相关产品推荐更多 >
万千商家帮你免费找货
0 人在求购买到急需产品
- 详细信息
- 文献和实验
- 技术资料
- 品系:
MDBK;牛肾细胞
- 细胞类型:
MDBK;牛肾细胞
- 肿瘤类型:
/
- 供应商:
优利科(上海)生命科学有限公司
- 库存:
100
- 英文名:
MDBK
- 生长状态:
贴壁生长
- 年限:
永久
- 运输方式:
快递形式
- 器官来源:
MDBK;牛肾细胞
- 是否是肿瘤细胞:
否
- 细胞形态:
正常
- 免疫类型:
/
- 物种来源:
MDBK;牛肾细胞
- 相关疾病:
/
- 组织来源:
MDBK;牛肾细胞
- 规格:
T25培养瓶
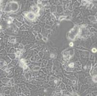
贴壁生长1957年2月18日,Madin SH和Darby NB从一只表观正常的成年牛肾脏建立了MDBK细胞株,可用于定量检测逆转录病毒的复制。
| 细胞英文名称 | MDBK | 细胞中文名称 | 牛肾细胞 |
| 形态特性 | 成纤维细胞样 | 生长特性 | 贴壁生长 |
| 培养体系 | 1640+10%FBS | ||
| 传代方法 | 1:2~1:4传代,每周换液2次。 | 传代情况 | |
| 冻存条件 | 无血清细胞冻存液 | ||
| 备注 | 悬浮细胞离心收集 | ||
STR:



1、 细胞传代:
1)细胞生长至覆盖培养瓶的 80%面积时,弃 25cm2 培养瓶中的培养液,用 PBS 清洗细胞一次;
2)添加 0.25%胰蛋白酶消化液约 1ml 至培养瓶中,倒置显微镜下观察,待细胞回缩变圆后加入 5ml 完全培养
液终止消化,再轻轻吹打细胞使之脱落,然后将悬液转移至 15ml 离心管中, 1000rpm 离心 5min;
3)弃上清,沉淀细胞用 1-2ml 完全培养基重悬,然后按 1:2 比例进行分瓶传代,最后放入 37℃, 5%CO2 细胞
培养箱中培养;
2、 细胞冻存:
1)细胞生长至覆盖培养瓶的 80%面积时,弃 25cm2 培养瓶中的培养液,用 PBS 清洗细胞一次;
2)添加 0.25%胰蛋白酶消化液约 1ml 至培养瓶中,倒置显微镜下观察,待细胞回缩变圆后加入完全培养液终
止消化,轻轻吹打细胞使之脱落,然后将悬液转移至 15ml 离心管中, 1000rpm 离心 5min;
3)用适量的冻存液(FBS: DMSO=9 : 1)重悬细胞,并放置于冻存管中;
4)先将细胞冻存管放置于-20℃ 1.5h,然后将其移入-80℃过夜, 24h 后转入液氮中进行长期保存。使用程序
降温盒可直接放入-80℃。
3、细胞复苏:
1)从液氮中取出细胞冻存管(注意:佩戴防爆管面具),快速将其置入 37℃水浴中解冻,直至冻存管中无结
晶,然后用 75%的酒精擦拭冻存管外壁;
2)将冻存管中的细胞移至含 6ml 完全培养基的 15ml 离心管中, 1000rpm 离心 5min;
3)弃上清,沉淀用 6ml 完全培养基重悬,接种 25cm2 培养瓶,于 37℃, 5%CO2 细胞培养箱中培养


MDBK;牛肾细胞收到后处理
细胞在培养瓶中培养至良好状态后灌满完全培养液并封好瓶口是细胞运输的最好办法。收到细胞回到自己的实验室后,先打开外包装,用75%酒精喷洒整个瓶消毒后放到超净台内,严格无菌操作。镜下观察:未超过80%汇合度时,可将瓶装的完全培养液移入废液缸中,悬浮细胞需离心处理,加入6ml新鲜完全培养基,放入37℃、5%CO2孵箱培养;超过80%汇合度时,根据情况传代或者冻存,具体操作见细胞培养步骤说明书。
风险提示:丁香通仅作为第三方平台,为商家信息发布提供平台空间。用户咨询产品时请注意保护个人信息及财产安全,合理判断,谨慎选购商品,商家和用户对交易行为负责。对于医疗器械类产品,请先查证核实企业经营资质和医疗器械产品注册证情况。
文献和实验WI-38 胚肺 Chang Liver 张氏肝 SL-7 胚肺 QSG-7701 肝细胞 H.A. 羊膜 293 Ad5DNA转化 的胚肾 WISH 羊膜 牙髓细胞 5.其它类 CV-1(M) 非洲绿猴肾 EBTr 牛胚气管 VERO 非洲绿猴肾 MDBK 牛肾细胞 HepII 猴肾 COS-1 SV40转化的非洲绿猴肾 LLC-MK2 恒河猴肾 COS-7 SV40转化的非洲绿猴肾 MLA-144 长臂猿淋巴瘤 B95
Specific Cell Cycle Synchronization with Butyrate and Cell Cycle Analysis
Synchronized cells have been invaluable in many kinds of cell cycle and cell proliferation studies. Butyrate induces cell cycle arrest and apoptosis in Madin Darby Bovine Kidney (MDBK) cells. We explore the possibility of using butyrate
牙髓细胞 5.其它类 CV-1(M) 非洲绿猴肾 EBTr 牛胚气管 VERO 非洲绿猴肾 MDBK 牛肾细胞 HepII 猴肾 COS-1 SV40转化的非洲绿猴肾 LLC-MK2 恒河猴肾 COS-7 SV40转化的非洲绿猴肾 MLA-144 长臂猿淋巴瘤 B95-8 EBV转化的绒猴白细胞 CP-88 草鱼胚胎细胞 NISE-Sacy-12 蓖麻蚕卵细胞 ZC-7901 草鱼吻端细胞 RF/6A 猴脉络膜-视网










