相关产品推荐更多 >
万千商家帮你免费找货
0 人在求购买到急需产品
- 详细信息
- 文献和实验
- 技术资料
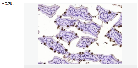
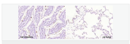
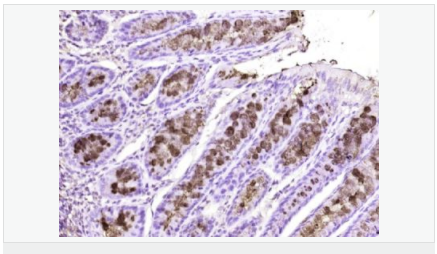
- 适应物种:
Human,Mouse,Rat,Dog,Rabbit,
- 应用范围:
IHC-P,
- 抗体英文名:
FCGBP
- 规格:
100ul
| 英文名称 | FCGBP |
| 中文名称 | Fcγ免疫球蛋白IgG结合蛋白抗体 |
| 别 名 | Fc fragment of IgG binding protein; FC(GAMMA)BP; Fcgamma-binding protein antigen; FcgammaBP; FCGBP; FCGBP_HUMAN; Human Fc gamma BP; IgGFc-binding protein. |
| 研究领域 | 细胞生物 免疫学 细胞膜受体 |
| 抗体来源 | Rabbit |
| 克隆类型 | Polyclonal |
| 交叉反应 | Human, Mouse, Rat, (predicted: Dog, Rabbit, ) |
| 产品应用 | ELISA=1:5000-10000 IHC-P=1:100-500 IHC-F=1:100-500 IF=1:100-500 (石蜡切片需做抗原修复) not yet tested in other applications. optimal dilutions/concentrations should be determined by the end user. |
| 分 子 量 | 569kDa |
| 细胞定位 | 分泌型蛋白 |
| 性 状 | Liquid |
| 浓 度 | 1mg/ml |
| 免 疫 原 | KLH conjugated synthetic peptide derived from human FCGBP:431-530/5405 |
| 亚 型 | IgG |
| 纯化方法 | affinity purified by Protein A |
| 储 存 液 | 0.01M TBS(pH7.4) with 1% BSA, 0.03% Proclin300 and 50% Glycerol. |
| 保存条件 | Shipped at 4℃. Store at -20 °C for one year. Avoid repeated freeze/thaw cycles. |
| PubMed | PubMed |
| 产品介绍 | Fc (Ig constant fragment) receptors ensure protection of the host against foreign antigens, such as microorganisms and pathogens, by removing Ig-coated antigen complexes from circulation. Fc receptors are present on lymphoid and myeloid derivatives, where they mediate endocytosis of Ig-antigen complexes, antibody production in B cells through T cell antigen presentation, cytotoxicity and the release of cytokines and reactive oxygen species. The Fc γ-binding protein (FCGBP) interacts with the Fc portion of IgG and MUC2 to mediate the maintenance of the mucosal structure. FCGBP is a 5,405 amino acid protein that contains twelve TIL (trypsin inhibitory-like) domains and thirteen VWFD domains. It is predominantly expressed in placenta and colon epithelium as well as in thyroid and serum. Patients with various autoimmune diseases seemingly have higher levels of FCGBP protein present in their serum. Function: May be involved in the maintenance of the mucosal structure as a gel-like component of the mucosa. Subunit: Interacts with the Fc portion of IgG and with MUC2. Subcellular Location: Secreted. Tissue Specificity: Mainly expressed in placenta and colon epithelium. Expressed in thyroid, and down-regulated in thyroid carcinomas. Present in serum, with higher levels in patients with various autoimmune diseases (at protein level). Similarity: Contains 12 TIL (trypsin inhibitory-like) domains. Contains 13 VWFD domains. SWISS: Q9Y6R7 Gene ID: 8857 Database links: Entrez Gene: 8857 Human SwissProt: Q9Y6R7 Human Unigene: 111732 Human Important Note: This product as supplied is intended for research use only, not for use in human, therapeutic or diagnostic applications. |





风险提示:丁香通仅作为第三方平台,为商家信息发布提供平台空间。用户咨询产品时请注意保护个人信息及财产安全,合理判断,谨慎选购商品,商家和用户对交易行为负责。对于医疗器械类产品,请先查证核实企业经营资质和医疗器械产品注册证情况。
文献和实验人免疫球蛋白G Fc 片段(Fcγ)酶联免疫分析(ELISA)
被单抗的微孔中依次加入 免疫球蛋白 G Fc 片段 (Fc γ ) ,再与 HRP 标记的免疫球蛋白 G Fc 片段 (Fc γ ) 抗体结合,形成抗体 - 抗原 - 酶标抗体复合物,经过彻底洗涤后加底物 TMB 显色。 TMB 在 HRP 酶的催化下转化成蓝色,并在酸的作用下转化成最终的黄色。颜色的深浅和样品中的 免疫球蛋白 G Fc 片段 (Fc γ ) 呈正相关。用酶标仪在 450nm 波长下测定吸光度( OD 值),通过标准曲线计算样品中 人免疫球蛋白 G Fc 片段 (Fc γ ) 含量
到的细胞类型表达FcR,同时反应抗体含有Fc段,都应该考虑进行Fc 阻断,来确保实验的特异性,减少非特异的产生。 那么,具体哪些细胞类型需要做Fc阻断? 首先,按FcR所结合的Ig种类不同可将其分为五类,即IgG(FcγR)、IgE(FcεR)、IgA(FcαR)、IgM(FcμR)和IgD(FcδR)。 IgG类型抗体的Fc受体是FcγR,依据和Fc片段亲和力的强弱,FcγR又可以被分为三个亚家族:FcγRI(CD64)、FcγRII(CD32)和FcγRIII(CD16)以及进一步还可以分为不同
对照 所有的REAfinity抗体都是人IgG1亚型;因此,对于超过1万种REA克隆号的所有抗体来说,只需选用一种类型的同型对照抗体即可。根据抗原表达位置不同,该通用型同型对照抗体分为膜表面型和胞内型两类,无需花费时间寻找合适的同型对照抗体。 图2:使用REAfinity抗体时,只需一种通用型同型对照,降低了实验设计的复杂程度 无需Fc受体阻断 REAfinity抗体Fc段经基因突变改造,从而消除了抗体与Fcγ受体的非特异性结合。因此,在流式分析中,无需额外增加阻断步骤。 优选序列,染色指数高 挑选最佳克隆号的抗体
技术资料暂无技术资料 索取技术资料




