万千商家帮你免费找货
0 人在求购买到急需产品
- 详细信息
- 文献和实验
- 技术资料
- 提供商:
晶莱生物
- 服务名称:
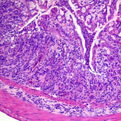
结肠炎(UC)模型
炎症性肠炎(inflammatory bowel disease, IBD)的病因、发病机制等在研究中尚不明确,因此大量肠炎动物模型被应用于此项研究,葡聚糖硫酸钠盐(Dextran Sulfate Sodium Salt,DSS)结肠炎(ulcerative colitis,UC)模型应用最广。
该模型症状表现与人类UC极为相似,主要表现为腹泻、黏液样便、粪便潜血、肉眼血便、重量减轻、活动度减少,毛色变差等。联合氧化偶氮甲烷 (azoxymethane, AOM)用药,可用于诱发结肠炎相关性癌症 (colitis associated cancer, CAC) 动物模型,成功模拟IBD诱发CAC的过程。
实验动物
Balb/c小鼠, 健康雌性,4-6周体重18-22g

生活环境
25±2°C,相对湿度40±10%,12:12光暗周期,适应性饲养一周,并可自由饮水和进食。
造模方法
第一天小鼠腹腔注射10mg/kg AOM,2天后饲喂2%DSS连续5天,如此一周为一个循环,至少6周才能成模。
实验结果
病理变化结肠明显缩短,粘膜增厚、淋巴结肿大,杯状细胞缺失、隐窝缺失,小部分动物出现腺瘤性息肉、肿瘤样改变。

正常

模型
晶莱生物服务流程

收费标准/服务周期/提供结果:
欢迎咨询详谈,我们会根据您的方案及需求制定详细的服务协议。
更多实验技术服务请浏览网站其他内容,或来电咨询!
做实验,找晶莱!您的科研生涯,我们一路相伴!
【平台项目开展范围】慢病毒,腺病毒,RNAi类,分子生物实验,病理实验,免疫学实验,细胞实验,动物实验,蛋白组学实验,芯片类实验,并为广大客户朋友们提供课题设计指导、基金申请指导等服务。
【北京公司】北京经济技术开发区科创十三街12号院德为科技园1号楼5层
【长沙公司】长沙市高新区麓谷大道627号新长海中心A1-1203室
【晶莱生物】已开展了数千个实验外包项目。我们专注于医学课题研究,已从课题申请、方案设计、试剂采购、模型构造、标本检测、数据分析,各个环节积累了数千个成功案例经验,为数千个来自临床的科研工作者解决了大量的科研问题。更多相关实验服务信息请咨询晶莱生物。
风险提示:丁香通仅作为第三方平台,为商家信息发布提供平台空间。用户咨询产品时请注意保护个人信息及财产安全,合理判断,谨慎选购商品,商家和用户对交易行为负责。对于医疗器械类产品,请先查证核实企业经营资质和医疗器械产品注册证情况。
文献和实验有色饮料要少喝!这种常见的食用色素竟会扰乱肠道菌群,诱导肠道炎症……
导读 环境因素在各种炎症和自身免疫性疾病的发病中起着重要作用。其中,炎症性肠病(IBD)、克罗恩病(CD)和溃疡性结肠炎(UC)是严重的胃肠道慢性炎症性疾病,它们影响着全球数百万人。前期的研究表明,遗传易感性、肠道菌群紊乱等已被证明可促进肠道炎症的发生,不过对于影响肠道炎症发生的环境风险因素方面的研究却不是很多。 目前,越来越多的证据表明,饮食在肠道炎症的发展中起着关键作用。食品添加剂,如乳化剂、稳定剂和合成着色剂被广泛用于改善加工食品的质地、保存和外观。但已有研究数据表明,大量使用
列表: 1组: 1 【篇名】 急性咽炎动物模型研究 【作者】 封银曼,王停,高志卿,姚建平 2 【篇名】 白介素-12可预防肝癌动物模型手术后的肿瘤复发 【作者】 朱立新,耿小平 3 【篇名】 三硝基苯磺酸结肠炎动物模型的建立 【作者】 王皓,欧阳钦,胡仁伟 4 【篇名】 高血糖合并高血脂动物模型的初探 【作者】 孙立红,邢东明,李敏,孙虹,金文,孟祥红,杜力军 5 【篇名】 寒冷刺激诱发孕鼠
网络 十、国外动物疾病模型参阅表 疾病名称、动物、作者及年份 (一)心血管系统 沙土鼠 Shakibi 1969 1.动脉粥样硬化 海豚 Cray 1974 小鼠 Hummel 1962 3.心衰 大鼠 Thant 1970 地鼠 Mark 1973 Koletsky 1977 Bajusz 1969 Imai 1973
技术资料暂无技术资料 索取技术资料










