM-04]](https://img1.dxycdn.com/2022/0328/575/5054814561406500453-14.jpg!wh200)
![C Reactive Protein antibody [C3]](https://img1.dxycdn.com/2022/0328/734/8084065084533200453-14.jpg!wh200)

