18 年
手机商铺
入驻年限:18 年
市场部
北京 丰台区
实验室仪器 / 设备、技术服务
生产厂商
公司新闻/正文
48 人阅读发布时间:2025-11-26 11:57
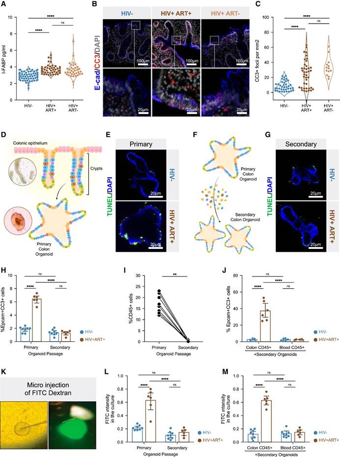
人类免疫缺陷病毒(HIV)感染的一个显著特征是肠道屏障完整性受损,即便人类免疫缺陷病毒感染者(PWH)接受了抗逆转录病毒治疗(ART),这种损伤仍会持续存在。该损伤对 HIV 疾病进展至关重要,但目前其病因尚未完全明确。

2025年12月,哈佛大学&MIT拉贡研究所的Douglas S. Kwon团队在Cell发表题为“Immunometabolic defects of CD8+ T cells disrupt gut barrier integrity in people with HIV”
的文章。本研究揭示了一种机制:PWH 结肠驻留型 CD8+T 细胞存在免疫代谢缺陷,正是这种缺陷导致肠道上皮细胞凋亡,进而破坏肠道屏障完整性。

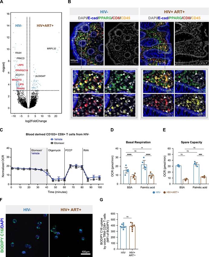
研究发现,在 PWH 体内,结肠驻留型 CD8+T 细胞会下调脂质传感器 —— 过氧化物酶体增殖物激活受体 γ(PPARγ)的表达。这一下调会引发一系列连锁反应:细胞内脂滴减少、脂肪酸氧化功能受损,且 CD8+T 细胞会从肠道上皮细胞获取脂质,而这一过程会进一步导致上皮细胞死亡。
本研究结果表明,HIV 相关的结肠 CD8+T 细胞免疫代谢失调,会破坏肠道上皮稳态。这些发现为制定潜在治疗策略提供了依据,该策略不仅可降低 PWH 的合并症发生率,还能为其他存在肠道屏障完整性受损的疾病提供治疗思路。
实验部分
1. 组织样本的全片扫描与成像
研究中使用TissueGnostics的TissueFAXS平台,对福尔马林固定、石蜡包埋(FFPE)的结肠活检组织切片进行成像:
l 采集完整组织区域的图像,覆盖FITC、Cy3、Cy5、AF75、DAPI等多个荧光通道,为后续细胞表型和空间定位分析提供高质量图像基础;
l 适配免疫荧光染色后的样本(如E-钙粘蛋白、CC3、CD8等标记),清晰呈现结肠上皮细胞、CD8+ T细胞的分布及凋亡信号。
2. 细胞表型的定量分析
借助TissueGnostics的TissueQuest软件完成关键细胞表型的定量统计:
l 基于荧光标记阈值,识别并量化结肠上皮凋亡细胞(E-cadherin+ CC3+)、CD8+ T细胞等目标细胞群的数量及占比;
l 对比HIV感染者(接受ART治疗/未接受ART治疗)与健康人群的细胞表型差异,为“HIV感染者结肠上皮凋亡增加”的核心结论提供定量数据支撑。
3. 细胞空间定位与距离测量
通过TissueGnostics的StrataQuest软件实现细胞空间关系的精准分析:
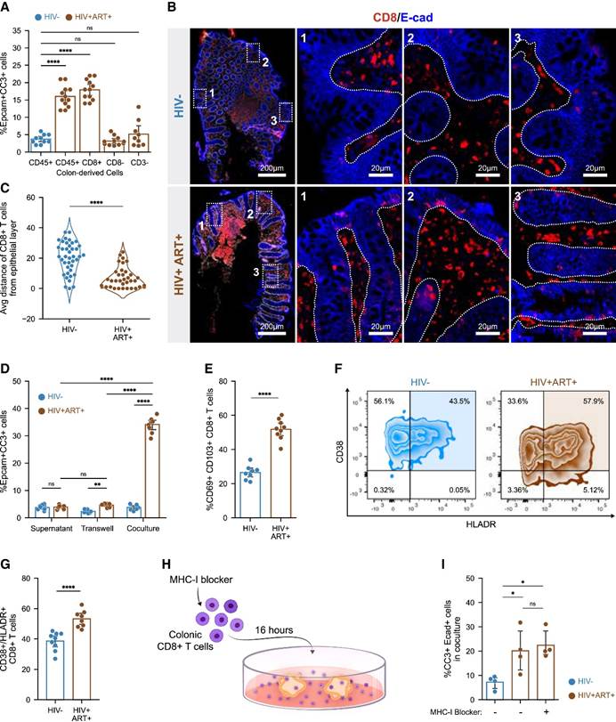
l 自动化分割结肠上皮层(E-cadherin标记)与CD8+ T细胞,计算每个CD8+ T细胞质中心到上皮层的距离;
l 生成距离分布数据结果,量化HIV感染者与健康人群中CD8+ T细胞相对上皮层的定位差异(如HIV感染者CD8+ T细胞更贴近/侵入上皮层),验证“CD8+ T细胞与上皮细胞直接接触介导凋亡”的机制。
4. 细胞间接触的判定
StrataQuest软件还用于定义“细胞接触”的判定标准:以DAPI染色的细胞核为界,向外延伸至细胞膜区域,若两个细胞在该区域存在3个像素的重叠,则判定为“接触”;
l 量化HIV感染者与健康人群中CD8+ T细胞和结肠上皮细胞的接触频率,为“接触依赖性上皮凋亡”提供量化依据。

Figure 1 肠道屏障损伤与结肠驻留免疫细胞的关联

Figure 2 结肠 CD8+ T 细胞通过接触依赖机制诱导上皮凋亡

FigureS3 接受抗逆转录病毒治疗(ART)的 HIV 感染者(PWH)结肠 CD8+T 细胞的代谢损伤与脂质摄取异常

Figure 5 PPARγ 激动剂处理人类免疫缺陷病毒感染者(PWH)的组织驻留记忆 CD8+T 细胞(TRM CD8+T 细胞)可消除 T 细胞介导的上皮细胞凋亡