相关产品推荐更多 >
万千商家帮你免费找货
0 人在求购买到急需产品
- 详细信息
- 技术资料
- 免疫原:
Full length human recombinant protein of human ALOX15(NP_001131) produced in HEK293T cell.
- 亚型:
IgG2b
- 形态:
Liquid
- 保存条件:
Store as concentrated solution. Centrifuge briefly prior to opening vial. For short-term storage (1-2 weeks), store at 4ºC. For long-term storage, aliquot and store at -20ºC or below. Avoid multiple freeze-thaw cycles.
- 克隆性:
Monoclonal
- 标记物:
Unconjugated
- 保质期:
12 months from the shipping date of the product.
- 抗原来源:
Human
- 目录编号:
GTX04520
- 级别:
Primary Antibodies
- 库存:
Available
- 供应商:
GeneTex
- 宿主:
Mouse
- 应用范围:
WB, ICC/IF, IHC-P
- 浓度:
1 mg/ml (Please refer to the vial label for the specific concentration.)
- 抗体英文名:
ALOX15 antibody [OTI3G8]
- 抗体名:
ALOX15 抗体 [OTI3G8]
- 规格:
100 μl
ICC/IF analysis of COS7 cells with human ALOX15 transfection using GTX04520 ALOX15 antibody [OTI3G8].
IHC-P analysis of human breast tissue using GTX04520 ALOX15 antibody [OTI3G8].
Antigen retrieval : 10mM citric buffer (pH 6.0) at 100ºC for 10min
IHC-P analysis of human thyroid carcinoma tissue using GTX04520 ALOX15 antibody [OTI3G8].
Antigen retrieval : 10mM citric buffer (pH 6.0) at 100ºC for 10min
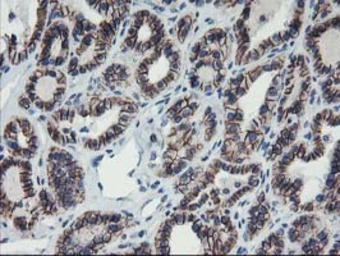
IHC-P analysis of human pancreas carcinoma tissue using GTX04520 ALOX15 antibody [OTI3G8].
Antigen retrieval : 10mM citric buffer (pH 6.0) at 100ºC for 10min
IHC-P analysis of human bladder carcinoma tissue using GTX04520 ALOX15 antibody [OTI3G8].
Antigen retrieval : 10mM citric buffer (pH 6.0) at 100ºC for 10min
IHC-P analysis of human prostate carcinoma tissue using GTX04520 ALOX15 antibody [OTI3G8].
Antigen retrieval : 10mM citric buffer (pH 6.0) at 100ºC for 10min
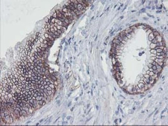
IHC-P analysis of human endometrium tissue using GTX04520 ALOX15 antibody [OTI3G8].
Antigen retrieval : 10mM citric buffer (pH 6.0) at 100ºC for 10min
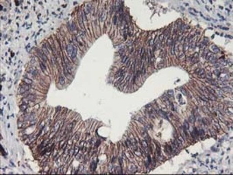
IHC-P analysis of human endometrium carcinoma tissue using GTX04520 ALOX15 antibody [OTI3G8].
Antigen retrieval : 10mM citric buffer (pH 6.0) at 100ºC for 10min
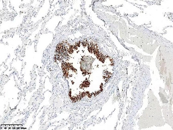
IHC-P analysis of human lung tissue using GTX04520 ALOX15 antibody [OTI3G8].
Antigen retrieval : 1mM EDTA in 10mM Tris buffer (pH 8.5) at 120ºC for 3 min
Dilution : 1:150
WB analysis of 293T cells with or without human ALOX15 transfection using GTX04520 ALOX15 antibody [OTI3G8].
Lane 1 : Control vector
Lane 2 : Human ALOX15 transfection
Loading : 5 μg
风险提示:丁香通仅作为第三方平台,为商家信息发布提供平台空间。用户咨询产品时请注意保护个人信息及财产安全,合理判断,谨慎选购商品,商家和用户对交易行为负责。对于医疗器械类产品,请先查证核实企业经营资质和医疗器械产品注册证情况。
技术资料暂无技术资料 索取技术资料






![Myeloid marker antibody [MYADM/972]](https://img1.dxycdn.com/2022/0328/338/4881557557170700453-14.jpg!wh200)


![Dectin-1 antibody [2A11] (Biotin)](https://img1.dxycdn.com/2022/0328/953/6761117669054400453-14.jpg!wh200)

