相关产品推荐更多 >
万千商家帮你免费找货
0 人在求购买到急需产品
- 详细信息
- 技术资料
- 免疫原:
A synthesized peptide derived from human CD168/RHAMM/RHAMM.
- 亚型:
IgG
- 形态:
Liquid
- 保存条件:
Store as concentrated solution. Centrifuge briefly prior to opening vial. For short-term storage (1-2 weeks), store at 4ºC. For long-term storage, aliquot and store at -20ºC or below. Avoid multiple freeze-thaw cycles.
- 克隆性:
Monoclonal
- 标记物:
Unconjugated
- 适应物种:
Human, Mouse
- 保质期:
12 months from the shipping date of the product.
- 抗原来源:
Human
- 目录编号:
GTX03261
- 级别:
Primary Antibodies
- 库存:
Available
- 供应商:
GeneTex
- 宿主:
Rabbit
- 应用范围:
WB, IHC-P
- 浓度:
Batch dependent (Please refer to the vial label for the specific concentration.)
- 靶点:
CD168 / RHAMM
- 抗体英文名:
CD168 / RHAMM antibody [GT1346]
- 抗体名:
CD168 / RHAMM 抗体 [GT1346]
- 规格:
100 μl
WB analysis of normal (control) and CD168 / RHAMM knockout (KO) HeLa cell lysates using GTX03261 CD168 / RHAMM antibody [GT1346].
Dilution : 1:500
Loading : 25μg per lane
WB analysis of K562 cell lysate using GTX03261 CD168 / RHAMM antibody [GT1346].
Dilution : 1:500
Loading : 25μg per lane
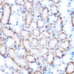
IHC-P analysis of mouse kidney tissue using GTX03261 CD168 / RHAMM antibody [GT1346].
Dilution : 1:100
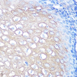
IHC-P analysis of human esophageal tissue using GTX03261 CD168 / RHAMM antibody [GT1346].
Dilution : 1:100
风险提示:丁香通仅作为第三方平台,为商家信息发布提供平台空间。用户咨询产品时请注意保护个人信息及财产安全,合理判断,谨慎选购商品,商家和用户对交易行为负责。对于医疗器械类产品,请先查证核实企业经营资质和医疗器械产品注册证情况。
技术资料暂无技术资料 索取技术资料


![CD168 / RHAMM antibody [GT1346]](https://img1.dxycdn.com/2023/0711/451/6106825198874858761-14.jpg)


![CIS antibody [C2C3], C-term](https://img1.dxycdn.com/2023/0711/255/2344116916935858761-14.jpg!wh200)
![NMDAR2B antibody [NR2B]](https://img1.dxycdn.com/2023/0711/451/6106825198874858761-14.jpg!wh200)
![PDE6D antibody [HL1359]](https://img1.dxycdn.com/2023/0711/058/8406876405285858761-14.jpg!wh200)
![VCAM1 / CD106 antibody [N1N2], N-term](https://img1.dxycdn.com/2023/0516/045/6925717576889828561-14.jpg!wh200)
