相关产品推荐更多 >
万千商家帮你免费找货
0 人在求购买到急需产品
- 详细信息
- 文献和实验
- 技术资料
- 适应物种:
Human,Mouse,Rat,Dog,Pig,Cow,Rabbit,
- 应用范围:
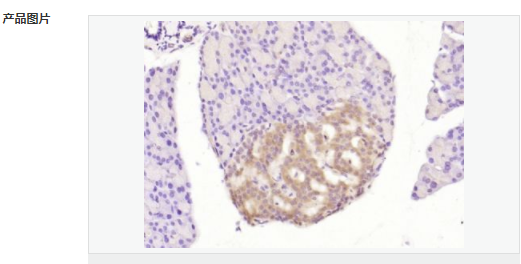
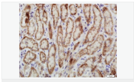
IHC-P,
- 抗体英文名:
Phospho-PERK (Thr980)
- 规格:
100ul
| 英文名称 | Phospho-PERK (Thr980) |
| 中文名称 | 磷酸化蛋白激酶样内质网激酶抗体 |
| 别 名 | p-PERK(Thr980); PERK(Phospho Thr980); PERK(Phospho T980); HRI; HsPEK; Pancreatic eIF2-alpha kinase; PEK; PRKR like endoplasmic reticulum kinase; WRS; DKFZp781H1925; EC 2.7.11.1; EIF2AK3; Eukaryotic translation initiation factor 2 alpha kinase 3; Heme regulated EIF2 alpha kinase. |
| 产品类型 | 磷酸化抗体 |
| 研究领域 | 肿瘤 免疫学 信号转导 细胞凋亡 转录调节因子 激酶和磷酸酶 |
| 抗体来源 | Rabbit |
| 克隆类型 | Polyclonal |
| 交叉反应 | Human, Rat, (predicted: Mouse, Dog, Pig, Cow, Rabbit, ) |
| 产品应用 | WB=1:500-2000 ELISA=1:5000-10000 IHC-P=1:100-500 IHC-F=1:100-500 Flow-Cyt=1ug/Test IF=1:100-500 (石蜡切片需做抗原修复) not yet tested in other applications. optimal dilutions/concentrations should be determined by the end user. |
| 分 子 量 | 119kDa |
| 细胞定位 | 细胞浆 细胞膜 |
| 性 状 | Liquid |
| 浓 度 | 1mg/ml |
| 免 疫 原 | KLH conjugated synthesised phosphopeptide derived from mouse PERK around the phosphorylation site of Thr980:H(p-T)GQ |
| 亚 型 | IgG |
| 纯化方法 | affinity purified by Protein A |
| 储 存 液 | 0.01M TBS(pH7.4) with 1% BSA, 0.03% Proclin300 and 50% Glycerol. |
| 保存条件 | Shipped at 4℃. Store at -20 °C for one year. Avoid repeated freeze/thaw cycles. |
| PubMed | PubMed |
| 产品介绍 | The protein encoded by this gene phosphorylates the alpha subunit of eukaryotic translation-initiation factor 2 (EIF2), leading to its inactivation, and thus to a rapid reduction of translational initiation and repression of global protein synthesis. It is a type I membrane protein located in the endoplasmic reticulum (ER), where it is induced by ER stress caused by malfolded proteins. Mutations in this gene are associated with Wolcott-Rallison syndrome. [provided by RefSeq, Jan 2010]. Function: Phosphorylates the alpha subunit of eukaryotic translation-initiation factor 2 (EIF2), leading to its inactivation and thus to a rapid reduction of translational initiation and repression of global protein synthesis. Serves as a critical effector of unfolded protein response (UPR)-induced G1 growth arrest due to the loss of cyclin D1. Subunit: Forms dimers with HSPA5/BIP in resting cells. Oligomerizes in ER-stressed cells. Interacts with DNAJC3. Subcellular Location: Endoplasmic reticulum membrane; Single-pass type I membrane protein. Tissue Specificity: Ubiquitous. Post-translational modifications: Autophosphorylated. N-glycosylated. Similarity: Belongs to the protein kinase superfamily. Ser/Thr protein kinase family. GCN2 subfamily. Contains 1 protein kinase domain. SWISS: Q9Z2B5 Gene ID: 13666 Database links:
Entrez Gene: 9451 Human Entrez Gene: 13666 Mouse Omim: 604032 Human SwissProt: Q9NZJ5 Human SwissProt: Q9Z2B5 Mouse Unigene: 591589 Human Unigene: 247167 Mouse Unigene: 24897 Rat
Important Note: This product as supplied is intended for research use only, not for use in human, therapeutic or diagnostic applications. |




风险提示:丁香通仅作为第三方平台,为商家信息发布提供平台空间。用户咨询产品时请注意保护个人信息及财产安全,合理判断,谨慎选购商品,商家和用户对交易行为负责。对于医疗器械类产品,请先查证核实企业经营资质和医疗器械产品注册证情况。
文献和实验大鼠磷酸化蛋白激酶C (P-PKC )酶联免疫分析 试剂盒使用说明书 本试剂仅供研究使用 目的:本试剂盒用于测定大鼠血清,血浆,细胞上清及相关液体样本中磷酸化蛋白激酶C (P-PKC )的含量。 实验原理: 本试剂盒应用双抗体夹心法测定标本中大鼠磷酸化蛋白激酶 C ( P-PKC )水平。用纯化的大鼠磷酸化蛋白激酶 C ( P-PKC )抗体包被微孔板,制成固相抗体,往包被单抗的微孔中依次加入磷酸化蛋白激酶
人磷酸化蛋白激酶C(phos-PKC)ELISA试剂盒 说明书
上海西唐生物科技有限公司 021-55229872, 65333639 www.westang.com 人磷酸化蛋白激酶C (phos-PKC)ELISA 试剂盒 ( 用于血清、血浆、细胞培养上清液和其它生物体液内 ) 原理 本实验采用双抗体夹心 ABC-ELISA 法。用抗人 phos-PKC 单抗包被于酶标板上,标准品和样品中的 phos-PKC与单抗结合,加入生物
Cell Metab:浙大吕志民团队揭示肿瘤细胞 Warburg 效应促进肿瘤免疫逃逸
2 从线粒体外膜脱落,进入细胞浆中。在细胞浆中,HK2 结合 NF-κB 的抑制因子 IκBα。 重要的是,HK2 发挥了不依赖于其经典代谢功能的新功能,即作为一个蛋白激酶磷酸化 IκBα 的 Thr 291 位点。该磷酸化促进了蛋白酶 μ-calpain 与 IκBα 的结合并进一步降解 IκBα,进而使转录因子 NF-κB 入核,最终促进了 PD-L1 的表达并导致了肿瘤的免疫逃逸。作者还发现,使用己糖激酶的抑制剂与 PD-1 抗体联用治疗小鼠胶质瘤,可以显著提升 PD-1 抗体的治疗
技术资料暂无技术资料 索取技术资料





