相关产品推荐更多 >
万千商家帮你免费找货
0 人在求购买到急需产品
- 详细信息
- 文献和实验
- 技术资料
- 规格:
10000U
TEV Protease(GST/His-tag)是一种在大抽杆菌中重组表达的同时带有GST标签和His标签(6X His tag)的烟草蚀纹病毒(Tobacco Etch Virus, TEV)的半胱氨酸蛋白酶,能特异性地识别七肽序列Glu-Asn-Leu-Tyr-Phe-Gln-Gly/Ser,并在Gln和Gly/Ser氨基酸残基之间进行酶切,常用于去除融合蛋白的Glutathione S-transferase (GST)、His或者其它标签的蛋白酶。
建议把GST或His等标签设计在融合蛋白的N端,并在GST或His等标签与目的蛋白之间设计加入TEV Protease专一性识别与酶切的上述七肽序列。这样在GST或His标签被酶切后,在目的蛋白的N端仅有一个额外的Gly/Ser氨基酸残基,从而最大限度地减少了对目的蛋白结构和功能的影响。构建含有TEV Protease专一性识别位点的目的蛋白表达质粒,可以考虑选购碧云天的质粒pET-N-His-TEV (D2905)。
TEV Protease的最佳酶切温度是30℃,在29-34℃范围内均具有较高的酶活性,但当温度达到或高于高37℃时,其酶活性会急剧下降。在实际操作过程中,为尽量保留目的蛋白的结构和生物活性,建议在4℃用TEV Protease酶切过夜。TEV Protease在pH6.0-9.0范围内具有活性,而当pH小于或等于5时,会失去酶活性。
TEV Protease还有一个突出的优点是在400mM咪唑中仍有较高活力,因此对于很多用镍柱纯化的His标签目的蛋白,可直接将TEV Protease加入含高浓度咪唑的刚刚纯化的目的蛋白溶液中,在4℃边透析去除咪唑边进行酶切。当然也可以在透析后再用TEV Protease进行酶切以去除His标签。经过酶切的目的蛋白,溶液中带有His标签的本TEV Protease以及切除下来的His标签,都可以通过与镍柱结合而去除。His标签蛋白的纯化可以考虑选购碧云天的BeyoGold™ His-tag Purification Resin(耐还原螯合型) (P2210/P2218/P2220)或His标签蛋白纯化试剂盒(耐还原螯合型)(P2226)以及碧云天的BeyoGold™ His-tag Purification Resin (耐变性剂型) (P2233)或His标签蛋白纯化试剂盒(耐变性剂型) (P2229S)。
TEV Protease的酶活性不会被常见的丝氨酸蛋白酶抑制剂(serine protease inhiibtor)如PMSF、AEBSF、bestatin、pepstatin、E-64、TLCK和EDTA所抑制。但靶向半胱氨酸(Cysteine)残基的蛋白酶抑制剂如NEM或IAA等,可以显著抑制TEV Protease的酶活力,因为天然的TEV Protease含有其维持酶活力所必需的Cys151。
碧云天TEV Protease (GST/His-tag)比较适用于酶切带His标签的蛋白,因为酶切后没有完全酶切的重组蛋白蛋白、切除下来的His 标签以及TEV Protease (GST/His-tag)都可以结合于镍柱上而被除去,穿柱液中则含有所需的靶蛋白;碧云天TEV Protease (GST/His-tag)同样比较适用于酶切带有GST标签的重组蛋白,因为酶切后没有完全酶切的重组蛋白、切除的GST标签以及TEV Protease (GST/His-tag)都可以结合于GST纯化介质上而被除去,穿柱液中则含有所需的靶蛋白。
TEV Protease (GST/His-tag)与P2307 TEV Protease (His-tag)相比,最大的优点是不仅适合用于酶切去除带有TEV酶切位点的His标签,同时适合用于切除带有TEV酶切位点的GST标签。
酶活性单位定义:30℃,pH8.0条件下反应1小时,能够切割3µg对照底物达85%以上所需的酶量为一个活性单位。
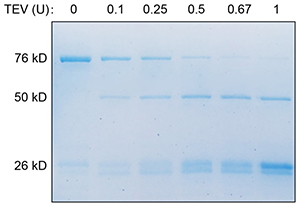
碧云天TEV Protease (GST/His-tag)酶活性鉴定结果可参考图1。

图1.TEV Protease (GST-tag/His-tag)切割GST标签蛋白的效果图。含有TEV Protease识别位点的76kD GST标签蛋白与TEV Protease进行反应,底物的用量为3μg,酶的用量依次为0、0.1、0.25、0.5、0.67、1、2U,30°C在1X TEV Buffer中反应1小时后取样进行SDS-PAGE电泳和考马斯亮蓝染色。酶切产物大小为约50kD的目的蛋白和约26kD的GST标签。
TEV Protease分子量大小约28kDa,纯度:≥95%。
TEV Protease储存液组成为:25mM Tris-HCl, 150mM NaCl, 1mM EDTA, 5mM DTT, 50%(v/v)甘油, pH8.0。
10X TEV Buffer组成为:500mM Tris-HCl, 500mM NaCl, 5mM EDTA, 10mM DTT, pH8.0。
本产品每毫升含有1000单位的酶,可用于约3mg带有TEV Protease识别位点的融合蛋白的切割。
包装清单:
| 产品编号 | 产品名称 | 包装 |
| P2310S-1 | TEV Protease (GST/His-tag) (1U/µl) | 1ml |
| P2310S-2 | 10X TEV Buffer | 2ml |
| — | 说明书 | 1份 |
| 产品编号 | 产品名称 | 包装 |
| P2310M-1 | TEV Protease (GST/His-tag) (1U/µl) | 10ml |
| P2310M-2 | 10X TEV Buffer | 20ml |
| — | 说明书 | 1份 |
保存条件:
-20℃保存。
风险提示:丁香通仅作为第三方平台,为商家信息发布提供平台空间。用户咨询产品时请注意保护个人信息及财产安全,合理判断,谨慎选购商品,商家和用户对交易行为负责。对于医疗器械类产品,请先查证核实企业经营资质和医疗器械产品注册证情况。
文献和实验Application of TEV Protease in Protein Production
method for the removal of affinity tags from recombinant fusions using a highly purified proteinase with an unparalleled degree of specificity. This proteinase, from the genome of tobacco etch virus (TEV), demonstrates specific proteolytic activity
RNA-Protein Crosslink Mapping Using TEV Protease
specific TEV protease from tobacco etch virus. Covalent RNA-protein crosslinks can then be physically mapped by TEV protease digestion, fractionation of the proteolytic digestion products by sodium dodecyl sulfate polyacrylamide gel electrophoresis (SDS
-BiosciencesGSTrap for GST fusion enzymeTAGZyme His-tag removal by Exoproteolytic DigestionQiagenNi-NTA (6His recomb. enzyme)Intein Site dithiothreitol cleavageNew England BiolabsDTT elimination by dialysis HRV 3C Protease Leu-Glu-Val-Leu-Phe-Gln�Gly-ProNovagen
技术资料暂无技术资料 索取技术资料











