万千商家帮你免费找货
0 人在求购买到急需产品
- 详细信息
- 技术资料
- 适应物种:
Human,Mouse,Rat,Pig,Cow,
- 应用范围:
WB,IHC-P,FCM,
- 抗体英文名:
beta Tubulin
- 规格:
50ul
| 英文名称 | beta Tubulin (Loading Control) |
| 中文名称 | 微管蛋白抗体 |
| 别 名 | Beta 4 tubulin; Tubulin-beta; Tubulin beta; Beta 5 tubulin; BetaTubulin; Beta-Tubulin; dJ40E16.7; TUBB; TUBB2; TUBB2A; TUBB5; tubulin beta 2A; Tubulin beta chain; Tubulin beta-5 chain; TUBB4A; TUBB4; Tubulin 5 beta; Tubulin beta-4 chain; TBB4A_HUMAN; Tubulin beta-4A chain. |
| 研究领域 | 细胞生物 免疫学 信号转导 细胞骨架 |
| 抗体来源 | Rabbit |
| 克隆类型 | Polyclonal |
| 交叉反应 | Human, Mouse, Rat, Pig, (predicted: Cow, ) |
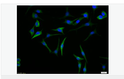
| 产品应用 | WB=1:500-2000 ELISA=1:5000-10000 IHC-P=1:100-500 IHC-F=1:100-500 Flow-Cyt=1μg/Test ICC=1:100 IF=1:100-500 (石蜡切片需做抗原修复) not yet tested in other applications. optimal dilutions/concentrations should be determined by the end user. |
| 分 子 量 | 50kDa |
| 细胞定位 | 细胞浆 |
| 性 状 | Liquid |
| 浓 度 | 1mg/ml |
| 免 疫 原 | KLH conjugated synthetic peptide derived from human Tubulin-beta:1-50/444 |
| 亚 型 | IgG |
| 纯化方法 | affinity purified by Protein A |
| 储 存 液 | 0.01M TBS(pH7.4) with 1% BSA, 0.03% Proclin300 and 50% Glycerol. |
| 保存条件 | Shipped at 4℃. Store at -20 °C for one year. Avoid repeated freeze/thaw cycles. |
| PubMed | PubMed |
| 产品介绍 | Microtubules are constituent parts of the mitotic apparatus, cilia, flagella, and elements of the cytoskeleton. They consist principally of 2 soluble proteins, alpha- and beta-tubulin, each of about 55,000 kDa. Antibodies against beta Tubulin are useful as loading controls for Western Blotting. However it should be noted that levels of beta Tubulin may not be stable in certain cells. For example, expression of tubulin in adipose tissue is very low (Spiegelman and Farmer, Cell, 1982, 29(1):53-60) and therefore beta Tubulin should not be used as loading control for these tissues. Function: Tubulin is the major constituent of microtubules. It binds two moles of GTP, one at an exchangeable site on the beta chain and one at a non-exchangeable site on the alpha-chain. Subunit: Dimer of alpha and beta chains. May interact with RNABP10. Interacts with PIFO. Interacts with MX1. Subcellular Location: Cytoplasm, cytoskeleton. Tissue Specificity: Ubiquitously expressed with highest levels in spleen, thymus and immature brain. Post-translational modifications: Some glutamate residues at the C-terminus are polyglutamylated. This modification occurs exclusively on glutamate residues and results in polyglutamate chains on the gamma-carboxyl group. Also monoglycylated but not polyglycylated due to the absence of functional TTLL10 in human. Monoglycylation is mainly limited to tubulin incorporated into axonemes (cilia and flagella) whereas glutamylation is prevalent in neuronal cells, centrioles, axonemes, and the mitotic spindle. Both modifications can coexist on the same protein on adjacent residues, and lowering glycylation levels increases polyglutamylation, and reciprocally. The precise function of such modifications is still unclear but they regulate the assembly and dynamics of axonemal microtubules. Similarity: Belongs to the tubulin family. SWISS: P07437 Gene ID: 203068 Database links: Entrez Gene: 396254 Chicken Entrez Gene: 203068 Human Omim: 191130 Human SwissProt: P07437 Human SwissProt: P99024 Mouse Unigene: 636480 Human Unigene: 706187 Human Unigene: 714425 Human Important Note: This product as supplied is intended for research use only, not for use in human, therapeutic or diagnostic applications. 结构蛋白(Structural Proteins) tubulin是一种大量存在于哺乳动物脑组织中的微管亚基蛋白,在结构上是由两个极为相近的α和β亚基组成的二聚体、多聚体形成微管细丝,是微管的主要成分。 微管蛋白是球形分子, 有两种类型:α微管蛋白(α-tubulin)货号:bs-0195R和β微管蛋白(β-tubulin), 这两种微管蛋白具有相似的三维结构, 能够紧密地结合成二聚体, 作为微管组装的亚基。 α亚基由450个氨基酸组成, β亚基是由455个氨基酸组成, 这两种亚基有35~40%的氨基酸序列同源, 表明编码它们的基因可能是由同一原始祖先演变而来。 |






风险提示:丁香通仅作为第三方平台,为商家信息发布提供平台空间。用户咨询产品时请注意保护个人信息及财产安全,合理判断,谨慎选购商品,商家和用户对交易行为负责。对于医疗器械类产品,请先查证核实企业经营资质和医疗器械产品注册证情况。
技术资料暂无技术资料 索取技术资料
微管蛋白抗体
¥1200





