搜索到 102 条记录
- 当前分类
- 子分类
- 品牌
其它
bioss
biolegend
abbiotec
ebioscience
华拓生物
信帆生物
bioswamp
abcam
bethyl
fitzgerald
rockland
bio-rad
mabtech
thermo fisher
proteintech
neuromics
peprotech
agrisera
elabscience
medchemexpress(mce)
meridian
active motif
antigenix
signalway antibody
affinity biosciences
cusabio
fujifilm
abclonal
fujifilm wako
kamiya
miltenyi biotec
pllabs
roche
seebio
southernbiotech
stressmarq
达优

APC/Cyanine7 anti-human HLA-DR Antibody
化效率、监测细胞治疗毒性还是探索神经免疫机制,307618都将为您的研究提供精准可靠的检测支持。 上海艾科斯生物科技有限公司提供Biolegend抗体APC/Cyanine7 anti-human HLA-DR Antibody(货号:307618)现货,欢迎咨询!
文献支持品牌:Biolegend应用范围:Flow Cytometry宿主:Mouse适应物种:Human货号:307618

HA标签抗体-HA Tag小鼠单克隆抗体 多种验证应用 特异性强 价格低-辉骏生物
货号 规格 浓度 价格 FI01106S 100 μL 1mg/mL 点击询价 FI01106M 500 μL(5*100μl) 1mg/mL HA Tag小鼠单克隆抗体产品描述—辉骏生物 DNA重组技术使目标蛋白带上特定标签,表达的融合蛋白再采用标签抗体来检测,为科学研究带来了
品牌:辉骏生物应用范围:免疫印迹(Western blot)、免疫沉淀(IP ) 、酶联免疫吸附测定(ELISA)、免疫荧光(IF)、免疫组化(IHC)适应物种:鼠货号:FI01106S、FI01106M保存条件:-20℃分装冻存,避免反复冻融

IL17A Receptor白介素17受体抗体
IL17A Receptor白介素17受体抗体 英文名称 IL17A Receptor 中文名称 白介素17受体抗体 别 名 IL-17RA; IL17A Receptor; Interleukin-17 receptor A; IL17RA; CDw217; hIL-17R;
品牌:LMAI Bio应用范围:ELISA=1:500-1000 IHC-P=1:400-800 IHC-F=1:400-800 IF=1:100-500 (石蜡切片需做抗原修复) 宿主:Rabbit适应物种:Human, Mouse, Rat, 货号:LM-2606R

ERK1 antibody
ERK1 antibody 中文名称 丝裂原活化蛋白激酶1抗体 别 名 ERK; ERK-1; ERT 2; ERT2; Extracellular Signal Regulated Kinase 1; Extracellular signal related kinase 1;
品牌:康朗生物应用范围:ELISA=1:500-1000 IHC-P=1:400-800 IHC-F=1:400-800 Flow-Cyt=1μg/Test IF=1:100-500 宿主:Rabbit适应物种:Human, Mouse, Rat, 货号:kl-1020R

TPH2 5色氨酸羟化酶2抗体
冻干粉状的抗体IgG产品,以便产品的使用及长期保存。欢迎来电咨询,网址:www.shjgogo.com 抗体制备 抗体产量 1、20ml兔多克隆抗体血清原液(小鼠为5ml腹水) 2、经亲和层析纯化抗体IgG 10mg 3、多肽抗原3mg(用于客户自行检测抗体使用) 提供1ml经亲和
品牌:Santa/Abnova/Abcam应用范围:科研使用宿主:来电咨询适应物种:人,大鼠,小鼠,兔货号:xy-8729R
¥1-6200

流式抗体
旷博流式抗体包括针对各种人细胞标记物、自主研发并生产的抗体,流式诊断系列产品目前已获得15个医疗器械注册证,产品广泛应用于多种传染病防控,肿瘤早期诊断,临床免疫功能评价和白血病免疫分型等。客户遍及全国各地临床医院、疾病预防控制中心、第三方检验机构、体检中心等。 针对人类细胞表面标记
品牌:旷博应用范围:流式适应物种:人货号:A系列-B系列保存条件:4℃
¥100-1000

Anti-KU80/XRCC5 Antibody
商品属性: 产品名称 Anti-KU80/XRCC5 Antibody 规格 50μl/ 100μl/ 150μl 产品类型 Polyclonal 检验物种 human 应用范围 WB, IHC, IF, ICC/IF, FCM 基因名称 XRCC5 抗体来源 Rabbit 抗体
品牌:帛科应用范围:WB, IHC, IF, ICC/IF, FCM货号:BK-KT15452浓度:500 ug/ml形态:Liquid
¥1280-3680

鼠抗沙门氏菌配对单克隆抗体
鼠抗沙门氏菌配对单克隆抗体 Product Name:Mouse anti-Salmonella paired monoclonal antibodies Catalogue:LD113 沙门氏菌病的病原体。属肠杆菌科,革兰氏阴性肠道杆菌。已发现的近一千种(或菌株)。按其抗原成分
品牌:LANDU货号:LD113

细胞骨架相关蛋白2抗体
正在寻找物美价廉细胞骨架相关蛋白2抗体的朋友大多通过网络选购,方便快捷,还能送货上门,所谓货比三家,我们不光要选出价格合理的产品,还要选出可以保证质量、有销售服务的产品,一起加入我们吧! 细胞骨架相关蛋白2抗体纯化: 多克隆抗血清或单克隆腹水/组织培养上清通常通过下述三种方法中的
品牌:晶抗生物应用范围:ELISA法适应物种:人,大鼠,小鼠,动物....货号:bs-2977R 保存条件:低温保存

AAV9中和抗体
有关,包括AAV血清型,地理区域和受试者的年龄等,针对部分血清型的抗体阳性率高达50% ~90%。因此,针对AAV载体的预存免疫是给药前的关注重点。 对大量临床前和临床试验数据的分析表明,在AAV载体基因治疗领域最大的影响来自于中和抗体(neutralizing antibody,
文献支持品牌:fubio应用范围:AAV9 capsids适应物种:人货号:FAB2401保存条件:-20°冻存

臂板蛋白3A抗体
臂板蛋白3A抗体丨抗体我公司配备我专业的技术人员和科研人员,致力于为生命科学研究领域提供优质产品,并为广大科研工作者提供周到的服务。 中文名称:臂板蛋白3A抗体 英文名称:Anti-Sema3A (semaphorin 3A) 臂板蛋白3A抗体抗体的主要功能: ①中和毒素和阻止病
品牌:上海烜雅应用范围:WB=1:500-2000 ELISA=1:500-1000 IHC-P=1:400-800 IHC-F=1:400-800宿主:Rabbit适应物种:Human, Mouse, Rat货号:XY-KT-1884

H.Pylori单克隆包被抗体
这一类产品可广泛应用于酶联免疫、胶体金、免疫荧光、化学发光等检测平台。需要了解该产品的详细信息可以咨询我司销售人员。 产品特异性好、灵敏度高,质量稳定,配合仪器,可对反应结果进行定量和定性分析。 有需要的老师可以随时咨询! 抗体是一类能与抗原特异性结合的免疫球蛋白。 早在一个世纪
品牌:信帆生物货号:XZ358

山羊抗人载脂蛋白A-I多克隆抗体
产品类型: Polyclonal Antibody 产品名称: 山羊抗人载脂蛋白A-I多克隆抗体 英文名称: Goat anti-human Apolipoprotein A-I polyclonal Antibody 免疫原: human Apolipoprotein A-I
品牌: abcam货号: HZ-PA08531A0G
¥1-3000

C1q肿瘤坏死因子相关蛋白1(C1QTNF1)多克隆抗体
C1q肿瘤坏死因子相关蛋白1(C1QTNF1)多克隆抗体 Polyclonal Antibody to C1q And Tumor Necrosis Factor Related Protein 1 (C1QTNF1) GIP; CTRP1; ZSIG37; G Protein
品牌:泽叶生物应用范围:WB; IHC; ICC; IP. 如果抗体需用于流式细胞术,请参见流式抗体宿主:兔适应物种:Mus musculus (Mouse,小鼠), Sus scrofa; Porcine (Pig,猪)货号:ZY-3909Ab
¥630-21000

啶虫脒抗体 啶虫脒单抗 啶虫脒单克隆抗体 AAP抗体 Acetamiprid antibody
产品名称: 啶虫脒单克隆抗体、抗原 产品详情: 啶虫脒单克隆抗体、抗原,特异性好、效价高,灵敏度好,适用范围:适合WB,ELISA ,胶体金,荧光,化学发光,电化学等免疫相关的诊断产品研发生产以及科研实验。 ELISA IC50 0.3ppb 胶体金灵敏度 2.5ppb 抗体蛋白
品牌:自主研发应用范围:适合WB,ELISA ,胶体金,荧光,化学发光,电化学等免疫相关的诊断产品研发生产以及科研实验宿主:鼠适应物种:鼠货号:AT01AAPAb

LIM1抗体
产品属性: 产品名称 英文名称 型号 LIM1抗体 LIM1 GOY-01K5589 产品名称:LIM1抗体 产品分类 抗体 / 一抗 英文名称 LIM1 中文名称 LIM同源框蛋白1抗体 英文别名 hLim-1; Homeo box protein Lim 1; Homeo b
品牌:上海谷研应用范围:仅供科研实验宿主:说明书适应物种:说明书货号:GOY-01K5589

β2-微球蛋白抗体
中文名称:β2-微球蛋白抗体 英文名称:beta 2 Microglobulin 别 名:B2M; Beta 2 microglobulin precursor; Beta-2 Microglobulin; Beta chain of mhc class 1 proteins;
品牌:YLKBIO应用范围:ELISA=1:5000-10000 IHC-P=1:100-500 IHC-F=1:100-500 IF=1:100-500宿主:兔适应物种:Human, Mouse, (predicted: Rat, )货号:YLK-KT0139

INSR Polyclonal Antibody
INSR Polyclonal Antibody Bioswamp PAB30100 320 1980 10 μl-100μl Human 3643 Rabbit Common polyclonal antibody WB,IHC Mouse,Rat WB 1:500 - 1:2
品牌:Bioswamp宿主:兔货号:PAB30100产地:国产克隆性:false

HLA-DRA 重组兔单克隆抗体
一、产品基本信息 产品英文名称:HLA-DRA Recombinant Rabbit Monoclonal Antibody 产品中文名称:HLA-DRA 重组兔单克隆抗体 产品别名:MHC class II antigen DR;HLA-DRA1;HLA DRA1;HLA-DR
文献支持品牌:艾碧维宿主:兔适应物种:人、大鼠货号:AWA12675保存条件:-20度

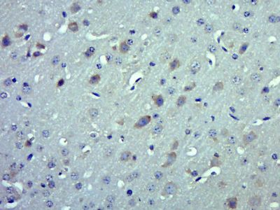
Alpha Synuclein 抗体 (特异识别聚集体)
产品名称 Alpha Synuclein 抗体 (特异识别聚集体) 产品描述 小鼠 抗-小鼠 Alpha Synuclein 聚集体抗体 单克隆 IgG1 适用物种 人, 小鼠 应用范围 WB, DB, IP, IHC, ICC-IF, ImmunoGold labelling
品牌:StressMarq应用范围:WB | DB | IP | IHC | ICC-IF | ImmunoGold labelling宿主:小鼠适应物种:人、小鼠货号:SMC-617










