相关产品推荐更多 >
万千商家帮你免费找货
0 人在求购买到急需产品
- 详细信息
- 询价记录
- 文献和实验
- 技术资料
- 提供商:
江苏集萃药康生物科技股份有限公司
- 服务名称:
B6/JGpt-Rag1em1Cd/Gpt 品
B6-Rag1-KO
品系名称:B6/JGpt-Rag1em1Cd/Gpt
品系类型::Knock-out
品系编号:T004753 背景:C57BL/6JGpt
品系描述
Rag1(Recombination-activating gene 1)是催化VDJ 重组的酶复合物的组成部分[1] 。Rag1 敲除纯合小鼠的VDJ 重组不能正常进行,T 细胞和B 细胞无法正常发育成熟。因此, Rag1 敲除小鼠中没有成熟CD3+ TCRαβ+ T 细胞,胸腺中细胞量比野生型或杂合子低15-130 倍,胸腺细胞是CD8-CD4-且大多为IL2R+,脾脏及骨髓中检测不到IgM 或IgD,显示成熟的B 细胞完全缺失 [2] 。与Prkdc 缺失的Scid 模型相比,Rag1 敲除模型的成熟淋巴细胞缺失更彻底,且不会有“泄漏(leak)” [3] 。
集萃药康采用基因编辑技术使 Rag1 基因编码区缺失导致该基因失去活性。经验证,该模型小鼠的T 细胞和B 细胞发育缺陷。B6-Rag1-KO 小鼠与野生鼠相比,其免疫缺陷表现如下:胸腺、脾脏变小,无成熟T 细胞、B 细胞,NK 细胞比例略增加。
应用领域
-
免疫学研究;
-
感染、炎症等研究;
-
肿瘤移植;
-
人源化BTLA抑制剂的药效评价。
品系优势
-
AAALAC-国际认证的动物设施
-
基于IMPC表型分析平台的完善功能分析
-
遗传稳定,每年定期SNP鉴定
品系鉴定
-
鉴定周龄:3-4W
-
基因型:KO/KO,纯合体
-
基因位点:Rag1
验证数据
-
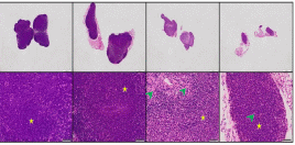
B6-Rag1 KO 病理组织学检测
Wildtype Rag1-KO
2
0×

200×
图2B6-Rag1-KO小鼠胸腺组织学检测.取小鼠胸腺组织,制作HE染色切片后观察,与野生型小鼠相比,B6-Rag1-KO雄雌小鼠体积减小,被膜下可见少量脂肪细胞浸润,皮质、髓质界限模糊,淋巴细胞减少,间质增多,排列疏松,发育不全。注:绿色箭头所示为脂肪细胞浸润,黑色 三角所示为皮质区,黄色五角星所示为髓质区。
Wildtype Rag1-KO

20×
200×
图 3B6-Rag1-KO 小鼠脾脏组织学检测.取小鼠脾脏组织,制作HE染色切片后观察,与野生型小鼠相比,B6-Rag1-KO雄雌小鼠基本结构消失,无明显髓区、脾小体,围绕中央动脉的细胞基本是未成熟的淋巴细胞,多核巨细胞增多,部分有出血现象。注:黑色三角所示为脾小体,绿色箭头为所示为多核巨细胞。
Wildtype Rag1-KO

20×
200×
图4B6-Rag1-KO 小鼠腹股沟淋巴结组织学检测.取小鼠腹股沟淋巴结组织,制作HE染色切片后观察,与野生型小鼠相比,B6-Rag1-KO雄雌小鼠基本结构消失,体积减小,淋巴细胞明显减少,排列疏松,间质增多。注:黄色五角星所示为淋巴细胞,绿色箭头为所示为间质。
2.The T/B/NK 细胞比例检测


图5B6-Rag1-KO 小鼠外周血中T/B/NK细胞比例检测.与野生型小鼠相比,B6-Rag1-KO小鼠外周血中无成熟的T、B细胞,NK细胞代偿性升高。
W
ildtype Rag1-KO

图6B6-Rag1-KO小鼠脾脏中T/B/NK细胞比例检测.与野生型小鼠相比,B6-Rag1-KO小鼠脾脏中无成熟的T、B细胞,NK细胞代偿性升高。
Wildtype Rag1-KO


图7B6-Rag1-KO 小鼠肝脏中T/B/NK细胞比例检测.与野生型小鼠相比,B6-Rag1-KO小鼠肝脏中无成熟的T、B细胞,NK细胞代偿性升高。
繁育保种
-
饲料:普通饲料(6%脂肪含量)
-
鉴定方式:繁殖笼种鼠采用耳缘打孔法标记,剪尾鉴定,库存无需鉴定
-
产仔代乳情况:产仔一般代乳一般
-
描述:该品系为免疫缺陷小鼠,日常操作中需注意各项操作动作轻柔,减少小鼠应
相关品系
T011699 Rag1-KO
T010926 Rag1-flox T034955 Prag1-KO
T025595 Prag1-flox T051517 Il2rg/Rag1-KO
T002289 NOD/ShiLtJGpt-Rag1/Il2rg-KO
发表文章
-
Pan XX, Yao KL, Yang YF, Ge Q, Zhang R, Gao PJ, Ruan CC, Wu F. Senescent T Cell Induces Brown Adipose Tissue “Whitening” Via Secreting IFN-γ. Front Cell Dev Biol. 2021 Mar 4;9:637424. doi: 10.3389/fcell.2021.637424.【RAG1−/− mice. T004753】
参考文献
-
Oettinger, Marjorie A., et al. "RAG-1 and RAG-2, adjacent genes that synergistically activate V (D) Jrecombination." Science 248.4962 (1990): 1517-1523.
-
Mombaerts, Peter, et al. "RAG-1-deficient mice have no mature B and T lymphocytes." Cell 68.5 (1992): 869-877.
-
Bassing, Craig H., Wojciech Swat, and Frederick W. Alt. "The mechanism and regulation of chromosomal V(D)J recombination." Cell109.2(2002): S45-S55.
风险提示:丁香通仅作为第三方平台,为商家信息发布提供平台空间。用户咨询产品时请注意保护个人信息及财产安全,合理判断,谨慎选购商品,商家和用户对交易行为负责。对于医疗器械类产品,请先查证核实企业经营资质和医疗器械产品注册证情况。
- 作者
- 内容
- 询问日期
文献和实验水平有限。 表 1. 高尿酸血症基因敲除模型动物[2] 基于药物诱导的高尿酸血症模型个体差异大,且血尿酸水平不稳定,而 ABCG2 敲除模型仍保留了尿酸酶基因,与临床差异较大,不合适用来评价降尿酸药物,相比之下,Uox-KO 模型是疾病研究和药物临床前评价的一个更合适的选择。 Uox-KO 模型推荐 集萃药康通过 CRISP/Cas9 技术构建 Uox-KO 小鼠模型,纯合小鼠表现出严重的高尿酸血症和尿酸肾病,纯合小鼠在出生几周后会陆续出现死亡(文献报导~65%的纯合小鼠在 4 周龄时死亡
相关专题基因敲除小鼠 小鼠和大鼠可谓是生命科学实验室里的明星,成功的小鼠和大鼠模型可谓是“生命科学的好帮手”。很多人可能想自己设计或是了解条件性基因敲除小鼠,在此做个小结,供大家参考。 条件性基因敲除小鼠的设计利用了Cre/LoxP或Flipe/Frt原理。它们都是位点特异性重组 酶系统。这里以Cre/LoxP系统为例。比如在待敲除的一段目标DNA序列的两端各放置一个loxP序列,得到flox(flanked by loxP)小鼠
Micro-CT检测肿瘤小鼠模型实验报告.pdf
技术资料暂无技术资料 索取技术资料










