2 年
手机商铺
公司新闻/正文
5551 人阅读发布时间:2025-06-24 16:08




Tau蛋白病是一种以Tau蛋白异常聚集为病理特征的异质性神经退行性疾病。这类疾病主要包括最常见的阿尔茨海默病(AD),以及额颞叶变性谱系中具有Tau病理特征的亚型(FTLD-Tau),如皮克病(PiD)、皮质基底节变性(CBD)和进行性核上性麻痹(PSP)等。从分子机制来看,Tau蛋白由MAPT编码,通过外显子10的选择性剪接可产生六种不同的亚型。这些亚型根据微管结合域中重复序列的数量可分为3R或4R Tau蛋白。目前,冷冻电镜(cryo-EM)技术已成功解析了三种Tau蛋白病亚型的结构特征,包括3R型、4R型以及3R/4R混合型。值得注意的是,不同Tau蛋白病的结构存在显著差异:阿尔茨海默病表现为3R/4R混合型,皮克病为3R型,而皮质基底节变性和进行性核上性麻痹均为4R型。研究发现,在MAPT基因突变导致的家族性额颞叶变性病例中(包括外显子10的P301S/L等突变),3R与4R Tau蛋白的比例发生了显著改变。这些证据强烈提示,4R Tau蛋白的结构改变可能在Tau蛋白病的发病机制中起着更为关键的作用。
人类诱导多能干细胞(hiPSC)衍生的神经元为神经系统疾病建模提供了重要平台。然而,传统hiPSC神经元模型中4R Tau蛋白的表达水平始终维持在较低水平,即使在长期培养条件下也难以达到理想表达量,这一局限性严重制约了其在4R Tau蛋白病(如进行性核上性麻痹,PSP)研究中的应用。为突破这一技术瓶颈,研究团队对hiPSC来源的神经元进行了基因工程改造,成功构建了两种新型神经元模型:一种表达野生型4R Tau蛋白,另一种则表达携带P301S突变的4R Tau蛋白(4R-P301S)。实验结果显示,在接种Tau原纤维后,4R-P301S神经元模型表现出显著的Tau蛋白病理性扩散特征。这一病理过程伴随着两个关键表型:神经元电活动异常减弱和溶酶体通路功能障碍。更重要的是,研究团队基于这一优化的4R-P301S Tau蛋白病模型,运用CRISPRi高通量筛选技术,系统鉴定了500余个调控Tau蛋白传播的遗传修饰因子。其中,逆转录酶VPS29和UFMylation信号通路相关基因的发现尤为引人注目。这些突破性发现不仅为深入解析Tau蛋白病理传播机制提供了全新视角,更为未来开发靶向治疗策略奠定了重要基础。

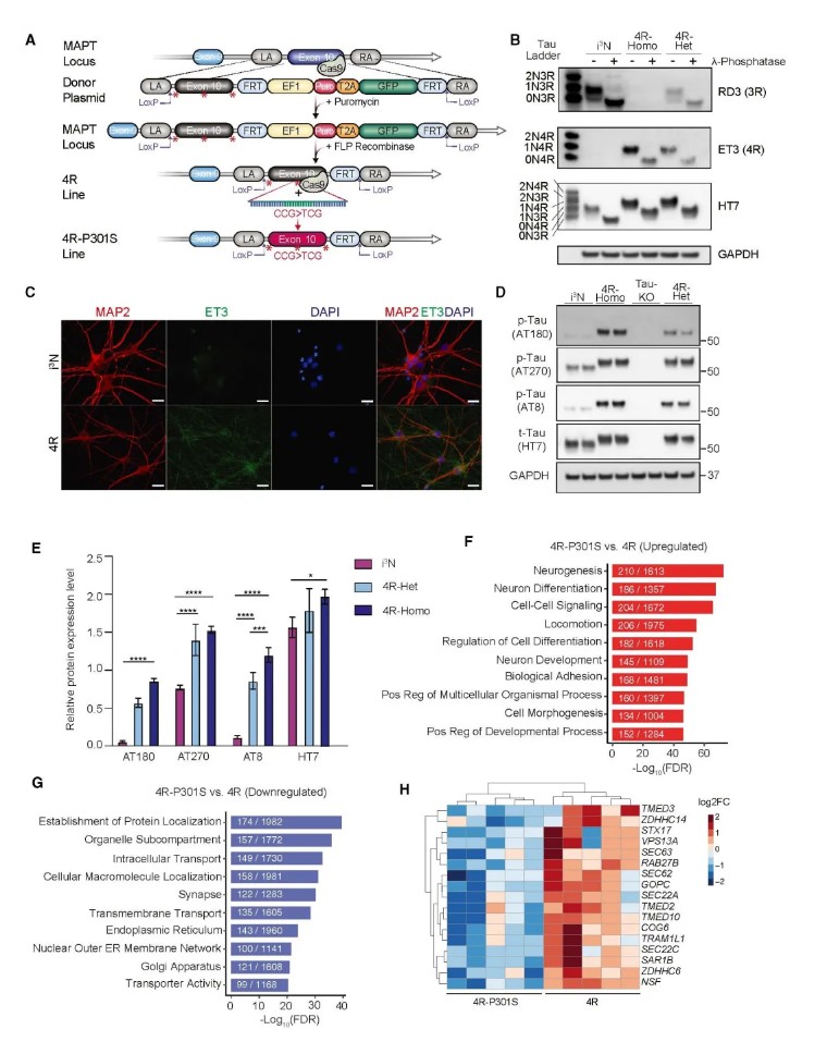
1. 4R和4R-P301S Tau 的iPSC人源性神经元的产生和鉴定
由于人类iPSC衍生的神经元,包括表达可诱导的神经素-2转录因子的i3神经元(i3N),表达低水平4R Tau,所以在iPSC神经元中建立4R损伤模型很困难。为了提高4R Tau的表达,研究人员通过CRISPR/Cas9编辑了i3神经元的MAPT位点。免疫细胞化学证实了4R特异性抗体ET3的免疫反应性以及i3n神经元中无反应性。RNA 测序分析显示,P301S 突变导致 2200 多个基因发生改变,上调基因富集于神经元分化和细胞间信号通路,下调基因与细胞器定位、细胞内运输等相关。

图1 4R和4R-P301S Tau在人iPSC衍生神经元的生成和表征
2. 在4R-P301S神经元中模拟播种诱导的Tau包涵体
研究人员用 K18-P301L-Tau(K18)原纤维处理 4R 和 4R-P301S 神经元,仅 4R-P301S 神经元在 3 - 5 周后出现 MC1 阳性包涵体,且随时间增加,Tau 包涵体具有磷酸化和寡聚化特征。TEM 检测到4R-P301S神经元胞体中有明显的纤维状Tau结构。研究人员对 4R-P301S + K18 和 4R + K18 神经元进行 RNA 测序,发现与 AD 大脑中 AT8 + 与 AT8 - 兴奋性神经元相比,存在显著的基因重叠,涉及动作电位、钙运输、突触定位和囊泡运输等相关通路。

图2 4R-P301S 神经元中 Tau 包涵体的建模
3. 4R-P301S 神经元中 Tau 传播的相关机制
为研究Tau在4R-P301S神经元中的传播与溶酶体内功能障碍的关系,研究者采用了TEM分析比较,有或没有K18接种的4R和4R-P301S神经元的亚细胞结构。结果显示,4R-P301S 神经元在 K18 原纤维处理后,出现多层膜异常囊泡结构(MLBs)积累,表明内体溶酶体膜运输功能障碍。抑制 VAMP7(介导溶酶体膜融合的蛋白)活性,可减少细胞外Tau释放,增加 MC1 + Tau 包涵体,支持内体溶酶体功能障碍与Tau传播的关联。

图3 Tau在4R-P301S神经元中的传播与溶酶体内功能障碍有关
Tau的病理情况与认知衰退密切相关,为研究Tau包涵体对神经元活动的影响,研究人员通过在 4R-P301S 神经元中插入 HaloTag,结合 GCaMP8-fast 进行钙成像,发现 Tau 包涵体导致神经元的自发和刺激诱发活动降低。抑制神经元活动可减少Tau包涵体水平,表明神经元活动促进 Tau 传播。

图4 Tau包涵体对神经元活性的损害
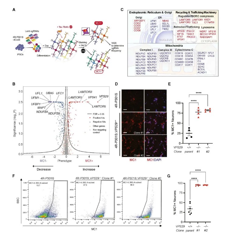
4. CRISPRi 筛选 4R Tau蛋白病中Tau传播的遗传修饰因子
为了阻止Tau蛋白传播,研究团队采用CRISPRi技术抑制1000多个基因,以确定它们在Tau蛋白传播中的作用。研究发现了对Tau蛋白丰度有重大影响的基因约有500多个,其中 MAPT、线粒体基因、UFMylation 相关基因等是 Tau 传播的修饰因子。如敲低 VPS29(retromer 复合物的亚基)可显著增加 4R-P301S 神经元中的 Tau 包涵体,验证了其对 Tau 传播的重要调节作用。

图5 通过 CRISPRi 筛选鉴定Tau包涵体修饰因子
5. UFMylation级联是Tau传播的关键修饰因子
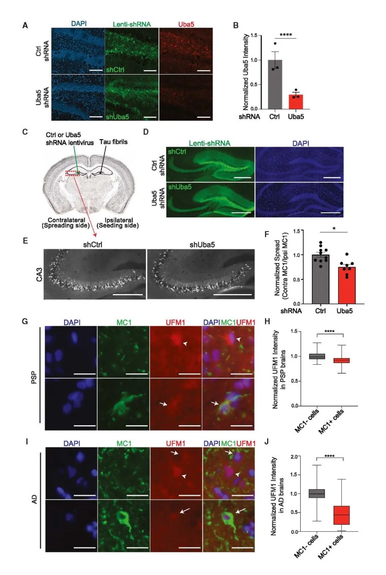
研究人员通过 shRNA 敲低 UBA5 和 UFM1,发现可显著减少 4R-P301S 神经元中 MC1 + 信号,降低 Tau 蛋白水平。在 Tau 传播的小鼠模型中,敲低 Uba5 可减少 Tau 聚集的扩散。在 PSP 和 AD 患者大脑中,MC1 + 缠结神经元中游离UFM1水平较低,表明 UFMylation 可能促进 Tau 病理发展。

图6 UFMylation级联是Tau传播的关键修饰因子

图7 UFMylation在Tau传播小鼠模型和Tau病人类脑组织中具有功能相关性

本研究建立的人类 4R iPSC平台,可用于揭示4R Tau蛋白病的潜在机制,为药物开发确定新靶点,推动Tau蛋白病的研究进展。