18 年
手机商铺
入驻年限:18 年
市场部
北京 丰台区
实验室仪器 / 设备、技术服务
生产厂商
公司新闻/正文
230 人阅读发布时间:2025-08-04 15:39

在生命科学研究的广袤领域中,精准、高效的技术手段至关重要。TissueGnostics 作为行业内的领军者,致力于为科研人员、临床工作者提供前沿的组织细胞定量分析技术服务,助力探索生命微观世界的奥秘。
TissueGnostics 公司作为全球专业的全景组织原位定量分析技术研发者与设备生产者,自成立以来,便与欧洲各大科研院所、企业建立了紧密且广泛的合作关系。在长期的实践与交流中,公司不断汲取一线需求,积累了丰富的经验,逐步成长为组织图像量化技术领域的佼佼者。
通过核心的组织原位单细胞空间表型验证定量系统,可以提供在单张组织样本上多达10种蛋白荧光标记的、从染色到数据分析的一整套解决方案。TissueGnostics 的服务广泛应用于肿瘤研究、神经科学研究、临床免疫性疾病研究等多个领域,为不同领域的科研和临床工作提供了强有力的支持。

TissueGnostics 在染色环节拥有丰富的经验和专业的技术支持。针对不同的研究需求和样本类型,提供多种染色方案,包括免疫组化染色、多重免疫荧光染色等。




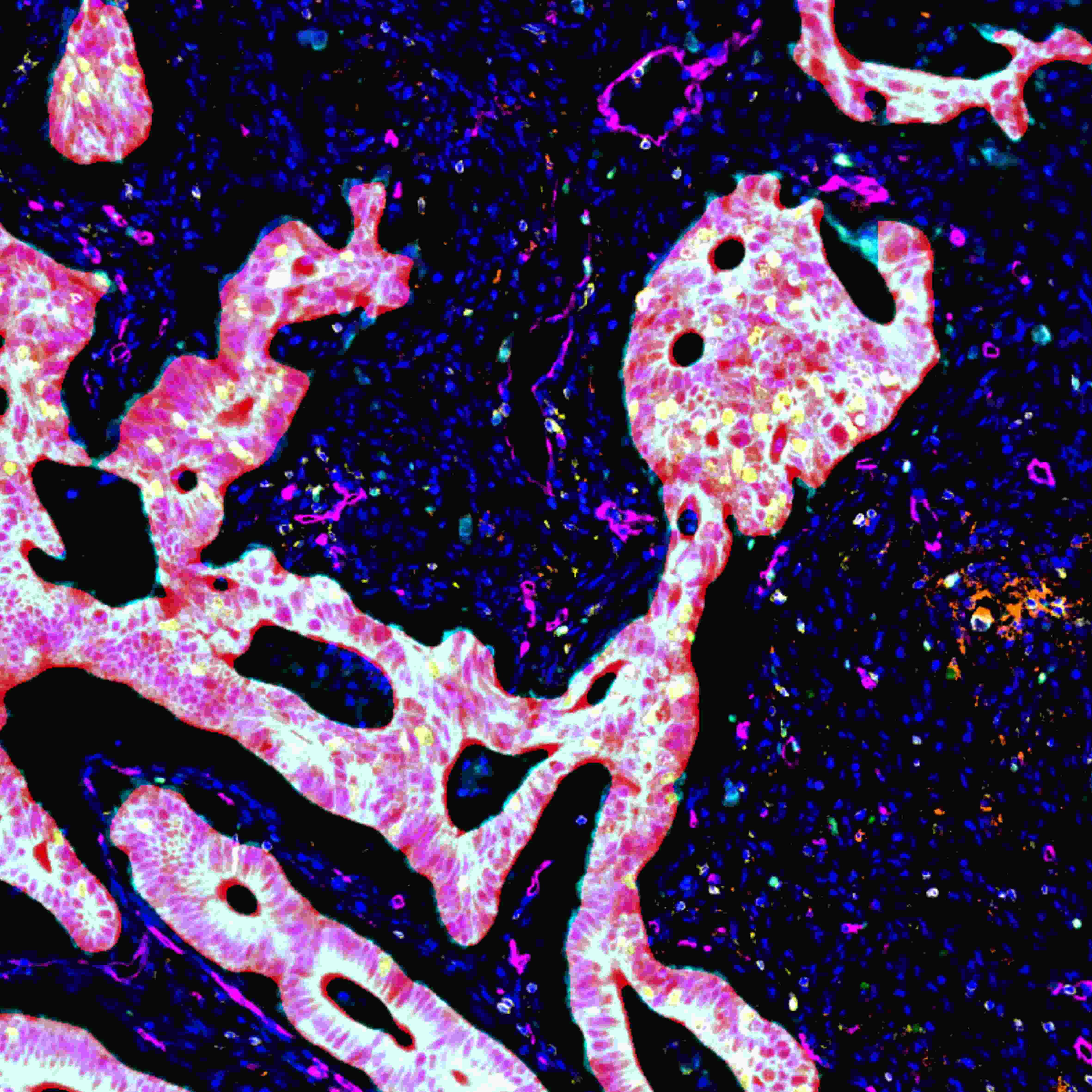
扫描是获取组织图像信息的核心环节。TissueFAXS 系列组织原位单细胞空间表型验证定量系统在此环节展现出强大性能:既能精准覆盖不同维度样本的扫描需求 —— 对经免疫组化或免疫荧光染色、尺寸 25mm×75mm 至 200mm×75mm 的玻片样本进行全景扫描,也能针对厚度 2 微米至 40 微米的样本实现精细成像,全面捕捉组织图像信息;同时,针对采用全新一代 TSA 染色技术标记 4-10 种生物标志物的样本,系统可通过全景扫描获取 4-10 色独立的真实染色数据,并能有效去除背景及血细胞、胶原等自发荧光干扰,实现单次至多 10+1 色的独立通道采集。

分析环节是对扫描获取的海量图像数据进行深度挖掘和解读的过程,TissueCytometry技术通过专利的单细胞识别算法以及 AI 人工智能组织特质化数据挖掘功能,实现:组织原位全景尺度下细胞和组织的强度、形态数据可视化,多标记共表达定位、定量、定性;细胞—细胞、细胞—组织、组织—组织的免疫微环境分布表达分析。这种一体化解决方案的优势在于,简化了图像到数据的操作环节,实现了不同研究方向应用的定制化,提高了组织原位数据分析操作的通量和精准程度,推动了科研水平的大步迈进。
采用TG细胞核识别算法,对组织切片中单细胞进行统计分析,进一步通过细胞质算法获得panel种每个指标阳性阈值,以分析不同指标之间的共表达情况,鉴定不同细胞亚群。
分析内容:总细胞计数、阳性细胞计数、阳性细胞平均强度、阳性细胞百分比等数据


StrataQuest整合了不同算法模块,通过标记-训练-修正的人机交互模式,能够精确获得符合不同实验需求的组织结构轮廓及其定量数据。
分析内容:组织计数、组织平均面积、组织的平均染色强度、百分比


在单细胞表型分析与组织识别分析的基础上,利用StrataQuest可进一步分析不同细胞与不同组织类型间的空间分析关系。
分析内容:细胞或组织中识别到的阳性细胞计数及阳性率


通过高分辨率的显微镜技术,研究人员可以在细胞核分子水平上观察神经细胞的结构变化、蛋白质表达和信号传递过程。
分析内容:胞体个数、胞体平均面积、胞体染色强度、和胞体连接的神经纤维个数及长度


RNA原位杂交可提供RNA在组织细胞的空间表达信息。Dot点状marker分析功能可自动计算细胞核/细胞质内RNA Scope数目。除此之外,该功能也适用于FISH等点状marker分析。
分析内容:总FISH点计数、单个细胞中FISH点的平均个数、FISH点荧光强度、单个细胞面积


除上述一站式完整解决方案外,TissueGnostics 还能助力研究人员开展更深入的实验方法研究,通过定制化染色扫描分析服务获取更丰富的分析数据。例如,在组织切片染色扫描环节,可依据实验方案实现 50 种以上荧光标记的多轮循环染色扫描;后续分析中,还能生成空间水平的细胞间连线图、组织周围特定距离细胞分布图等多元化结果。
如有其他分析需求,也可与技术人员具体沟通。

