相关产品推荐更多 >
万千商家帮你免费找货
0 人在求购买到急需产品
- 详细信息
- 技术资料
- 免疫原:
The clone 10T1 is derived from hybridization of mouse SP2/0 myeloma cells with spleen cells from BALB/c mice immunized with a recombinant human IRF-7 protein.
- 亚型:
IgG1
- 形态:
Liquid
- 保存条件:
Store as concentrated solution. Centrifuge briefly prior to opening vial. For short-term storage (1-2 weeks), store at 4ºC. For long-term storage, aliquot and store at -20ºC or below. Avoid multiple freeze-thaw cycles.
- 克隆性:
Monoclonal
- 标记物:
Unconjugated
- 适应物种:
Human, Mouse
- 保质期:
12 months from the shipping date of the product.
- 抗原来源:
Human
- 目录编号:
GTX57552
- 级别:
Primary Antibodies
- 库存:
Available
- 供应商:
GeneTex
- 宿主:
Mouse
- 应用范围:
WB, ICC/IF, IHC-P, FACS
- 浓度:
1 mg/ml (Please refer to the vial label for the specific concentration.)
- 靶点:
IRF5
- 抗体英文名:
IRF5 antibody [10T1]
- 抗体名:
IRF5 抗体 [10T1]
- 规格:
100 μl
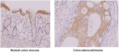
IHC-P analysis of Human normal colon mucosa and colon adenocalcinoma using GTX57552 IRF5 antibody.
Antigen retrieval: 0.1M sodium citrate buffer
Dilution: 1:50
ICC/IF analysis of THP-1 cells using GTX57552 IRF5 antibody.
Blue: DAPI
Green: Primary antibody
Dilution: 1:100
WB analysis of various samples using GTX57552 IRF5 antibody.
Samples : Ramos, THP-1, A20 and NIH-3T3 whole cell lysate
Dilution : 1:1000
FACS analysis of THP-1 cells using GTX57552 IRF5 antibody.
Cell Number: 1 x 10⁶ cells
Primary antibody: Red line
Antibody amount: 2-5 μg
风险提示:丁香通仅作为第三方平台,为商家信息发布提供平台空间。用户咨询产品时请注意保护个人信息及财产安全,合理判断,谨慎选购商品,商家和用户对交易行为负责。对于医疗器械类产品,请先查证核实企业经营资质和医疗器械产品注册证情况。
技术资料暂无技术资料 索取技术资料






![pan Cytokeratin antibody [7H8]](https://img1.dxycdn.com/2022/0328/074/4149892219157500453-14.jpg!wh200)

![CDC27 antibody [5C12]](https://img1.dxycdn.com/2022/0328/707/2507164734037500453-14.jpg!wh200)
![ALOX15 antibody [OTI3G8]](https://custom.dxycdn.com/trademd/upload/pic/2013/11/12/A1383891150.jpg!small.t.1)

